BLBP Recombinant Antibody [PSH10-68] - Rat IgG1 (Chimeric)
cat.: HA601411
Product Type: Recombinant Chimeric Antibody, primary antibodies
Species reactivity: Mouse, Rat, Cynomolgus monkey, Pig
Applications: IHC-Fr, IHC-P, WB
Clone number: PSH10-68
Form: Liquid
Storage condition: Shipped at 4℃. Store at +4℃ short term (1-2 weeks). It is recommended to aliquot into single-use upon delivery. Store at -20℃ long term.
Storage buffer: PBS (pH7.4), 0.1% BSA, 40% Glycerol. Preservative: 0.05% Sodium Azide.
Concentration: 1ug/ul
Purification: Protein A affinity purified.
Molecular weight: Predicted band size: 15 kDa
Immunogen: Recombinant protein within Mouse BLBP aa 1-132.
Positive control: Mouse cerebellum tissue, mouse P7 brain tissue, Mouse cerebellum (P0) tissue lysate, Mouse cerebellum (P7) tissue lysate, Rat cerebellum tissue lysate.
Subcellular location: Cytoplasm.
Recommended Dilutions:
  IHC-Fr
  IHC-P
  WB

1:500
1:200-1:500
1:5,000
Uniprot #: SwissProt: P51880 Mouse | P55051 Rat
Alternative names: B FABP B-FABP BFABP BLBP Brain lipid binding protein Brain lipid-binding protein Brain-type fatty acid-binding protein DKFZp547J2313 FABP 7 FABP7 FABP7_HUMAN FABPB Fatty Acid Binding Protein 7 Fatty acid binding protein 7 brain Fatty acid binding protein brain Fatty acid-binding protein 7 Fatty acid-binding protein, brain Mammary derived growth inhibitor related Mammary-derived growth inhibitor related MRG OTTHUMP00000017119
Images
HA601411_1.jpg Fig1: Application: IHC-Fr

Species: Mouse

Site: Cerebellum

Sample: Frozen section

Antibody concentration: 1:500

Antigen retrieval: Not required
HA601411_2.jpg Fig2: Application: IHC-Fr

Species: Mouse

Site: Cerebellum

Sample: Frozen section

Antibody concentration: 1:500

Antigen retrieval: 1% SDS buffer (in PBS, pH 7.4) for 5 minutes at room temperature
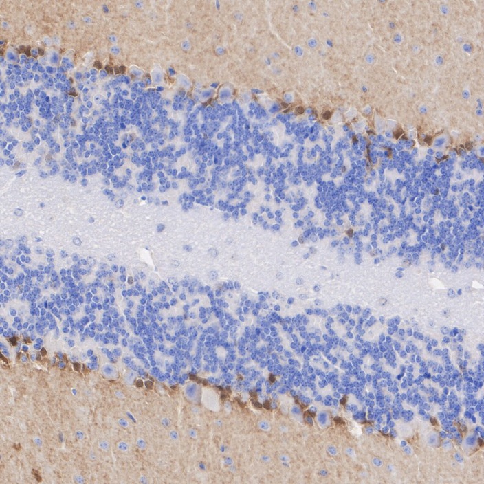
HA601411_3.jpg Fig3: Immunohistochemical analysis of paraffin-embedded mouse cerebellum tissue with Rat anti-BLBP antibody (HA601411) at 1/200 dilution.

The section was pre-treated using heat mediated antigen retrieval with Tris-EDTA buffer (pH 9.0) for 20 minutes. The tissues were blocked in 1% BSA for 20 minutes at room temperature, washed with ddH2O and PBS, and then probed with the primary antibody (HA601411) at 1/200 dilution for 1 hour at room temperature. The detection was performed using an HRP conjugated compact polymer system. DAB was used as the chromogen. Tissues were counterstained with hematoxylin and mounted with DPX.
HA601411_4.jpg Fig4: Immunohistochemical analysis of paraffin-embedded mouse P7 brain tissue with Rat anti-BLBP antibody (HA601411) at 1/500 dilution.

The section was pre-treated using heat mediated antigen retrieval with Tris-EDTA buffer (pH 9.0) for 20 minutes. The tissues were blocked in 1% BSA for 20 minutes at room temperature, washed with ddH2O and PBS, and then probed with the primary antibody (HA601411) at 1/500 dilution for 1 hour at room temperature. The detection was performed using an HRP conjugated compact polymer system. DAB was used as the chromogen. Tissues were counterstained with hematoxylin and mounted with DPX.
HA601411_5.jpg Fig5: Western blot analysis of BLBP on different lysates with Rat anti-BLBP antibody (HA601411) at 1/5,000 dilution.

Lane 1: Mouse cerebellum (P0) tissue lysate
Lane 2: Mouse cerebellum (P7) tissue lysate
Lane 3: Mouse kidney tissue lysate (negative)
Lane 4: Rat cerebellum tissue lysate

Lysates/proteins at 20 µg/Lane.

Predicted band size: 15 kDa
Observed band size: 15 kDa

Exposure time: Lane 1-3: 2 seconds; Lane 4: 59 seconds; ECL: K1801;
4-20% SDS-PAGE gel.

Proteins were transferred to a PVDF membrane and blocked with 5% NFDM/TBST for 1 hour at room temperature. The primary antibody (HA601411) at 1/5,000 dilution was used in primary antibody dilution (K1803) at 4℃ overnight. Goat Anti-Rat IgG H&L - HRP Secondary Antibody (HA1023) at 1/5,000 dilution was used for 1 hour at room temperature.
Note: All products are “FOR RESEARCH USE ONLY AND ARE NOT INTENDED FOR DIAGNOSTIC OR THERAPEUTIC USE”.