TRPV1 Recombinant Mouse Monoclonal Antibody [PSH13-22]
cat.: HA601435
Product Type: Recombinant Mouse monoclonal IgG1, primary antibodies
Species reactivity: Rat
Applications: IHC-P
Clonality: Monoclonal
Clone number: PSH13-22
Form: Liquid
Storage condition: Shipped at 4℃. Store at +4℃ short term (1-2 weeks). It is recommended to aliquot into single-use upon delivery. Store at -20℃ long term.
Storage buffer: PBS (pH7.4), 0.1% BSA, 40% Glycerol. Preservative: 0.05% Sodium Azide.
Concentration: 1ug/ul
Purification: Protein A affinity purified.
Molecular weight: Predicted band size: 95 kDa
Isotype: IgG1
Immunogen: Recombinant protein within Rat TRPV1 aa 1-200.
Positive control: Rat dorsal root ganglia tissue.
Subcellular location: Postsynaptic cell membrane, Cell projection, dendritic spine membrane, Cell membrane.
Recommended Dilutions:
  IHC-P

1:200
Uniprot #: SwissProt: O35433 Rat
Alternative names: Capsaicin receptor DKFZp434K0220 osm 9 like TRP channel 1 Osm-9-like TRP channel 1 OTRPC1 Transient receptor potential cation channel subfamily V member 1 TRPV 1 Trpv1 TRPV1_HUMAN Vanilloid receptor 1 Vanilloid receptor subtype 1 VR 1 VR1
Images
HA601435_1.jpg Fig1: Immunohistochemical analysis of paraffin-embedded rat dorsal root ganglia tissue with Mouse anti-TRPV1 antibody (HA601435) at 1/200 dilution.

The section was pre-treated using heat mediated antigen retrieval with Tris-EDTA buffer (pH 9.0) for 20 minutes. The tissues were blocked in 1% BSA for 20 minutes at room temperature, washed with ddH2O and PBS, and then probed with the primary antibody (HA601435) at 1/200 dilution for 1 hour at room temperature. The detection was performed using an HRP conjugated compact polymer system. DAB was used as the chromogen. Tissues were counterstained with hematoxylin and mounted with DPX.
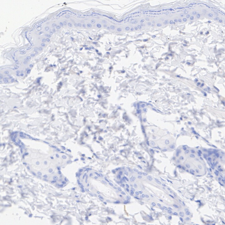
HA601435_2.jpg Fig2: Immunohistochemical analysis of paraffin-embedded rat skin tissue (negative) with Mouse anti-TRPV1 antibody (HA601435) at 1/200 dilution.

The section was pre-treated using heat mediated antigen retrieval with Tris-EDTA buffer (pH 9.0) for 20 minutes. The tissues were blocked in 1% BSA for 20 minutes at room temperature, washed with ddH2O and PBS, and then probed with the primary antibody (HA601435) at 1/200 dilution for 1 hour at room temperature. The detection was performed using an HRP conjugated compact polymer system. DAB was used as the chromogen. Tissues were counterstained with hematoxylin and mounted with DPX.
Note: All products are “FOR RESEARCH USE ONLY AND ARE NOT INTENDED FOR DIAGNOSTIC OR THERAPEUTIC USE”.