N Cadherin Recombinant Antibody [SY02-46] - Mouse IgG1 (Chimeric)
cat.: HA601464
Product Type: Recombinant Chimeric Antibody, primary antibodies
Species reactivity: Human, Mouse, Rat
Applications: IHC-Fr, IHC-P
Clone number: SY02-46
Form: Liquid
Storage condition: Shipped at 4℃. Store at +4℃ short term (1-2 weeks). It is recommended to aliquot into single-use upon delivery. Store at -20℃ long term.
Storage buffer: PBS (pH7.4), 0.1% BSA, 40% Glycerol. Preservative: 0.05% Sodium Azide.
Concentration: 1ug/ul
Purification: Protein A affinity purified.
Molecular weight: Predicted band size: 100 kDa
Immunogen: Synthetic peptide within Human N Cadherin aa 161-210 / 906.
Positive control: Human liver tissue, mouse liver tissue, rat liver tissue.
Subcellular location: Cell membrane.
Recommended Dilutions:
  IHC-Fr
  IHC-P

1:500
1:5,000
Uniprot #: SwissProt: P19022 Human | P15116 Mouse | Q9Z1Y3 Rat
Alternative names: CADH2_HUMAN Cadherin 2 Cadherin 2 N cadherin neuronal Cadherin 2 type 1 Cadherin 2 type 1 N cadherin neuronal Cadherin 2, type 1, N-cadherin (neuronal) Cadherin-2 Cadherin2 Calcium dependent adhesion protein neuronal CD325 CD325 antigen CDH2 CDHN CDw325 CDw325 antigen N cadherin 1 N-cadherin NCAD Neural cadherin OTTHUMP00000066304 OTTHUMP00000067378
Images
HA601464_1.jpg Fig1: Application: IHC-Fr

Species: Mouse

Site: liver

Sample: Frozen section

Antibody concentration: 1/500

Antigen retrieval: Not required
HA601464_2.jpg Fig2: Application: IHC-Fr

Species: Rat

Site: liver

Sample: Frozen section

Antibody concentration: 1/500

Antigen retrieval: Not required
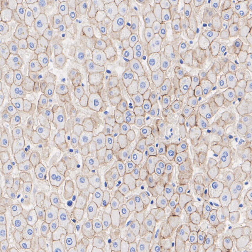
HA601464_3.jpg Fig3: Immunohistochemical analysis of paraffin-embedded human liver tissue with Mouse anti-N Cadherin antibody (HA601464) at 1/5,000 dilution.

The section was pre-treated using heat mediated antigen retrieval with Tris-EDTA buffer (pH 9.0) for 20 minutes. The tissues were blocked in 1% BSA for 20 minutes at room temperature, washed with ddH2O and PBS, and then probed with the primary antibody (HA601464) at 1/5,000 dilution for 1 hour at room temperature. The detection was performed using an HRP conjugated compact polymer system. DAB was used as the chromogen. Tissues were counterstained with hematoxylin and mounted with DPX.
HA601464_4.jpg Fig4: Immunohistochemical analysis of paraffin-embedded mouse liver tissue with Mouse anti-N Cadherin antibody (HA601464) at 1/5,000 dilution.

The section was pre-treated using heat mediated antigen retrieval with Tris-EDTA buffer (pH 9.0) for 20 minutes. The tissues were blocked in 1% BSA for 20 minutes at room temperature, washed with ddH2O and PBS, and then probed with the primary antibody (HA601464) at 1/5,000 dilution for 1 hour at room temperature. The detection was performed using an HRP conjugated compact polymer system. DAB was used as the chromogen. Tissues were counterstained with hematoxylin and mounted with DPX.
HA601464_5.jpg Fig5: Immunohistochemical analysis of paraffin-embedded rat liver tissue with Mouse anti-N Cadherin antibody (HA601464) at 1/5,000 dilution.

The section was pre-treated using heat mediated antigen retrieval with Tris-EDTA buffer (pH 9.0) for 20 minutes. The tissues were blocked in 1% BSA for 20 minutes at room temperature, washed with ddH2O and PBS, and then probed with the primary antibody (HA601464) at 1/5,000 dilution for 1 hour at room temperature. The detection was performed using an HRP conjugated compact polymer system. DAB was used as the chromogen. Tissues were counterstained with hematoxylin and mounted with DPX.
Note: All products are “FOR RESEARCH USE ONLY AND ARE NOT INTENDED FOR DIAGNOSTIC OR THERAPEUTIC USE”.