VGLUT1 Recombinant Antibody [PSH10-53] - Mouse IgG1 (Chimeric)
cat.: HA601450
Product Type: Recombinant Chimeric Antibody, primary antibodies
Species reactivity: Mouse, Rat
Applications: IHC-Fr, IHC-P, WB
Clone number: PSH10-53
Form: Liquid
Storage condition: Shipped at 4℃. Store at +4℃ short term (1-2 weeks). It is recommended to aliquot into single-use upon delivery. Store at -20℃ long term.
Storage buffer: PBS (pH7.4), 0.1% BSA, 40% Glycerol. Preservative: 0.05% Sodium Azide.
Concentration: 1ug/ul
Purification: Protein A affinity purified.
Molecular weight: Predicted band size: 62 kDa
Immunogen: Recombinant protein within Mouse VGLUT1 aa 1-560.
Positive control: Mouse cerebellum tissue, rat cerebellum tissue, Mouse brain tissue lysate.
Subcellular location: Cytoplasmic vesicle, secretory vesicle, synaptic vesicle membrane, Cell membrane, Synapse, synaptosome.
Recommended Dilutions:
  IHC-Fr
  IHC-P
  WB

1:500
1:2,000
1:5,000
Uniprot #: SwissProt: Q3TXX4 Mouse | Q62634 Rat
Alternative names: BNPI Brain specific Na (+) dependent inorganic phosphate cotransporter Brain specific Na dependent inorganic phosphate cotransporter Brain-specific Na(+)-dependent inorganic phosphate cotransporter Slc17a7 Solute carrier family 17 (sodium-dependent inorganic phosphate cotransporter), member 7 Solute carrier family 17 member 7 Vesicular glutamate transporter 1 VGLU1_HUMAN VGLUT 1 VGluT1
Images
HA601450_1.jpg Fig1: Application: IHC-Fr

Species: Mouse

Site: hippocampus

Sample: Frozen section

Antibody concentration: 1/500

Antigen retrieval: Not required
HA601450_2.jpg Fig2: Application: IHC-Fr

Species: Rat

Site: hippocampus

Sample: Frozen section

Antibody concentration: 1/500

Antigen retrieval: Not required
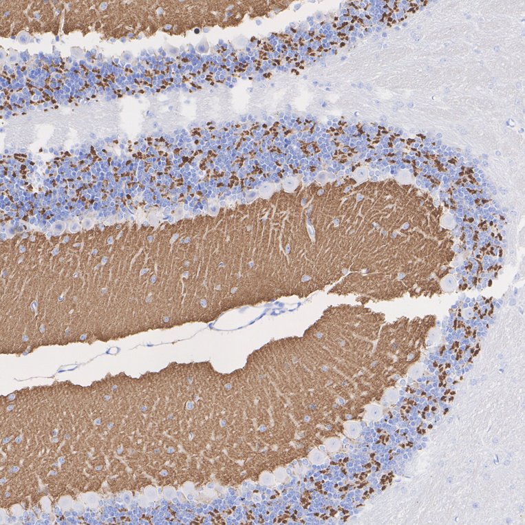
HA601450_3.jpg Fig3: Immunohistochemical analysis of paraffin-embedded mouse cerebellum tissue with Mouse anti-VGLUT1 antibody (HA601450) at 1/2,000 dilution.

The section was pre-treated using heat mediated antigen retrieval with Tris-EDTA buffer (pH 9.0) for 20 minutes. The tissues were blocked in 1% BSA for 20 minutes at room temperature, washed with ddH2O and PBS, and then probed with the primary antibody (HA601450) at 1/2,000 dilution for 1 hour at room temperature. The detection was performed using an HRP conjugated compact polymer system. DAB was used as the chromogen. Tissues were counterstained with hematoxylin and mounted with DPX.
HA601450_4.jpg Fig4: Immunohistochemical analysis of paraffin-embedded rat cerebellum tissue with Mouse anti-VGLUT1 antibody (HA601450) at 1/2,000 dilution.

The section was pre-treated using heat mediated antigen retrieval with Tris-EDTA buffer (pH 9.0) for 20 minutes. The tissues were blocked in 1% BSA for 20 minutes at room temperature, washed with ddH2O and PBS, and then probed with the primary antibody (HA601450) at 1/2,000 dilution for 1 hour at room temperature. The detection was performed using an HRP conjugated compact polymer system. DAB was used as the chromogen. Tissues were counterstained with hematoxylin and mounted with DPX.
HA601450_5.jpg Fig5: Western blot analysis of VGLUT1 on different lysates with Mouse anti-VGLUT1 antibody (HA601450) at 1/5,000 dilution.

Lane 1: Mouse brain tissue lysate (no heat)
Lane 2: Mouse lung tissue lysate (no heat) (negative)

Notice: no heat means the lysate is not boiled.

Lysates/proteins at 20 µg/Lane.

Predicted band size: 62 kDa
Observed band size: 62 kDa

Exposure time: 42 seconds; ECL: K1801;

4-20% SDS-PAGE gel.

Proteins were transferred to a PVDF membrane and blocked with 5% NFDM/TBST for 1 hour at room temperature. The primary antibody (HA601450) at 1/5,000 dilution was used in primary antibody dilution (K1803) at 4℃ overnight. Goat Anti-Mouse IgG - HRP Secondary Antibody (HA1006) at 1/50,000 dilution was used for 1 hour at room temperature.
Note: All products are “FOR RESEARCH USE ONLY AND ARE NOT INTENDED FOR DIAGNOSTIC OR THERAPEUTIC USE”.