NF-L Recombinant Antibody [PS02-10] - Mouse IgG1 (Chimeric)
cat.: HA601448
Product Type: Recombinant Chimeric Antibody, primary antibodies
Species reactivity: Human, Mouse, Rat
Applications: IHC-Fr, IHC-P, WB
Clone number: PS02-10
Form: Liquid
Storage condition: Shipped at 4℃. Store at +4℃ short term (1-2 weeks). It is recommended to aliquot into single-use upon delivery. Store at -20℃ long term.
Storage buffer: PBS (pH7.4), 0.1% BSA, 40% Glycerol. Preservative: 0.05% Sodium Azide.
Concentration: 1ug/ul
Purification: Protein A affinity purified.
Molecular weight: Predicted band size: 62 kDa
Immunogen: Recombinant protein.
Positive control: Human cerebellum tissue, mouse cerebellum tissue, rat cerebellum tissue, Mouse brain tissue lysate, Rat brain tissue lysate.
Subcellular location: Cell projection, axon, Cytoplasm, cytoskeleton.
Recommended Dilutions:
  IHC-Fr
  IHC-P
  WB

1:500
1:2,000
1:5,000
Uniprot #: SwissProt: P07196 Human | P08551 Mouse | P19527 Rat
Alternative names: 68 kDa neurofilament protein 68kDa Neurofilament 68kDa neurofilament protein CMT1F CMT2E FLJ53642 Light molecular weight neurofilament protein NEFL Neurofilament light Neurofilament light polypeptide 68kDa Neurofilament light polypeptide Neurofilament protein, light chain Neurofilament subunit NF L Neurofilament triplet L protein NF-L NF68 NFL NFL_HUMAN
Images
HA601448_1.jpg Fig1: Application: IHC-Fr

Species: Mouse

Site: cerebellum

Sample: Frozen section

Antibody concentration: 1/500

Antigen retrieval: Not required
HA601448_2.jpg Fig2: Application: IHC-Fr

Species: Rat

Site: cerebellum

Sample: Frozen section

Antibody concentration: 1/500

Antigen retrieval: Not required
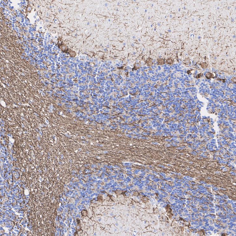
HA601448_3.jpg Fig3: Immunohistochemical analysis of paraffin-embedded human cerebellum tissue with Mouse anti-NF-L antibody (HA601448) at 1/2,000 dilution.

The section was pre-treated using heat mediated antigen retrieval with Tris-EDTA buffer (pH 9.0) for 20 minutes. The tissues were blocked in 1% BSA for 20 minutes at room temperature, washed with ddH2O and PBS, and then probed with the primary antibody (HA601448) at 1/2,000 dilution for 1 hour at room temperature. The detection was performed using an HRP conjugated compact polymer system. DAB was used as the chromogen. Tissues were counterstained with hematoxylin and mounted with DPX.
HA601448_4.jpg Fig4: Immunohistochemical analysis of paraffin-embedded mouse cerebellum tissue with Mouse anti-NF-L antibody (HA601448) at 1/2,000 dilution.

The section was pre-treated using heat mediated antigen retrieval with Tris-EDTA buffer (pH 9.0) for 20 minutes. The tissues were blocked in 1% BSA for 20 minutes at room temperature, washed with ddH2O and PBS, and then probed with the primary antibody (HA601448) at 1/2,000 dilution for 1 hour at room temperature. The detection was performed using an HRP conjugated compact polymer system. DAB was used as the chromogen. Tissues were counterstained with hematoxylin and mounted with DPX.
HA601448_5.jpg Fig5: Immunohistochemical analysis of paraffin-embedded rat cerebellum tissue with Mouse anti-NF-L antibody (HA601448) at 1/2,000 dilution.

The section was pre-treated using heat mediated antigen retrieval with Tris-EDTA buffer (pH 9.0) for 20 minutes. The tissues were blocked in 1% BSA for 20 minutes at room temperature, washed with ddH2O and PBS, and then probed with the primary antibody (HA601448) at 1/2,000 dilution for 1 hour at room temperature. The detection was performed using an HRP conjugated compact polymer system. DAB was used as the chromogen. Tissues were counterstained with hematoxylin and mounted with DPX.
HA601448_6.jpg Fig6: Western blot analysis of NF-L on different lysates with Mouse anti-NF-L antibody (HA601448) at 1/5,000 dilution.

Lane 1: Mouse brain tissue lysate (20 µg/Lane)
Lane 2: Mouse lung tissue lysate (negative) (20 µg/Lane)
Lane 3: Rat brain tissue lysate (20 µg/Lane)
Lane 4: Rat lung tissue lysate (negative) (20 µg/Lane)

Predicted band size: 62 kDa
Observed band size: 62 kDa

Exposure time: 2 minutes; ECL: K1801;

4-20% SDS-PAGE gel.

Proteins were transferred to a PVDF membrane and blocked with 5% NFDM/TBST for 1 hour at room temperature. The primary antibody (HA601448) at 1/5,000 dilution was used in primary antibody dilution (K1803) at 4℃ overnight. Goat Anti-Mouse IgG - HRP Secondary Antibody (HA1006) at 1/50,000 dilution was used for 1 hour at room temperature.
Note: All products are “FOR RESEARCH USE ONLY AND ARE NOT INTENDED FOR DIAGNOSTIC OR THERAPEUTIC USE”.