c-Fos Recombinant Antibody [PSH07-51] - Mouse IgG1 (Chimeric)
cat.: HA601440
Product Type: Recombinant Chimeric Antibody, primary antibodies
Species reactivity: Human, Mouse, Rat, Cynomolgus monkey, Pig
Applications: IHC-Fr, IHC-P, IF-Cell, WB
Clone number: PSH07-51
Form: Liquid
Storage condition: Shipped at 4℃. Store at +4℃ short term (1-2 weeks). It is recommended to aliquot into single-use upon delivery. Store at -20℃ long term.
Storage buffer: 1*PBS (pH7.4), 0.1% BSA, 40% Glycerol, 0.2% Proclean 950.
Concentration: 1ug/ul
Purification: Protein A affinity purified.
Molecular weight: Predicted band size: 41 kDa
Immunogen: Recombinant protein within human Protein c-Fos aa 1-380.
Positive control: Mouse brain tissue, rat brain tissue.
Subcellular location: Nucleus, Endoplasmic reticulum, Cytoplasm, cytosol.
Recommended Dilutions:
  IHC-Fr
  IHC-P
  IF-Cell
  WB

1:1,000-1:5,000
1:5,000
1:1,000
1:5,000-1:10,000
Uniprot #: SwissProt: P01100 Human | P01101 Mouse | P12841 Rat
Alternative names: Activator protein 1 AP 1 C FOS Cellular oncogene c fos Cellular oncogene fos FBJ murine osteosarcoma viral (v fos) oncogene homolog (oncogene FOS) FBJ murine osteosarcoma viral oncogene homolog FBJ murine osteosarcoma viral v fos oncogene homolog FBJ Osteosarcoma Virus FOS FOS protein FOS_HUMAN G0 G1 switch regulatory protein 7 G0/G1 switch regulatory protein 7 G0S7 Oncogene FOS p55 proto oncogene c Fos Proto oncogene protein c fos Proto-oncogene c-Fos v fos FBJ murine osteosarcoma viral oncogene homolog
Images
HA601440_1.jpg Fig1: Application: IHC-Fr

Species: Mouse

Site: Cerebral cortex (restraint stress induced)

Sample: Frozen section

Antibody concentration: 1/1,000 (c-Fos, HA601440, Mouse, red); 1/1,000 (Iba1, ET1705-78, Rabbit, green)

Antigen retrieval: Not required

Important Notice: Blocking buffer and antibody dilution buffer are recommended to use TBS buffer instead of PBS buffer.
HA601440_2.jpg Fig2: Application: IHC-Fr

Species: Rat

Site: Cerebral cortex (restraint stress induced)

Sample: Frozen section

Antibody concentration: 1/1,000 (c-Fos, HA601440, Mouse, red); 1/1,000 (Iba1, ET1705-78, Rabbit, green)

Antigen retrieval: Not required

Important Notice: Blocking buffer and antibody dilution buffer are recommended to use TBS buffer instead of PBS buffer.
HA601440_3.jpg Fig3: Immunohistochemical analysis of paraffin-embedded mouse brain tissue with Mouse anti-c-Fos antibody (HA601440) at 1/5,000 dilution.

The section was pre-treated using heat mediated antigen retrieval with Tris-EDTA buffer (pH 9.0) for 20 minutes. The tissues were blocked in 1% BSA for 20 minutes at room temperature, washed with ddH2O and PBS, and then probed with the primary antibody (HA601440) at 1/5,000 dilution for 1 hour at room temperature. The detection was performed using an HRP conjugated compact polymer system. DAB was used as the chromogen. Tissues were counterstained with hematoxylin and mounted with DPX.
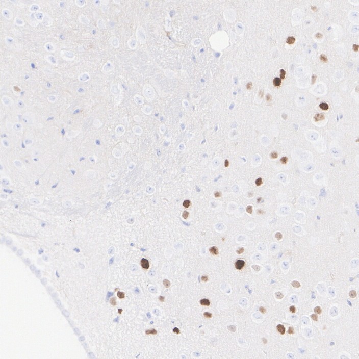
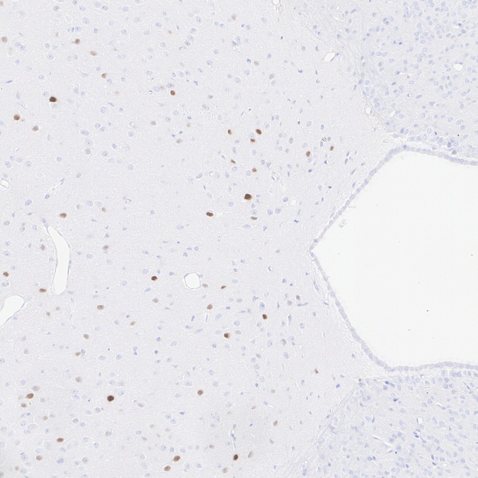
HA601440_4.jpg Fig4: Immunohistochemical analysis of paraffin-embedded rat brain tissue with Mouse anti-c-Fos antibody (HA601440) at 1/5,000 dilution.

The section was pre-treated using heat mediated antigen retrieval with Tris-EDTA buffer (pH 9.0) for 20 minutes. The tissues were blocked in 1% BSA for 20 minutes at room temperature, washed with ddH2O and PBS, and then probed with the primary antibody (HA601440) at 1/5,000 dilution for 1 hour at room temperature. The detection was performed using an HRP conjugated compact polymer system. DAB was used as the chromogen. Tissues were counterstained with hematoxylin and mounted with DPX.
HA601440_5.jpg Fig5: Immunocytochemistry analysis of HeLa cells untreated / HeLa cells starved 16 hours then treated with 200nM TPA for 4 hours labeling c-Fos with Mouse anti-c-Fos antibody (HA601440) at 1/1,000 dilution.

Cells were fixed in 100% precooled methanol for 5 minutes at room temperature, then blocked with 1% BSA in 10% negative goat serum for 1 hour at room temperature. Cells were then incubated with Mouse anti-c-Fos antibody (HA601440) at 1/1,000 dilution in 1% BSA in PBST overnight at 4 ℃. Goat Anti-Mouse IgG H&L (iFluor™ 488, HA1125) was used as the secondary antibody at 1/1,000 dilution. PBS instead of the primary antibody was used as the secondary antibody only control. Nuclear DNA was labelled in blue with DAPI.

beta Tubulin (ET1602-4, red) was stained at 1/100 dilution overnight at +4℃. Goat Anti-Rabbit IgG H&L (iFluor™ 594, HA1122) were used as the secondary antibody at 1/1,000 dilution.
HA601440_6.jpg Fig6: Immunocytochemistry analysis of C6 cells untreated / C6 cells starved 16 hours then treated with 200nM TPA for 4 hours labeling c-Fos with Mouse anti-c-Fos antibody (HA601440) at 1/1,000 dilution.

Cells were fixed in 100% precooled methanol for 5 minutes at room temperature, then blocked with 1% BSA in 10% negative goat serum for 1 hour at room temperature. Cells were then incubated with Mouse anti-c-Fos antibody (HA601440) at 1/1,000 dilution in 1% BSA in PBST overnight at 4 ℃. Goat Anti-Mouse IgG H&L (iFluor™ 488, HA1125) was used as the secondary antibody at 1/1,000 dilution. PBS instead of the primary antibody was used as the secondary antibody only control. Nuclear DNA was labelled in blue with DAPI.

beta Tubulin (ET1602-4, red) was stained at 1/100 dilution overnight at +4℃. Goat Anti-Rabbit IgG H&L (iFluor™ 594, HA1122) were used as the secondary antibody at 1/1,000 dilution.
HA601440_7.jpg Fig7: Western blot analysis of c-Fos on different lysates with Mouse anti-c-Fos antibody (HA601440) at 1/5,000 dilution.

Lane 1: HeLa cell lysate
Lane 2: HeLa serum starved for 16 hours then add 200 nM TPA for 4 hours cell lysate
Lane 3: RAW264.7 cell lysate
Lane 4: RAW264.7 serum starved for 16 hours then add 200 nM TPA for 4 hours cell lysate

Lysates/proteins at 15 µg/Lane.

Predicted band size: 41 kDa
Observed band size: 41-55 kDa

Exposure time: 59 seconds; ECL: K1801;

Proteins were transferred to a PVDF membrane and blocked with 5% NFDM/TBST for 1 hour at room temperature. The primary antibody (HA601440) at 1/5,000 dilution was used in K1803 at 4℃ overnight. Goat Anti-Mouse IgG - HRP Secondary Antibody (HA1006) at 1/50,000 dilution was used for 1 hour at room temperature.
HA601440_8.jpg Fig8: Application: Immunofluorescence (IHC-Fr)

Species: Mouse
Tissue: Cerebral cortex (restraint stress induced)
Sample: Frozen section

Antigen retrieval: 1% SDS buffer (in PBS, pH 7.4) for 5 minutes at room temperature.

Wash buffer: 1× TBST
Blocking: 10% normal goat serum + 0.5 % Triton X-100 + 0.3 M Glycine in PBS, 10 minutes at room temperature.
Primary antibody: c-Fos, 1/5,000 (HA601440, mouse, Green), Neurogranin, 1/500 (HA721915, rabbit, Red), overnight at 4℃.
Secondary antibody: Goat Anti-Mouse IgG (iFluor™ 488, HA1125), Goat anti-Rabbit IgG (iFluor™ 594, HA1122), 1.5 hours at room temperature.
Note: All products are “FOR RESEARCH USE ONLY AND ARE NOT INTENDED FOR DIAGNOSTIC OR THERAPEUTIC USE”.