NF-M Recombinant Antibody [JM11-20] - Mouse IgG1 (Chimeric)
cat.: HA601443
Product Type: Recombinant Chimeric Antibody, primary antibodies
Species reactivity: Human, Mouse, Rat
Applications: IHC-Fr, IHC-P, WB
Clone number: JM11-20
Form: Liquid
Storage condition: Shipped at 4℃. Store at +4℃ short term (1-2 weeks). It is recommended to aliquot into single-use upon delivery. Store at -20℃ long term.
Storage buffer: PBS (pH7.4), 0.1% BSA, 40% Glycerol. Preservative: 0.05% Sodium Azide.
Concentration: 1ug/ul
Purification: Protein A affinity purified.
Molecular weight: Predicted band size: 102 kDa
Immunogen: Synthetic peptide within Human NEFM aa 651-692 / 916.
Positive control: Human cerebellum tissue, mouse cerebellum tissue, rat cerebellum tissue, Mouse brain tissue lysate, Rat brain tissue lysate.
Subcellular location: Cell projection, Cytoplasm, Cytoskeleton, Intermediate filament.
Recommended Dilutions:
  IHC-Fr
  IHC-P
  WB

1:500
1:1,000
1:5,000
Uniprot #: SwissProt: P07197 Human | P08553 Mouse | P12839 Rat
Alternative names: 150kDa medium NEF3 NEFM Neurofilament 3 NF160 NFM
Images
HA601443_1.jpg Fig1: Application: IHC-Fr

Species: Mouse

Site: cerebellum

Sample: Frozen section

Antibody concentration: 1/500 (NF-M, HA601443, Mouse, red); 1/500 (QKI-6, HA723588, Rabbit, green)

Antigen retrieval: Not required
HA601443_2.jpg Fig2: Application: IHC-Fr

Species: Rat

Site: cerebellum

Sample: Frozen section

Antibody concentration: 1/500 (NF-M, HA601443, Mouse, red); 1/500 (QKI-6, HA723588, Rabbit, green)

Antigen retrieval: Not required
HA601443_3.jpg Fig3: Immunohistochemical analysis of paraffin-embedded human cerebellum tissue with Mouse anti-NF-M antibody (HA601443) at 1/1,000 dilution.

The section was pre-treated using heat mediated antigen retrieval with Tris-EDTA buffer (pH 9.0) for 20 minutes. The tissues were blocked in 1% BSA for 20 minutes at room temperature, washed with ddH2O and PBS, and then probed with the primary antibody (HA601443) at 1/1,000 dilution for 1 hour at room temperature. The detection was performed using an HRP conjugated compact polymer system. DAB was used as the chromogen. Tissues were counterstained with hematoxylin and mounted with DPX.
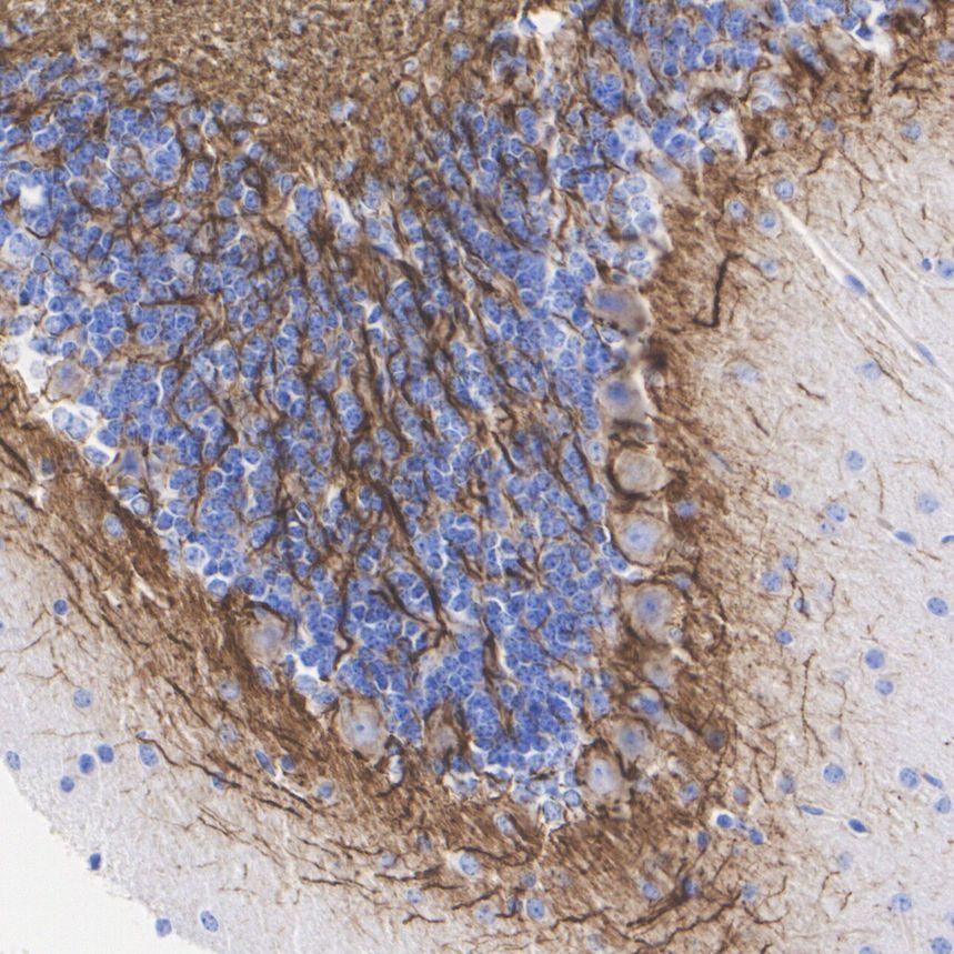
HA601443_4.jpg Fig4: Immunohistochemical analysis of paraffin-embedded mouse cerebellum tissue with Mouse anti-NF-M antibody (HA601443) at 1/1,000 dilution.

The section was pre-treated using heat mediated antigen retrieval with Tris-EDTA buffer (pH 9.0) for 20 minutes. The tissues were blocked in 1% BSA for 20 minutes at room temperature, washed with ddH2O and PBS, and then probed with the primary antibody (HA601443) at 1/1,000 dilution for 1 hour at room temperature. The detection was performed using an HRP conjugated compact polymer system. DAB was used as the chromogen. Tissues were counterstained with hematoxylin and mounted with DPX.
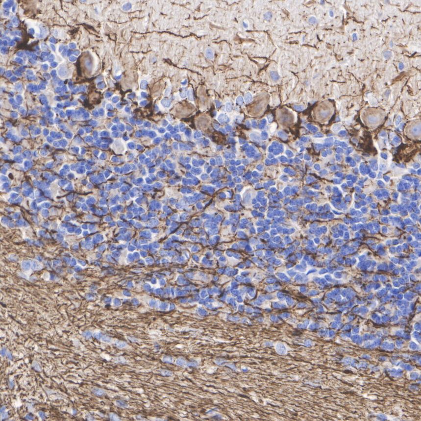
HA601443_5.jpg Fig5: Immunohistochemical analysis of paraffin-embedded rat cerebellum tissue with Mouse anti-NF-M antibody (HA601443) at 1/1,000 dilution.

The section was pre-treated using heat mediated antigen retrieval with Tris-EDTA buffer (pH 9.0) for 20 minutes. The tissues were blocked in 1% BSA for 20 minutes at room temperature, washed with ddH2O and PBS, and then probed with the primary antibody (HA601443) at 1/1,000 dilution for 1 hour at room temperature. The detection was performed using an HRP conjugated compact polymer system. DAB was used as the chromogen. Tissues were counterstained with hematoxylin and mounted with DPX.
HA601443_6.jpg Fig6: Western blot analysis of NF-M on different lysates with Mouse anti-NF-M antibody (HA601443) at 1/5,000 dilution.

Lane 1: Mouse brain tissue lysate
Lane 2: Mouse liver tissue lysate (negative)
Lane 3: Rat brain tissue lysate

Lysates/proteins at 20 µg/Lane.

Predicted band size: 102 kDa
Observed band size: 140 kDa

Exposure time: 20 seconds; ECL: K1801;

4-20% SDS-PAGE gel.

Proteins were transferred to a PVDF membrane and blocked with 5% NFDM/TBST for 1 hour at room temperature. The primary antibody (HA601443) at 1/5,000 dilution was used in primary antibody dilution (K1803) at 4℃ overnight. Goat Anti-Mouse IgG - HRP Secondary Antibody (HA1006) at 1/50,000 dilution was used for 1 hour at room temperature.
Note: All products are “FOR RESEARCH USE ONLY AND ARE NOT INTENDED FOR DIAGNOSTIC OR THERAPEUTIC USE”.