Aquaporin 4 Recombinant Antibody [PSH06-38] - Rat IgG1 (Chimeric)
cat.: HA601462
Product Type: Recombinant Chimeric Antibody, primary antibodies
Species reactivity: Human, Mouse, Rat
Applications: IHC-Fr, IHC-P, WB
Clone number: PSH06-38
Form: Liquid
Storage condition: Shipped at 4℃. Store at +4℃ short term (1-2 weeks). It is recommended to aliquot into single-use upon delivery. Store at -20℃ long term.
Storage buffer: PBS (pH7.4), 0.1% BSA, 40% Glycerol. Preservative: 0.05% Sodium Azide.
Concentration: 1ug/ul
Purification: Protein A affinity purified.
Molecular weight: Predicted band size: 35 kDa
Immunogen: Recombinant protein within human 224-323.
Positive control: Human brain tissue, human kidney tissue, mouse brain tissue, mouse kidney tissue, rat brain tissue, rat kidney tissue, Mouse brain tissue lysate.
Subcellular location: Cell membrane, Basolateral cell membrane, Endosome membrane, Cell membrane, sarcolemma, Cell projection.
Recommended Dilutions:
  IHC-Fr
  IHC-P
  WB

1:500
1:1,000
1:2,000
Uniprot #: SwissProt: P55087 Human | P55088 Mouse | P47863 Rat
Alternative names: AQP 4 AQP-4 AQP4 AQP4_HUMAN Aquaporin type 4 Aquaporin-4 Aquaporin4 HMIWC 2 HMIWC2 Mercurial insensitive water channel Mercurial-insensitive water channel MGC22454 MIWC WCH 4 WCH4
Images
HA601462_1.jpg Fig1: Application: IHC-Fr

Species: Mouse

Site: brain

Sample: Frozen section

Antibody concentration: 1/500

Antigen retrieval: Not required
HA601462_2.jpg Fig2: Immunohistochemical analysis of paraffin-embedded human brain tissue with Rat anti-Aquaporin 4 antibody (HA601462) at 1/1,000 dilution.

The section was pre-treated using heat mediated antigen retrieval with Tris-EDTA buffer (pH 9.0) for 20 minutes. The tissues were blocked in 1% BSA for 20 minutes at room temperature, washed with ddH2O and PBS, and then probed with the primary antibody (HA601462) at 1/1,000 dilution for 1 hour at room temperature. The detection was performed using an HRP conjugated compact polymer system. DAB was used as the chromogen. Tissues were counterstained with hematoxylin and mounted with DPX.
HA601462_3.jpg Fig3: Immunohistochemical analysis of paraffin-embedded human kidney tissue with Rat anti-Aquaporin 4 antibody (HA601462) at 1/1,000 dilution.

The section was pre-treated using heat mediated antigen retrieval with Tris-EDTA buffer (pH 9.0) for 20 minutes. The tissues were blocked in 1% BSA for 20 minutes at room temperature, washed with ddH2O and PBS, and then probed with the primary antibody (HA601462) at 1/1,000 dilution for 1 hour at room temperature. The detection was performed using an HRP conjugated compact polymer system. DAB was used as the chromogen. Tissues were counterstained with hematoxylin and mounted with DPX.
HA601462_4.jpg Fig4: Immunohistochemical analysis of paraffin-embedded mouse brain tissue with Rat anti-Aquaporin 4 antibody (HA601462) at 1/1,000 dilution.

The section was pre-treated using heat mediated antigen retrieval with Tris-EDTA buffer (pH 9.0) for 20 minutes. The tissues were blocked in 1% BSA for 20 minutes at room temperature, washed with ddH2O and PBS, and then probed with the primary antibody (HA601462) at 1/1,000 dilution for 1 hour at room temperature. The detection was performed using an HRP conjugated compact polymer system. DAB was used as the chromogen. Tissues were counterstained with hematoxylin and mounted with DPX.
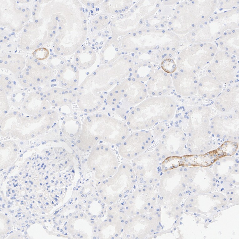
HA601462_5.jpg Fig5: Immunohistochemical analysis of paraffin-embedded mouse kidney tissue with Rat anti-Aquaporin 4 antibody (HA601462) at 1/1,000 dilution.

The section was pre-treated using heat mediated antigen retrieval with Tris-EDTA buffer (pH 9.0) for 20 minutes. The tissues were blocked in 1% BSA for 20 minutes at room temperature, washed with ddH2O and PBS, and then probed with the primary antibody (HA601462) at 1/1,000 dilution for 1 hour at room temperature. The detection was performed using an HRP conjugated compact polymer system. DAB was used as the chromogen. Tissues were counterstained with hematoxylin and mounted with DPX.
HA601462_6.jpg Fig6: Immunohistochemical analysis of paraffin-embedded rat brain tissue with Rat anti-Aquaporin 4 antibody (HA601462) at 1/1,000 dilution.

The section was pre-treated using heat mediated antigen retrieval with Tris-EDTA buffer (pH 9.0) for 20 minutes. The tissues were blocked in 1% BSA for 20 minutes at room temperature, washed with ddH2O and PBS, and then probed with the primary antibody (HA601462) at 1/1,000 dilution for 1 hour at room temperature. The detection was performed using an HRP conjugated compact polymer system. DAB was used as the chromogen. Tissues were counterstained with hematoxylin and mounted with DPX.
HA601462_7.jpg Fig7: Immunohistochemical analysis of paraffin-embedded rat kidney tissue with Rat anti-Aquaporin 4 antibody (HA601462) at 1/1,000 dilution.

The section was pre-treated using heat mediated antigen retrieval with Tris-EDTA buffer (pH 9.0) for 20 minutes. The tissues were blocked in 1% BSA for 20 minutes at room temperature, washed with ddH2O and PBS, and then probed with the primary antibody (HA601462) at 1/1,000 dilution for 1 hour at room temperature. The detection was performed using an HRP conjugated compact polymer system. DAB was used as the chromogen. Tissues were counterstained with hematoxylin and mounted with DPX.
HA601462_8.jpg Fig8: Western blot analysis of Aquaporin 4 on different lysates with Rat anti-Aquaporin 4 antibody (HA601462) at 1/2,000 dilution.

Lane 1: Mouse brain tissue lysate
Lane 2: Mouse liver tissue lysate (negative)

Lysates/proteins at 20 µg/Lane.

Predicted band size: 35 kDa
Observed band size: 30 kDa

Exposure time: 1 minute; ECL: K1801;

4-20% SDS-PAGE gel.

Proteins were transferred to a PVDF membrane and blocked with 5% NFDM/TBST for 1 hour at room temperature. The primary antibody (HA601462) at 1/2,000 dilution was used in primary antibody dilution (K1803) at 4℃ overnight. Goat Anti-Rat IgG H&L - HRP Secondary Antibody (HA1023) at 1/50,000 dilution was used for 1 hour at room temperature.
Note: All products are “FOR RESEARCH USE ONLY AND ARE NOT INTENDED FOR DIAGNOSTIC OR THERAPEUTIC USE”.