Mannose Receptor(CD206) Recombinant Antibody [PSH07-76] - Mouse IgG1 (Chimeric)
cat.: HA601453
Product Type: Recombinant Chimeric Antibody, primary antibodies
Species reactivity: Mouse, Rat
Applications: IHC-Fr, IF-Tissue, IHC-P, WB, IF-Cell
Clone number: PSH07-76
Form: Liquid
Storage condition: Shipped at 4℃. Store at +4℃ short term (1-2 weeks). It is recommended to aliquot into single-use upon delivery. Store at -20℃ long term.
Storage buffer: PBS (pH7.4), 0.1% BSA, 40% Glycerol. Preservative: 0.05% Sodium Azide.
Concentration: 1ug/ul
Purification: Protein A affinity purified.
Molecular weight: Predicted band size: 165 kDa
Immunogen: Recombinant protein within mouse Mannose Receptor(CD206) aa 1-1,409.
Positive control: Mouse liver tissue, rat liver tissue, Mouse lung tissue lysate, Mouse liver tissue lysate, Rat lung tissue lysate, Rat liver tissue lysate.
Subcellular location: Endosome membrane, Cell membrane.
Recommended Dilutions:
  IHC-Fr
  IF-Tissue
  IHC-P
  WB
  IF-Cell

1:500
1:500
1:1,000
1:5,000
1:50-1:100
Uniprot #: SwissProt: Q61830 Mouse
Entrez Gene: 291327 Rat
Alternative names: bA541I19.1 C type lectin domain family 13 member D C-type lectin domain family 13 member D CD 206 CD206 CD206 antigen CLEC13D CLEC13DL Macrophage mannose receptor 1 Macrophage mannose receptor 1 like protein 1 Macrophage mannose receptor Mannose receptor C type 1 Mannose receptor C type 1 like 1 MMR MRC 1 MRC1 MRC1_HUMAN MRC1L1 OTTHUMP00000045206
Images
HA601453_1.jpg Fig1: Application: IHC-Fr

Species: Mouse

Site: liver

Sample: Frozen section

Antibody concentration: 1/500

Antigen retrieval: Not required
HA601453_2.jpg Fig2: Application: IHC-Fr

Species: Rat

Site: liver

Sample: Frozen section

Antibody concentration: 1/500

Antigen retrieval: Not required
HA601453_3.jpg Fig3: Application: IF-Tissue

Species: Mouse

Site: liver

Sample: Paraffin-embedded section

Antibody concentration: 1/500
HA601453_4.jpg Fig4: Application: IF-Tissue

Species: Rat

Site: liver

Sample: Paraffin-embedded section

Antibody concentration: 1/500
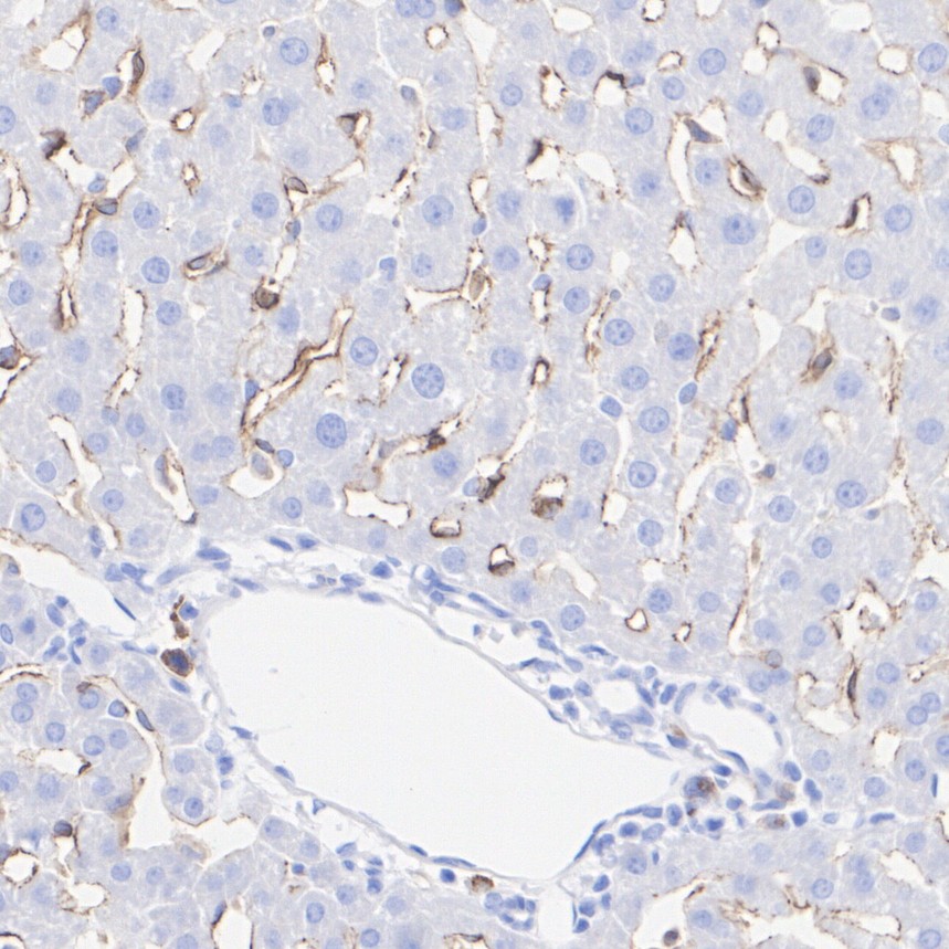
HA601453_5.jpg Fig5: Immunohistochemical analysis of paraffin-embedded mouse liver tissue with Mouse anti-Mannose Receptor(CD206) antibody (HA601453) at 1/1,000 dilution.

The section was pre-treated using heat mediated antigen retrieval with Tris-EDTA buffer (pH 9.0) for 20 minutes. The tissues were blocked in 1% BSA for 20 minutes at room temperature, washed with ddH2O and PBS, and then probed with the primary antibody (HA601453) at 1/1,000 dilution for 1 hour at room temperature. The detection was performed using an HRP conjugated compact polymer system. DAB was used as the chromogen. Tissues were counterstained with hematoxylin and mounted with DPX.
HA601453_6.jpg Fig6: Immunohistochemical analysis of paraffin-embedded rat liver tissue with Mouse anti-Mannose Receptor(CD206) antibody (HA601453) at 1/1,000 dilution.

The section was pre-treated using heat mediated antigen retrieval with Tris-EDTA buffer (pH 9.0) for 20 minutes. The tissues were blocked in 1% BSA for 20 minutes at room temperature, washed with ddH2O and PBS, and then probed with the primary antibody (HA601453) at 1/1,000 dilution for 1 hour at room temperature. The detection was performed using an HRP conjugated compact polymer system. DAB was used as the chromogen. Tissues were counterstained with hematoxylin and mounted with DPX.
HA601453_7.jpg Fig7: Western blot analysis of Mannose Receptor(CD206) on different lysates with Mouse anti-Mannose Receptor(CD206) antibody (HA601453) at 1/5,000 dilution.

Lane 1: Mouse lung tissue lysate (20 µg/Lane)
Lane 2: Mouse liver tissue lysate (20 µg/Lane)
Lane 4: Rat lung tissue lysate (20 µg/Lane)
Lane 5: Rat liver tissue lysate (20 µg/Lane)

Predicted band size: 165 kDa
Observed band size: 200 kDa

Exposure time: 59 seconds; ECL: K1801;

4-20% SDS-PAGE gel.

Proteins were transferred to a PVDF membrane and blocked with 5% NFDM/TBST for 1 hour at room temperature. The primary antibody (HA601453) at 1/5,000 dilution was used in primary antibody dilution (K1803) at 4℃ overnight. Goat Anti-Mouse IgG - HRP Secondary Antibody (HA1006) at 1/50,000 dilution was used for 1 hour at room temperature.
HA601453_8.jpg Fig8: Immunocytochemistry analysis of RAW264.7 cells treated with 20ng/mL mIL-4 and 10ng/mL mIL-13 for 24 hours (Macrophage M2 polarization, positive) labeling Mannose Receptor(CD206) with Mouse anti-Mannose Receptor(CD206) antibody (HA601453) at 1/50 dilution.

Cells were fixed in 4% paraformaldehyde for 15 minutes at room temperature, permeabilized with 0.1% Triton X-100 in PBS for 15 minutes at room temperature, then blocked with 1% BSA in 10% negative goat serum for 1 hour at room temperature. Cells were then incubated with Mouse anti-Mannose Receptor(CD206) antibody (HA601453) at 1/50 dilution in 1% BSA in PBST overnight at 4 ℃. Goat Anti-Mouse IgG H&L (iFluor™ 488, HA1125) was used as the secondary antibody at 1/1,000 dilution. PBS instead of the primary antibody was used as the secondary antibody only control. Nuclear DNA was labelled in blue with DAPI.

Beta tubulin (ET1602-4, red) was stained at 1/100 dilution overnight at +4℃. Goat Anti-Rabbit IgG H&L (iFluor™ 594, HA1122) was used as the secondary antibody at 1/1,000 dilution.
Note: All products are “FOR RESEARCH USE ONLY AND ARE NOT INTENDED FOR DIAGNOSTIC OR THERAPEUTIC USE”.