Kv4.2 / KCND2 Recombinant Mouse Monoclonal Antibody [PSH13-21]
cat.: HA601434
Product Type: Recombinant Mouse monoclonal IgG1, primary antibodies
Species reactivity: Mouse, Rat
Applications: IHC-Fr, IHC-P, WB
Clonality: Monoclonal
Clone number: PSH13-21
Form: Liquid
Storage condition: Shipped at 4℃. Store at +4℃ short term (1-2 weeks). It is recommended to aliquot into single-use upon delivery. Store at -20℃ long term.
Storage buffer: PBS (pH7.4), 0.1% BSA, 40% Glycerol. Preservative: 0.05% Sodium Azide.
Concentration: 1ug/ul
Purification: Protein A affinity purified.
Molecular weight: Predicted band size: 70 kDa
Isotype: IgG1
Immunogen: Synthetic peptide within Rat Kv4.2 / KCND2 aa 207-226.
Positive control: Mouse cerebellum tissue, rat cerebellum tissue, Mouse cerebellum tissue lysate, Mouse hippocampus tissue lysate, Mouse brain tissue lysate, Rat cerebellum tissue lysate.
Subcellular location: Cell membrane, Cell projection, dendrite, Synapse, Perikaryon, Postsynaptic cell membrane, Cell projection, Cell junction.
Recommended Dilutions:
  IHC-Fr
  IHC-P
  WB

1:500
1:1,000
1:5,000
Uniprot #: SwissProt: Q9Z0V2 Mouse | Q63881 Rat
Alternative names: KCD2 KCND 2 KCND2 KCND2_HUMAN KIAA1044 MGC119702 MGC119703 Potassium voltage gated channel Shal related subfamily member 2 Potassium voltage-gated channel subfamily D member 2 RK 5 RK5 Voltage gated potassium channel Kv4.2 Voltage gated potassium channel subunit Kv4.2 Voltage sensitive potassium channel Voltage-gated potassium channel subunit Kv4.2
Images
HA601434_1.jpg Fig1: Application: IHC-Fr

Species: Rat

Site: cerebellum

Sample: Frozen section

Antibody concentration: 1/500

Antigen retrieval: Not required
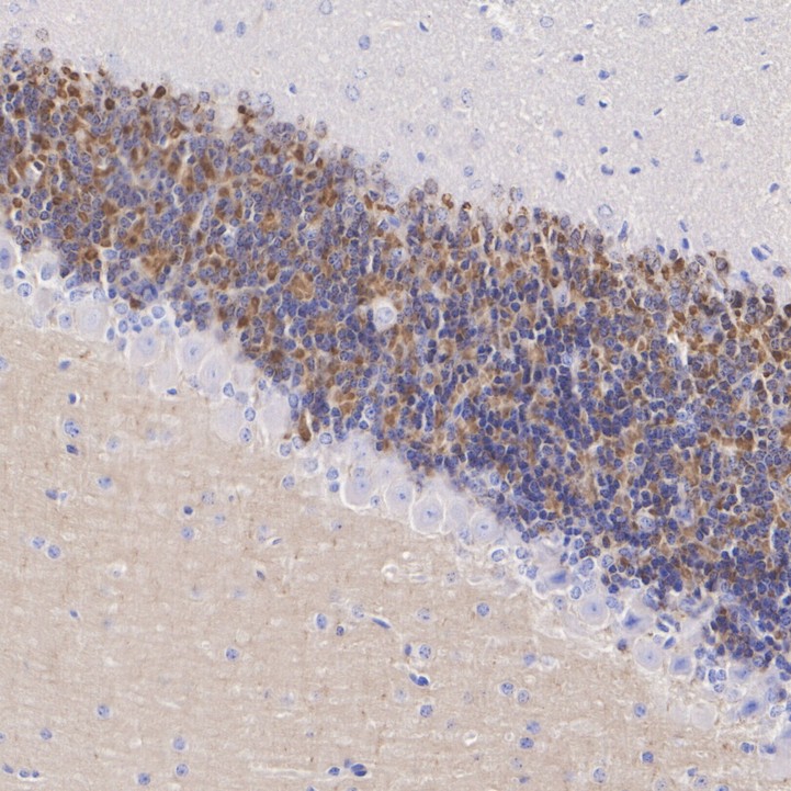
HA601434_2.jpg Fig2: Immunohistochemical analysis of paraffin-embedded mouse cerebellum tissue with Mouse anti-Kv4.2 / KCND2 antibody (HA601434) at 1/1,000 dilution.

The section was pre-treated using heat mediated antigen retrieval with Tris-EDTA buffer (pH 9.0) for 20 minutes. The tissues were blocked in 1% BSA for 20 minutes at room temperature, washed with ddH2O and PBS, and then probed with the primary antibody (HA601434) at 1/1,000 dilution for 1 hour at room temperature. The detection was performed using an HRP conjugated compact polymer system. DAB was used as the chromogen. Tissues were counterstained with hematoxylin and mounted with DPX.
HA601434_3.jpg Fig3: Immunohistochemical analysis of paraffin-embedded rat cerebellum tissue with Mouse anti-Kv4.2 / KCND2 antibody (HA601434) at 1/1,000 dilution.

The section was pre-treated using heat mediated antigen retrieval with Tris-EDTA buffer (pH 9.0) for 20 minutes. The tissues were blocked in 1% BSA for 20 minutes at room temperature, washed with ddH2O and PBS, and then probed with the primary antibody (HA601434) at 1/1,000 dilution for 1 hour at room temperature. The detection was performed using an HRP conjugated compact polymer system. DAB was used as the chromogen. Tissues were counterstained with hematoxylin and mounted with DPX.
HA601434_4.jpg Fig4: Western blot analysis of Kv4.2 / KCND2 on different lysates with Mouse anti-Kv4.2 / KCND2 antibody (HA601434) at 1/5,000 dilution.

Lane 1: Mouse cerebellum tissue lysate (no heat)
Lane 2: Mouse hippocampus tissue lysate (no heat)
Lane 3: Mouse brain tissue lysate (no heat)
Lane 4: Mouse liver tissue lysate (negative)
Lane 5: Rat cerebellum tissue lysate
Lane 6: Rat liver tissue lysate (negative)

Notice: no heat means the lysate is not boiled.

Lysates/proteins at 40 µg/Lane.

Predicted band size: 71 kDa
Observed band size: 71 kDa

Exposure time: 1 minute 2 seconds; ECL: K1801;

4-20% SDS-PAGE gel.

Proteins were transferred to a PVDF membrane and blocked with 5% NFDM/TBST for 1 hour at room temperature. The primary antibody (HA601434) at 1/5,000 dilution was used in primary antibody dilution (K1803) at 4℃ overnight. Goat Anti-Mouse IgG - HRP Secondary Antibody (HA1006) at 1/50,000 dilution was used for 1 hour at room temperature.
Note: All products are “FOR RESEARCH USE ONLY AND ARE NOT INTENDED FOR DIAGNOSTIC OR THERAPEUTIC USE”.