MAP2 Recombinant Antibody [PSH08-73] - Rat IgG1 (Chimeric)
cat.: HA601459
Product Type: Recombinant Chimeric Antibody, primary antibodies
Species reactivity: Human, Mouse, Rat
Applications: IHC-Fr, IHC-P, WB, IF-Cell
Clone number: PSH08-73
Form: Liquid
Storage condition: Shipped at 4℃. Store at +4℃ short term (1-2 weeks). It is recommended to aliquot into single-use upon delivery. Store at -20℃ long term.
Storage buffer: PBS (pH7.4), 0.1% BSA, 40% Glycerol. Preservative: 0.05% Sodium Azide.
Concentration: 1ug/ul
Purification: Protein A affinity purified.
Molecular weight: Predicted band size: 200 kDa
Immunogen: Recombinant protein within human MAP2 aa 1-600.
Positive control: Mouse brain tissue, rat brain tissue, Mouse brain tissue lysate, Rat brain tissue lysate, mouse primary neuronal cells.
Subcellular location: Cytoplasm, cytoskeleton, Cell projection, dendrite.
Recommended Dilutions:
  IHC-Fr
  IHC-P
  WB
  IF-Cell

1:500
1:5,000
1:10,000
1:200
Uniprot #: SwissProt: P11137 Human | P20357 Mouse | P15146 Rat
Alternative names: DKFZp686I2148 MAP 2 MAP dendrite specific MAP-2 MAP2 MAP2A MAP2B MAP2C Microtubule associated protein 2 Microtubule-associated protein 2 MTAP2_HUMAN
Images
HA601459_1.jpg Fig1: Application: IHC-Fr

Species: Mouse

Site: brain

Sample: Frozen section

Antibody concentration: 1/500

Antigen retrieval: Not required
HA601459_2.jpg Fig2: Application: IHC-Fr

Species: Rat

Site: brain

Sample: Frozen section

Antibody concentration: 1/500

Antigen retrieval: Not required
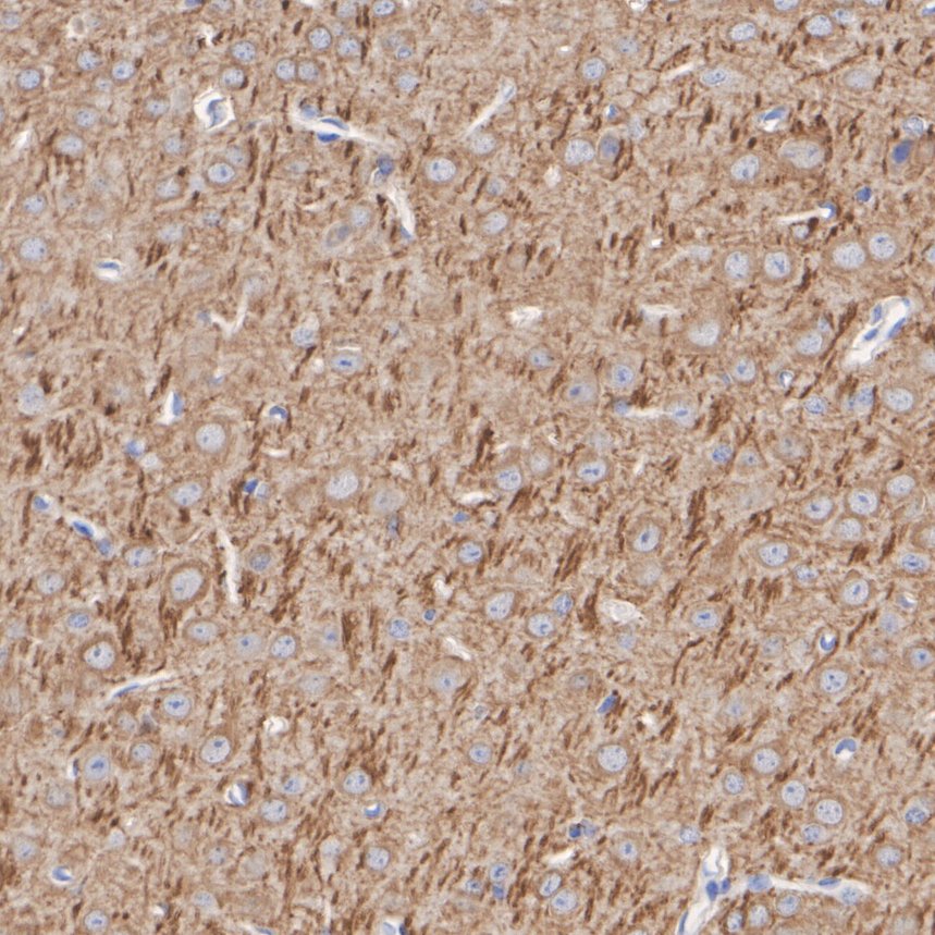
HA601459_3.jpg Fig3: Immunohistochemical analysis of paraffin-embedded mouse brain tissue with Rat anti-MAP2 antibody (HA601459) at 1/5,000 dilution.

The section was pre-treated using heat mediated antigen retrieval with Tris-EDTA buffer (pH 9.0) for 20 minutes. The tissues were blocked in 1% BSA for 20 minutes at room temperature, washed with ddH2O and PBS, and then probed with the primary antibody (HA601459) at 1/5,000 dilution for 1 hour at room temperature. The detection was performed using an HRP conjugated compact polymer system. DAB was used as the chromogen. Tissues were counterstained with hematoxylin and mounted with DPX.
HA601459_4.jpg Fig4: Immunohistochemical analysis of paraffin-embedded rat brain tissue with Rat anti-MAP2 antibody (HA601459) at 1/5,000 dilution.

The section was pre-treated using heat mediated antigen retrieval with Tris-EDTA buffer (pH 9.0) for 20 minutes. The tissues were blocked in 1% BSA for 20 minutes at room temperature, washed with ddH2O and PBS, and then probed with the primary antibody (HA601459) at 1/5,000 dilution for 1 hour at room temperature. The detection was performed using an HRP conjugated compact polymer system. DAB was used as the chromogen. Tissues were counterstained with hematoxylin and mounted with DPX.
HA601459_5.jpg Fig5: Western blot analysis of MAP2 on different lysates with Rat anti-MAP2 antibody (HA601459) at 1/10,000 dilution.

Lane 1: Mouse brain tissue lysate
Lane 2: Mouse kidney tissue lysate (negative)
Lane 3: Rat brain tissue lysate

Lysates/proteins at 20 µg/Lane.

Predicted band size: 200 kDa
Observed band size: 150-300 kDa

Exposure time: 42 seconds; ECL: K1801;

4-20% SDS-PAGE gel.

Proteins were transferred to a PVDF membrane and blocked with 5% NFDM/TBST for 1 hour at room temperature. The primary antibody (HA601459) at 1/10,000 dilution was used in primary antibody dilution (K1803) at 4℃ overnight. Goat Anti-Rat IgG H&L - HRP Secondary Antibody (HA1023) at 1/50,000 dilution was used for 1 hour at room temperature.
HA601459_6.jpg Fig6: Immunocytochemistry analysis of mouse primary neuronal cells labeling MAP2 with Rat anti-MAP2 antibody (HA601459) at 1/200 dilution.

Cells were fixed in 4% paraformaldehyde for 15 minutes at room temperature, permeabilized with 0.1% Triton X-100 in PBS for 15 minutes at room temperature, then blocked with 1% BSA in 10% negative goat serum for 1 hour at room temperature. Cells were then incubated with Rat anti-MAP2 antibody (HA601459) at 1/200 dilution in 1% BSA in PBST overnight at 4 ℃. Goat Anti-Rat IgG H&L (iFluor™ 488, HA1133) was used as the secondary antibody at 1/1,000 dilution. PBS instead of the primary antibody was used as the secondary antibody only control. Nuclear DNA was labelled in blue with DAPI.

Beta tubulin (HA601187, red) was stained at 1/100 dilution overnight at +4℃. Goat Anti-Mouse IgG H&L (iFluor™ 594, HA1126) was used as the secondary antibody at 1/1,000 dilution.
Note: All products are “FOR RESEARCH USE ONLY AND ARE NOT INTENDED FOR DIAGNOSTIC OR THERAPEUTIC USE”.