Claudin 18.2 Recombinant Mouse Monoclonal Antibody [PSH18-20]
cat.: HA601432
Product Type: Recombinant Mouse monoclonal IgG, primary antibodies
Species reactivity: Human
Applications: IHC-P
Clonality: Monoclonal
Clone number: PSH18-20
Form: Liquid
Storage condition: Shipped at 4℃. Store at +4℃ short term (1-2 weeks). It is recommended to aliquot into single-use upon delivery. Store at -20℃ long term.
Storage buffer: 1*PBS (pH7.4), 0.1% BSA, 40% Glycerol, 0.2% Proclean 950.
Concentration: 1ug/ul
Purification: Protein A affinity purified.
Molecular weight: Predicted band size: 28 kDa
Isotype: IgG
Immunogen: Recombinant protein.
Positive control: Human stomach cancer tissue.
Subcellular location: Cell junction, tight junction, Lateral cell membrane.
Recommended Dilutions:
  IHC-P

1:50-1:200
Uniprot #: SwissProt: P56856-2 Human
Alternative names: Claudin 18 Claudin-18 CLD18_HUMAN CLDN18 SFTA5 SFTPJ CLDN18.2
Images
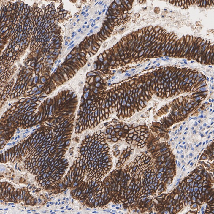
HA601432_1.jpg Fig1: Immunohistochemical analysis of paraffin-embedded human stomach cancer tissue with Mouse anti-Claudin 18.2 antibody (HA601432) at 1/50 dilution.

The section was pre-treated using heat mediated antigen retrieval with Tris-EDTA buffer (pH 9.0) for 20 minutes. The tissues were blocked in 1% BSA for 20 minutes at room temperature, washed with ddH2O and PBS, and then probed with the primary antibody (HA601432) at 1/50 dilution for 1 hour at room temperature. The detection was performed using an HRP conjugated compact polymer system. DAB was used as the chromogen. Tissues were counterstained with hematoxylin and mounted with DPX.
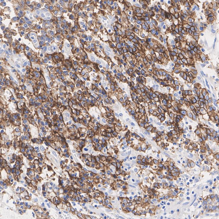
HA601432_2.jpg Fig2: Immunohistochemical analysis of paraffin-embedded human stomach cancer tissue with Mouse anti-Claudin 18.2 antibody (HA601432) at 1/50 dilution.

The section was pre-treated using heat mediated antigen retrieval with Tris-EDTA buffer (pH 9.0) for 20 minutes. The tissues were blocked in 1% BSA for 20 minutes at room temperature, washed with ddH2O and PBS, and then probed with the primary antibody (HA601432) at 1/50 dilution for 1 hour at room temperature. The detection was performed using an HRP conjugated compact polymer system. DAB was used as the chromogen. Tissues were counterstained with hematoxylin and mounted with DPX.
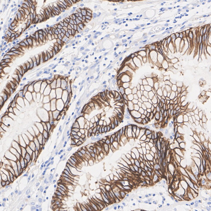
HA601432_3.jpg Fig3: Immunohistochemical analysis of paraffin-embedded human stomach cancer tissue with Mouse anti-Claudin 18.2 antibody (HA601432) at 1/50 dilution.

The section was pre-treated using heat mediated antigen retrieval with Tris-EDTA buffer (pH 9.0) for 20 minutes. The tissues were blocked in 1% BSA for 20 minutes at room temperature, washed with ddH2O and PBS, and then probed with the primary antibody (HA601432) at 1/50 dilution for 1 hour at room temperature. The detection was performed using an HRP conjugated compact polymer system. DAB was used as the chromogen. Tissues were counterstained with hematoxylin and mounted with DPX.
HA601432_4.jpg Fig4: Immunohistochemical analysis of paraffin-embedded human stomach cancer tissue with Mouse anti-Claudin 18.2 antibody (HA601432) at 1/50 dilution.

The section was pre-treated using heat mediated antigen retrieval with Tris-EDTA buffer (pH 9.0) for 20 minutes. The tissues were blocked in 1% BSA for 20 minutes at room temperature, washed with ddH2O and PBS, and then probed with the primary antibody (HA601432) at 1/50 dilution for 1 hour at room temperature. The detection was performed using an HRP conjugated compact polymer system. DAB was used as the chromogen. Tissues were counterstained with hematoxylin and mounted with DPX.
Note: All products are “FOR RESEARCH USE ONLY AND ARE NOT INTENDED FOR DIAGNOSTIC OR THERAPEUTIC USE”.