IP3 receptor Recombinant Mouse Monoclonal Antibody [PSH14-18]
cat.: HA601456
Product Type: Recombinant Mouse monoclonal IgG1, primary antibodies
Species reactivity: Mouse, Rat
Applications: WB, IHC-P
Clonality: Monoclonal
Clone number: PSH14-18
Form: Liquid
Storage condition: Shipped at 4℃. Store at +4℃ short term (1-2 weeks). It is recommended to aliquot into single-use upon delivery. Store at -20℃ long term.
Storage buffer: PBS (pH7.4), 0.1% BSA, 40% Glycerol. Preservative: 0.05% Sodium Azide.
Concentration: 2ug/ul
Purification: Protein A affinity purified.
Molecular weight: Predicted band size: 313 kDa
Isotype: IgG1
Immunogen: Recombinant protein within Rat IP3 receptor aa 2591-2750 (Cytoplasmic).
Positive control: Mouse brain tissue lysate, mouse brain tissue, rat brain tissue.
Subcellular location: Endoplasmic reticulum membrane, Cytoplasmic vesicle, secretory vesicle membrane, Cytoplasm, perinuclear region.
Recommended Dilutions:
  WB
  IHC-P

1:5,000
1:1,000
Uniprot #: SwissProt: P11881 Mouse | P29994 Rat
Alternative names: 4 5-trisphosphate receptor 5-trisphosphate receptor type 1 DKFZp313E1334 DKFZp313N1434 inositol 1 4 5 triphosphate receptor type 1 Inositol 1 4 5 trisphosphate Receptor Type 1 Inositol 1 InsP3R1 IP3 IP3 receptor IP3 receptor isoform 1 IP3R 1 IP3R IP3R1 ITPR 1 Itpr1 ITPR1_HUMAN SCA15 SCA16 SCA29 Type 1 inositol 1 4 5 trisphosphate receptor Type 1 inositol 1 Type 1 InsP3 receptor
Images
HA601456_1.jpg Fig1: Western blot analysis of IP3 receptor on different lysates with Mouse anti-IP3 receptor antibody (HA601456) at 1/5,000 dilution.

Lane 1: Mouse skeletal muscle tissue lysate (negative) (40 µg/Lane)
Lane 2: Mouse brain tissue lysate (40 µg/Lane)

Predicted band size: 313 kDa
Observed band size: 313 kDa

Exposure time: 59 seconds; ECL: K1801;

4-20% SDS-PAGE gel.

Proteins were transferred to a PVDF membrane and blocked with 5% NFDM/TBST for 1 hour at room temperature. The primary antibody (HA601456) at 1/5,000 dilution was used in primary antibody dilution (K1803) at 4℃ overnight. Goat Anti-Mouse IgG - HRP Secondary Antibody (HA1006) at 1/50,000 dilution was used for 1 hour at room temperature.
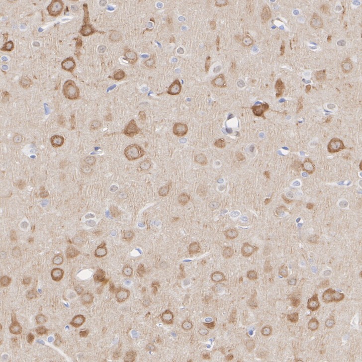
HA601456_2.jpg Fig2: Immunohistochemical analysis of paraffin-embedded mouse brain tissue with Mouse anti-IP3 receptor antibody (HA601456) at 1/1,000 dilution.

The section was pre-treated using heat mediated antigen retrieval with Tris-EDTA buffer (pH 9.0) for 20 minutes. The tissues were blocked in 1% BSA for 20 minutes at room temperature, washed with ddH2O and PBS, and then probed with the primary antibody (HA601456) at 1/1,000 dilution for 1 hour at room temperature. The detection was performed using an HRP conjugated compact polymer system. DAB was used as the chromogen. Tissues were counterstained with hematoxylin and mounted with DPX.
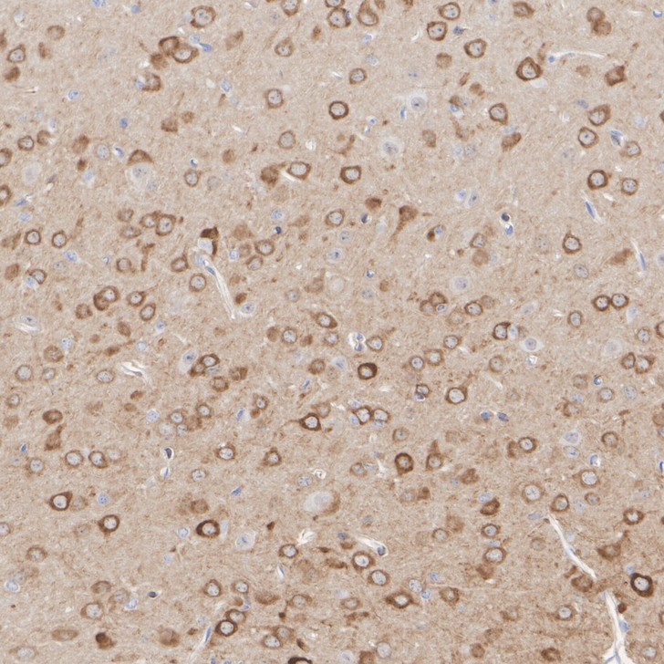
HA601456_3.jpg Fig3: Immunohistochemical analysis of paraffin-embedded rat brain tissue with Mouse anti-IP3 receptor antibody (HA601456) at 1/1,000 dilution.

The section was pre-treated using heat mediated antigen retrieval with Tris-EDTA buffer (pH 9.0) for 20 minutes. The tissues were blocked in 1% BSA for 20 minutes at room temperature, washed with ddH2O and PBS, and then probed with the primary antibody (HA601456) at 1/1,000 dilution for 1 hour at room temperature. The detection was performed using an HRP conjugated compact polymer system. DAB was used as the chromogen. Tissues were counterstained with hematoxylin and mounted with DPX.
Note: All products are “FOR RESEARCH USE ONLY AND ARE NOT INTENDED FOR DIAGNOSTIC OR THERAPEUTIC USE”.