TOMM20 Recombinant Antibody [ST04-72] - Mouse IgG1 (Chimeric)
cat.: HA601454
Product Type: Recombinant Chimeric Antibody, primary antibodies
Species reactivity: Human, Mouse, Rat
Applications: WB, IF-Cell, IHC-P, FC, IHC-Fr
Clone number: ST04-72
Form: Liquid
Storage condition: Shipped at 4℃. Store at +4℃ short term (1-2 weeks). It is recommended to aliquot into single-use upon delivery. Store at -20℃ long term.
Storage buffer: PBS (pH7.4), 0.1% BSA, 40% Glycerol. Preservative: 0.05% Sodium Azide.
Concentration: 1ug/ul
Purification: Protein A affinity purified.
Molecular weight: Predicted band size: 16 kDa
Immunogen: Recombinant protein within Human TOMM20 aa 1-145 / 145.
Positive control: HeLa cell lysate, HepG2 cell lysate, NIH/3T3 cell lysate, C2C12 cell lysate, PC-12 cell lysate, Mouse brain tissue lysate, Rat brain tissue lysate, HepG2, NIH/3T3, PC-12, human kidney tissue, mouse kidney tissue, rat kidney tissue.
Subcellular location: Mitochondrion outer membrane.
Recommended Dilutions:
  WB
  IF-Cell
  IHC-P
  FC
  IHC-Fr

1:5,000
1:100
1:1,000
1:1,000
1:500
Uniprot #: SwissProt: Q15388 Human | Q9DCC8 Mouse | Q62760 Rat
Alternative names: KIAA0016 MAS20 MGC117367 Mitochondrial 20 kDa outer membrane protein Mitochondrial import receptor subunit TOM20 homolog MOM19 Outer mitochondrial membrane receptor Tom20 TOM20 TOM20_HUMAN TOMM20 Translocase of outer mitochondrial membrane 20 homolog (yeast) Translocase of outer mitochondrial membrane 20 homolog type II
Images
HA601454_1.jpg Fig1: Western blot analysis of TOMM20 on different lysates with Mouse anti-TOMM20 antibody (HA601454) at 1/5,000 dilution.

Lane 1: HeLa cell lysate (15 µg/Lane)
Lane 2: HepG2 cell lysate (15 µg/Lane)
Lane 3: NIH/3T3 cell lysate (15 µg/Lane)
Lane 4: C2C12 cell lysate (15 µg/Lane)
Lane 5: PC-12 cell lysate (15 µg/Lane)
Lane 6: Mouse brain tissue lysate (30 µg/Lane)
Lane 7: Rat brain tissue lysate (30 µg/Lane)

Predicted band size: 16 kDa
Observed band size: 16 kDa

Exposure time: 25 seconds; ECL: K1801;

4-20% SDS-PAGE gel.

Proteins were transferred to a PVDF membrane and blocked with 5% NFDM/TBST for 1 hour at room temperature. The primary antibody (HA601454) at 1/5,000 dilution was used in primary antibody dilution (K1803) at 4℃ overnight. Goat Anti-Mouse IgG - HRP Secondary Antibody (HA1006) at 1/50,000 dilution was used for 1 hour at room temperature.
HA601454_2.jpg Fig2: Immunocytochemistry analysis of HepG2 cells labeling TOMM20 with Mouse anti-TOMM20 antibody (HA601454) at 1/100 dilution.

Cells were fixed in 4% paraformaldehyde for 15 minutes at room temperature, permeabilized with 0.1% Triton X-100 in PBS for 15 minutes at room temperature, then blocked with 1% BSA in 10% negative goat serum for 1 hour at room temperature. Cells were then incubated with Mouse anti-TOMM20 antibody (HA601454) at 1/100 dilution in 1% BSA in PBST overnight at 4 ℃. Goat Anti-Mouse IgG H&L (iFluor™ 488, HA1125) was used as the secondary antibody at 1/1,000 dilution. PBS instead of the primary antibody was used as the secondary antibody only control. Nuclear DNA was labelled in blue with DAPI.

beta Tubulin (ET1602-4, red) was stained at 1/100 dilution overnight at +4℃. Goat Anti-Rabbit IgG H&L (iFluor™ 594, HA1122) were used as the secondary antibody at 1/1,000 dilution.
HA601454_3.jpg Fig3: Immunocytochemistry analysis of NIH/3T3 cells labeling TOMM20 with Mouse anti-TOMM20 antibody (HA601454) at 1/100 dilution.

Cells were fixed in 4% paraformaldehyde for 15 minutes at room temperature, permeabilized with 0.1% Triton X-100 in PBS for 15 minutes at room temperature, then blocked with 1% BSA in 10% negative goat serum for 1 hour at room temperature. Cells were then incubated with Mouse anti-TOMM20 antibody (HA601454) at 1/100 dilution in 1% BSA in PBST overnight at 4 ℃. Goat Anti-Mouse IgG H&L (iFluor™ 488, HA1125) was used as the secondary antibody at 1/1,000 dilution. PBS instead of the primary antibody was used as the secondary antibody only control. Nuclear DNA was labelled in blue with DAPI.

beta Tubulin (ET1602-4, red) was stained at 1/100 dilution overnight at +4℃. Goat Anti-Rabbit IgG H&L (iFluor™ 594, HA1122) were used as the secondary antibody at 1/1,000 dilution.
HA601454_4.jpg Fig4: Immunocytochemistry analysis of PC-12 cells labeling TOMM20 with Mouse anti-TOMM20 antibody (HA601454) at 1/100 dilution.

Cells were fixed in 4% paraformaldehyde for 15 minutes at room temperature, permeabilized with 0.1% Triton X-100 in PBS for 15 minutes at room temperature, then blocked with 1% BSA in 10% negative goat serum for 1 hour at room temperature. Cells were then incubated with Mouse anti-TOMM20 antibody (HA601454) at 1/100 dilution in 1% BSA in PBST overnight at 4 ℃. Goat Anti-Mouse IgG H&L (iFluor™ 488, HA1125) was used as the secondary antibody at 1/1,000 dilution. PBS instead of the primary antibody was used as the secondary antibody only control. Nuclear DNA was labelled in blue with DAPI.

beta Tubulin (ET1602-4, red) was stained at 1/100 dilution overnight at +4℃. Goat Anti-Rabbit IgG H&L (iFluor™ 594, HA1122) were used as the secondary antibody at 1/1,000 dilution.
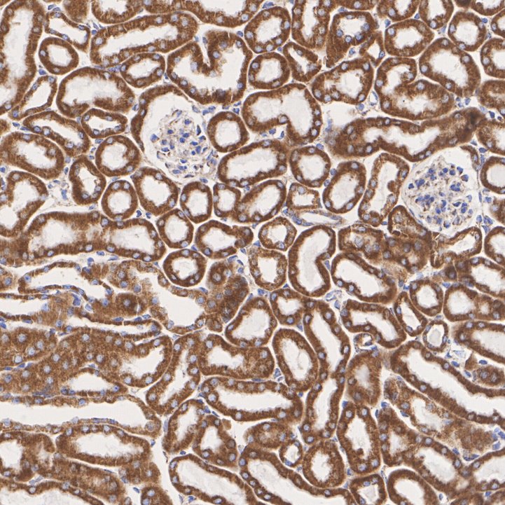
HA601454_5.jpg Fig5: Immunohistochemical analysis of paraffin-embedded human kidney tissue with Mouse anti-TOMM20 antibody (HA601454) at 1/1,000 dilution.

The section was pre-treated using heat mediated antigen retrieval with Tris-EDTA buffer (pH 9.0) for 20 minutes. The tissues were blocked in 1% BSA for 20 minutes at room temperature, washed with ddH2O and PBS, and then probed with the primary antibody (HA601454) at 1/1,000 dilution for 1 hour at room temperature. The detection was performed using an HRP conjugated compact polymer system. DAB was used as the chromogen. Tissues were counterstained with hematoxylin and mounted with DPX.
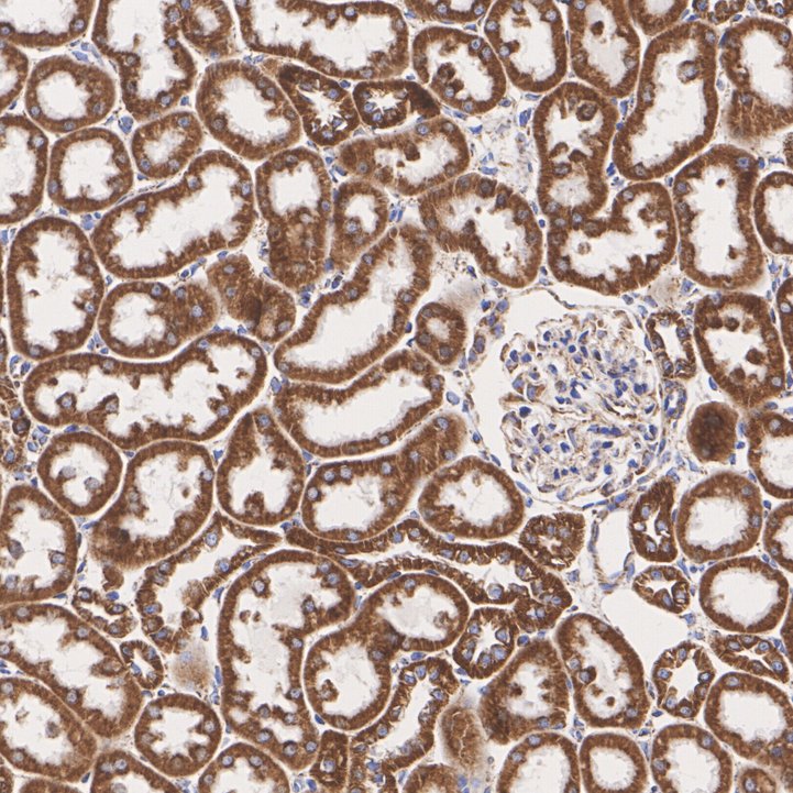
HA601454_6.jpg Fig6: Immunohistochemical analysis of paraffin-embedded mouse kidney tissue with Mouse anti-TOMM20 antibody (HA601454) at 1/1,000 dilution.

The section was pre-treated using heat mediated antigen retrieval with Tris-EDTA buffer (pH 9.0) for 20 minutes. The tissues were blocked in 1% BSA for 20 minutes at room temperature, washed with ddH2O and PBS, and then probed with the primary antibody (HA601454) at 1/1,000 dilution for 1 hour at room temperature. The detection was performed using an HRP conjugated compact polymer system. DAB was used as the chromogen. Tissues were counterstained with hematoxylin and mounted with DPX.
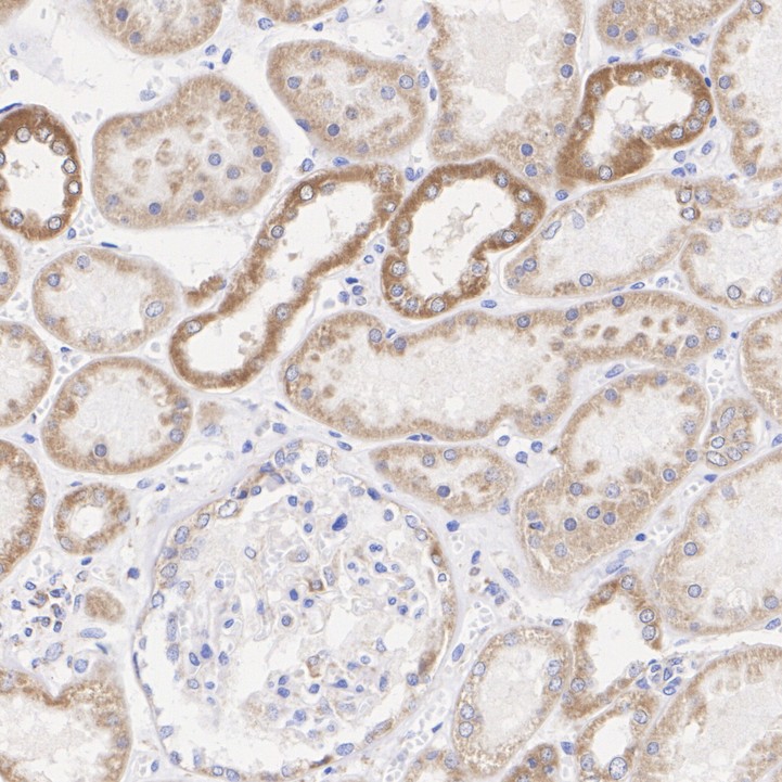
HA601454_7.jpg Fig7: Immunohistochemical analysis of paraffin-embedded rat kidney tissue with Mouse anti-TOMM20 antibody (HA601454) at 1/1,000 dilution.

The section was pre-treated using heat mediated antigen retrieval with Tris-EDTA buffer (pH 9.0) for 20 minutes. The tissues were blocked in 1% BSA for 20 minutes at room temperature, washed with ddH2O and PBS, and then probed with the primary antibody (HA601454) at 1/1,000 dilution for 1 hour at room temperature. The detection was performed using an HRP conjugated compact polymer system. DAB was used as the chromogen. Tissues were counterstained with hematoxylin and mounted with DPX.
HA601454_8.jpg Fig8: Application: IHC-Fr

Species: Mouse

Site: Kidney

Sample: Frozen section

Antibody concentration: 1/500

Antigen retrieval: Not required
HA601454_9.jpg Fig9: Application: IHC-Fr

Species: Rat

Site: Kidney

Sample: Frozen section

Antibody concentration: 1/500

Antigen retrieval: Not required
HA601454_10.jpg Fig10: Flow cytometric analysis of HepG2 cells labeling TOMM20.

Cells were fixed and permeabilized. Then stained with the primary antibody (HA601454, 1/1,000) (red) compared with Mouse IgG Isotype Control (green). After incubation of the primary antibody at +4℃ for an hour, the cells were stained with a iFluor™ 488 conjugate-Goat anti-Mouse IgG Secondary antibody (HA1125) at 1/1,000 dilution for 30 minutes at +4℃. Unlabelled sample was used as a control (cells without incubation with primary antibody; black).
Note: All products are “FOR RESEARCH USE ONLY AND ARE NOT INTENDED FOR DIAGNOSTIC OR THERAPEUTIC USE”.