Myelin PLP Recombinant Antibody [PSH08-21] - Mouse IgG1 (Chimeric)
cat.: HA601470
Product Type: Recombinant Chimeric Antibody, primary antibodies
Species reactivity: Human, Mouse, Rat
Applications: IHC-Fr, IHC-P, WB
Clone number: PSH08-21
Form: Liquid
Storage condition: Shipped at 4℃. Store at +4℃ short term (1-2 weeks). It is recommended to aliquot into single-use upon delivery. Store at -20℃ long term.
Storage buffer: PBS (pH7.4), 0.1% BSA, 40% Glycerol. Preservative: 0.05% Sodium Azide.
Concentration: 1ug/ul
Purification: Protein A affinity purified.
Molecular weight: Predicted band size: 30 kDa
Immunogen: Recombinant protein within human Myelin PLP aa 1-233.
Positive control: Human brain tissue, mouse brain tissue, rat brain tissue, Mouse brain tissue lysate, Rat brain tissue lysate.
Subcellular location: Cell membrane, Myelin membrane.
Recommended Dilutions:
  IHC-Fr
  IHC-P
  WB

1:500
1:2,000
1:5,000
Uniprot #: SwissProt: P60201 Human | P60202 Mouse | P60203 Rat
Alternative names: HLD1 Lipophilin Major myelin proteolipid protein MMPL Myelin proteolipid protein MYPR_HUMAN PLP 1 PLP PLP/DM20 PLP1 PMD Proteolipid protein 1 SPG2
Images
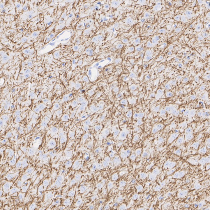
HA601470_1.jpg Fig1: Application: IHC-Fr

Species: Mouse

Site: brain

Sample: Frozen section

Antibody concentration: 1/500

Antigen retrieval: Not required
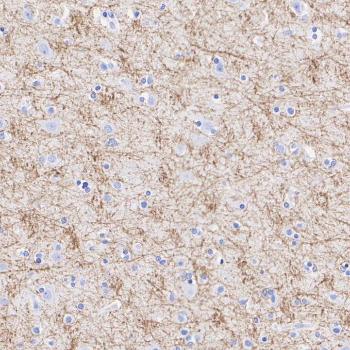
HA601470_2.jpg Fig2: Immunohistochemical analysis of paraffin-embedded human brain tissue with Mouse anti-Myelin PLP antibody (HA601470) at 1/2,000 dilution.

The section was pre-treated using heat mediated antigen retrieval with Tris-EDTA buffer (pH 9.0) for 20 minutes. The tissues were blocked in 1% BSA for 20 minutes at room temperature, washed with ddH2O and PBS, and then probed with the primary antibody (HA601470) at 1/2,000 dilution for 1 hour at room temperature. The detection was performed using an HRP conjugated compact polymer system. DAB was used as the chromogen. Tissues were counterstained with hematoxylin and mounted with DPX.
HA601470_3.jpg Fig3: Immunohistochemical analysis of paraffin-embedded mouse brain tissue with Mouse anti-Myelin PLP antibody (HA601470) at 1/2,000 dilution.

The section was pre-treated using heat mediated antigen retrieval with Tris-EDTA buffer (pH 9.0) for 20 minutes. The tissues were blocked in 1% BSA for 20 minutes at room temperature, washed with ddH2O and PBS, and then probed with the primary antibody (HA601470) at 1/2,000 dilution for 1 hour at room temperature. The detection was performed using an HRP conjugated compact polymer system. DAB was used as the chromogen. Tissues were counterstained with hematoxylin and mounted with DPX.
HA601470_4.jpg Fig4: Immunohistochemical analysis of paraffin-embedded rat brain tissue with Mouse anti-Myelin PLP antibody (HA601470) at 1/2,000 dilution.

The section was pre-treated using heat mediated antigen retrieval with Tris-EDTA buffer (pH 9.0) for 20 minutes. The tissues were blocked in 1% BSA for 20 minutes at room temperature, washed with ddH2O and PBS, and then probed with the primary antibody (HA601470) at 1/2,000 dilution for 1 hour at room temperature. The detection was performed using an HRP conjugated compact polymer system. DAB was used as the chromogen. Tissues were counterstained with hematoxylin and mounted with DPX.
HA601470_5.jpg Fig5: Western blot analysis of Myelin PLP on different lysates with Mouse anti-Myelin PLP antibody (HA601470) at 1/5,000 dilution.

Lane 1: Mouse brain tissue lysate (no heat) (20 µg/Lane)
Lane 2: Mouse liver tissue lysate (negative) (20 µg/Lane)
Lane 3: Rat brain tissue lysate (no heat) (20 µg/Lane)
Lane 4: Rat liver tissue lysate (negative) (20 µg/Lane)

Notice: no heat means the lysate is not boiled.

Predicted band size: 30 kDa
Observed band size: 25/20 kDa
Exposure time: 10 seconds; ECL: K1801;
4-20% SDS-PAGE gel.

Proteins were transferred to a PVDF membrane and blocked with 5% NFDM/TBST for 1 hour at room temperature. The primary antibody (HA601470) at 1/5,000 dilution was used in primary antibody dilution (K1803) at 4℃ overnight. Goat Anti-Mouse IgG - HRP Secondary Antibody (HA1006) at 1/50,000 dilution was used for 1 hour at room temperature.
Note: All products are “FOR RESEARCH USE ONLY AND ARE NOT INTENDED FOR DIAGNOSTIC OR THERAPEUTIC USE”.