CD45RO Recombinant Mouse Monoclonal Antibody [PSH13-94]
cat.: HA601441
Product Type: Recombinant Mouse monoclonal IgG1, primary antibodies
Species reactivity: Human
Applications: IHC-P, FC
Clonality: Monoclonal
Clone number: PSH13-94
Form: Liquid
Storage condition: Shipped at 4℃. Store at +4℃ short term (1-2 weeks). It is recommended to aliquot into single-use upon delivery. Store at -20℃ long term.
Storage buffer: PBS (pH7.4), 0.1% BSA, 40% Glycerol. Preservative: 0.05% Sodium Azide.
Concentration: 1ug/ul
Purification: Protein A affinity purified.
Molecular weight: Predicted band size: 131 kDa
Isotype: IgG1
Positive control: Human colon cancer tissue, human liver tissue, human spleen tissue, human peripheral blood cells.
Subcellular location: Cell membrane, Membrane raft, Synapse.
Recommended Dilutions:
  IHC-P
  FC

1:10,000
1:1,000
Uniprot #: SwissProt: P08575-4 Human
Alternative names: B220 CD45 cd45 antigen CD45R GP180 L-CA lca Leukocyte common antigen LY 5 LY5 Protein tyrosine phosphatase, receptor type, C Protein tyrosine phosphatase, receptor type, c polypeptide Ptprc PTPRC_HUMAN Receptor-type tyrosine-protein phosphatase C T200 T200 glycoprotein T200 leukocyte common antigen CD45RO
Images
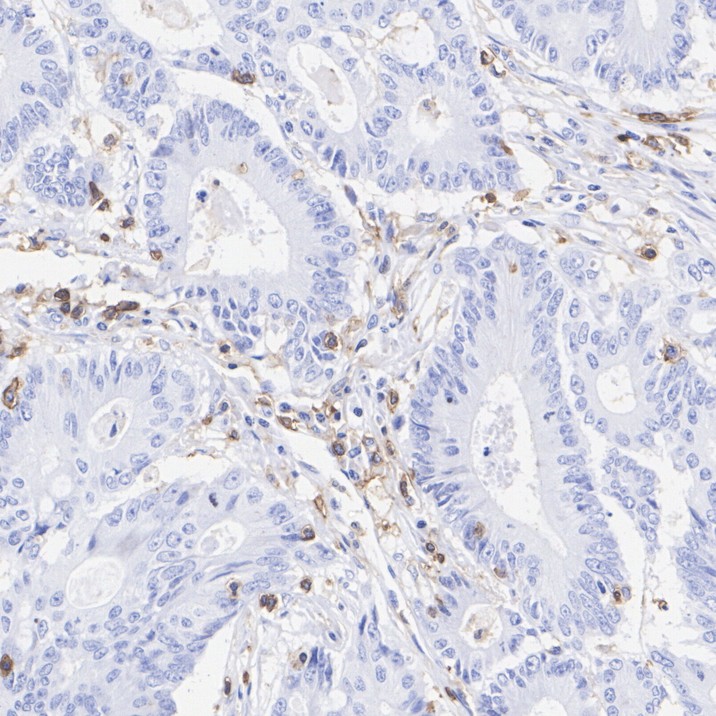
HA601441_1.jpg Fig1: Immunohistochemical analysis of paraffin-embedded human colon cancer tissue with Mouse anti-CD45RO antibody (HA601441) at 1/10,000 dilution.

The section was pre-treated using heat mediated antigen retrieval with Tris-EDTA buffer (pH 9.0) for 20 minutes. The tissues were blocked in 1% BSA for 20 minutes at room temperature, washed with ddH2O and PBS, and then probed with the primary antibody (HA601441) at 1/10,000 dilution for 1 hour at room temperature. The detection was performed using an HRP conjugated compact polymer system. DAB was used as the chromogen. Tissues were counterstained with hematoxylin and mounted with DPX.
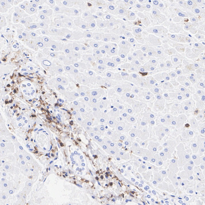
HA601441_2.jpg Fig2: Immunohistochemical analysis of paraffin-embedded human liver tissue with Mouse anti-CD45RO antibody (HA601441) at 1/10,000 dilution.

The section was pre-treated using heat mediated antigen retrieval with Tris-EDTA buffer (pH 9.0) for 20 minutes. The tissues were blocked in 1% BSA for 20 minutes at room temperature, washed with ddH2O and PBS, and then probed with the primary antibody (HA601441) at 1/10,000 dilution for 1 hour at room temperature. The detection was performed using an HRP conjugated compact polymer system. DAB was used as the chromogen. Tissues were counterstained with hematoxylin and mounted with DPX.
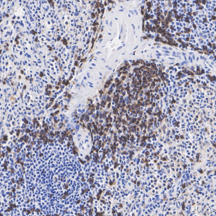
HA601441_3.jpg Fig3: Immunohistochemical analysis of paraffin-embedded human spleen tissue with Mouse anti-CD45RO antibody (HA601441) at 1/10,000 dilution.

The section was pre-treated using heat mediated antigen retrieval with Tris-EDTA buffer (pH 9.0) for 20 minutes. The tissues were blocked in 1% BSA for 20 minutes at room temperature, washed with ddH2O and PBS, and then probed with the primary antibody (HA601441) at 1/10,000 dilution for 1 hour at room temperature. The detection was performed using an HRP conjugated compact polymer system. DAB was used as the chromogen. Tissues were counterstained with hematoxylin and mounted with DPX.
HA601441_4.jpg Fig4: Flow cytometric analysis of human peripheral blood cells labeling CD45RO.

Cells were washed twice with cold PBS and resuspend. Then stained with the primary antibody (HA601441, 1/1,000) (red). After incubation of the primary antibody at +4℃ for an hour, the cells were stained with a iFluor™ 647 conjugate-Goat anti-Mouse IgG Secondary antibody (HA1127) at 1/1,000 dilution for 30 minutes at +4℃. Unlabelled sample was used as a control (cells without incubation with primary antibody; black).
Note: All products are “FOR RESEARCH USE ONLY AND ARE NOT INTENDED FOR DIAGNOSTIC OR THERAPEUTIC USE”.