Oxytocin-neurophysin 1 / OXT Recombinant Antibody [PSH08-24] - Rat IgG1 (Chimeric)
cat.: HA601426
Product Type: Recombinant Chimeric Antibody, primary antibodies
Species reactivity: Mouse, Rat, Human, Cynomolgus monkey, Pig
Applications: IHC-Fr, IHC-P, IF-Tissue
Clone number: PSH08-24
Form: Liquid
Storage condition: Shipped at 4℃. Store at +4℃ short term (1-2 weeks). It is recommended to aliquot into single-use upon delivery. Store at -20℃ long term.
Storage buffer: PBS (pH7.4), 0.1% BSA, 40% Glycerol. Preservative: 0.05% Sodium Azide.
Concentration: 1ug/ul
Purification: Protein A affinity purified.
Molecular weight: Predicted band size: 13 kDa
Immunogen: Recombinant protein within human OXT aa 1-125.
Positive control: Mouse pituitary tissue, rat pituitary tissue, mouse paraventricular nucleus tissue.
Subcellular location: Secreted.
Recommended Dilutions:
  IHC-Fr
  IHC-P
  IF-Tissue

1:500
1:5,000-1:20,000
1:500-1:2,000
Uniprot #: SwissProt: P35454 Mouse
Entrez Gene: 25504 Rat
Alternative names: MGC126890 MGC126892 Neurophysin 1 Neurophysin I Ocytocin OT OT NPI OXT Oxytocin Oxytocin Neurophysin preproprotein Oxytocin prepro (neurophysin I) Oxytocin prepropeptide Oxytocin-neurophysin 1
Images
HA601426_1.jpg Fig1: Application: IHC-Fr

Species: Mouse

Site: Paraventricular nucleus

Sample: Frozen section

Antibody concentration: 1/500

Antigen retrieval: Not required
HA601426_2.jpg Fig2: Application: IF-tissue

Species: Mouse

Site: Paraventricular nucleus

Sample: Paraffin-embedded section

Antibody concentration: 1/500
HA601426_3.jpg Fig3: Application: IF-tissue

Species: Mouse

Site: Pituitary

Sample: Paraffin-embedded section

Antibody concentration: 1/500
HA601426_4.jpg Fig4: Application: IF-tissue

Species: Rat

Site: Pituitary

Sample: Paraffin-embedded section

Antibody concentration: 1/500
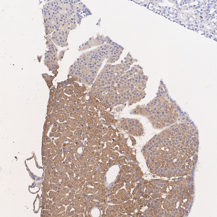
HA601426_5.jpg Fig5: Immunohistochemical analysis of paraffin-embedded mouse pituitary tissue with Rat anti-Oxytocin-neurophysin 1 / OXT antibody (HA601426) at 1/5,000 dilution.

The section was pre-treated using heat mediated antigen retrieval with Tris-EDTA buffer (pH 9.0) for 20 minutes. The tissues were blocked in 1% BSA for 20 minutes at room temperature, washed with ddH2O and PBS, and then probed with the primary antibody (HA601426) at 1/5,000 dilution for 1 hour at room temperature. The detection was performed using an HRP conjugated compact polymer system. DAB was used as the chromogen. Tissues were counterstained with hematoxylin and mounted with DPX.
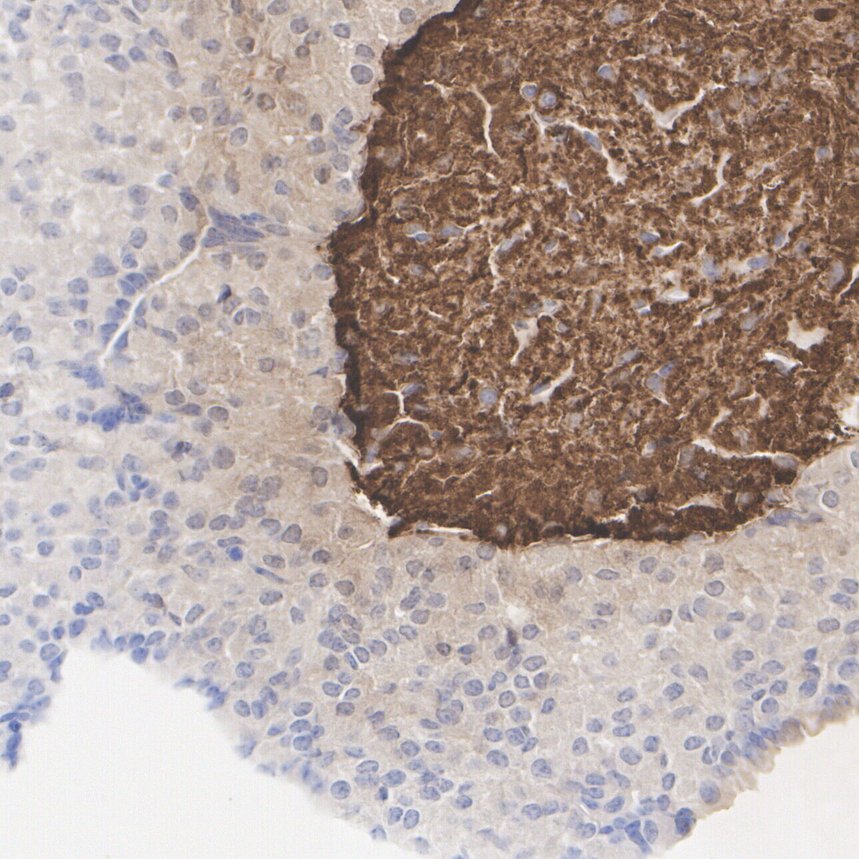
HA601426_6.jpg Fig6: Immunohistochemical analysis of paraffin-embedded rat pituitary tissue with Rat anti-Oxytocin-neurophysin 1 / OXT antibody (HA601426) at 1/5,000 dilution.

The section was pre-treated using heat mediated antigen retrieval with Tris-EDTA buffer (pH 9.0) for 20 minutes. The tissues were blocked in 1% BSA for 20 minutes at room temperature, washed with ddH2O and PBS, and then probed with the primary antibody (HA601426) at 1/5,000 dilution for 1 hour at room temperature. The detection was performed using an HRP conjugated compact polymer system. DAB was used as the chromogen. Tissues were counterstained with hematoxylin and mounted with DPX.
Note: All products are “FOR RESEARCH USE ONLY AND ARE NOT INTENDED FOR DIAGNOSTIC OR THERAPEUTIC USE”.