Dopamine Transporter Recombinant Antibody [PSH10-49] - Mouse IgG1 (Chimeric)
cat.: HA601476
Product Type: Recombinant Chimeric Antibody, primary antibodies
Species reactivity: Mouse, Rat
Applications: IHC-Fr, IHC-P
Clone number: PSH10-49
Form: Liquid
Storage condition: Shipped at 4℃. Store at +4℃ short term (1-2 weeks). It is recommended to aliquot into single-use upon delivery. Store at -20℃ long term.
Storage buffer: PBS (pH7.4), 0.1% BSA, 40% Glycerol. Preservative: 0.05% Sodium Azide.
Concentration: 1ug/ul
Purification: Protein A affinity purified.
Molecular weight: Predicted band size: 69 kDa.
Immunogen: Recombinant protein.
Positive control: Mouse brain (striatum) tissue, rat brain (striatum) tissue.
Subcellular location: Cell membrane.
Recommended Dilutions:
  IHC-Fr
  IHC-P

1:500
1:1,000
Uniprot #: SwissProt: Q61327 Mouse | P23977 Rat
Alternative names: DA transporter DAT 1 DAT DAT1 Dopamine transporter 1 Dopamine transporter PKDYS SC6A3_HUMAN SLC6A3 Sodium dependent dopamine transporter Sodium-dependent dopamine transporter Solute carrier family 6 (neurotransmitter transporter dopamine), member 3 Solute carrier family 6 (neurotransmitter transporter), member 3 Solute carrier family 6 member 3 Variable number tandem repeat (VNTR)
Images
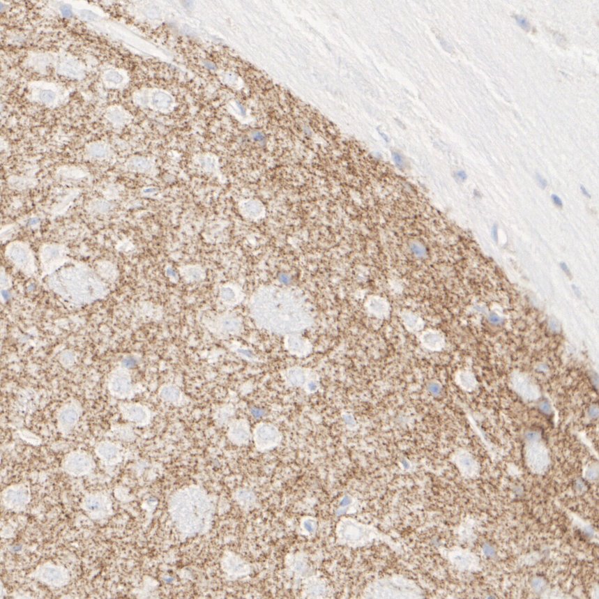
HA601476_1.jpg Fig1: Application: IHC-Fr

Species: Mouse

Site: brain (striatum)

Sample: Frozen section

Antibody concentration: 1/500

Antigen retrieval: Not required
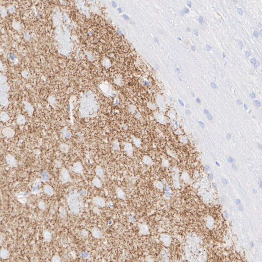
HA601476_2.jpg Fig2: Immunohistochemical analysis of paraffin-embedded mouse brain (striatum) tissue with Mouse anti-Dopamine Transporter antibody (HA601476) at 1/1,000 dilution.

The section was pre-treated using heat mediated antigen retrieval with Tris-EDTA buffer (pH 9.0) for 20 minutes. The tissues were blocked in 1% BSA for 20 minutes at room temperature, washed with ddH2O and PBS, and then probed with the primary antibody (HA601476) at 1/1,000 dilution for 1 hour at room temperature. The detection was performed using an HRP conjugated compact polymer system. DAB was used as the chromogen. Tissues were counterstained with hematoxylin and mounted with DPX.
HA601476_3.jpg Fig3: Immunohistochemical analysis of paraffin-embedded rat brain (striatum) tissue with Mouse anti-Dopamine Transporter antibody (HA601476) at 1/1,000 dilution.

The section was pre-treated using heat mediated antigen retrieval with Tris-EDTA buffer (pH 9.0) for 20 minutes. The tissues were blocked in 1% BSA for 20 minutes at room temperature, washed with ddH2O and PBS, and then probed with the primary antibody (HA601476) at 1/1,000 dilution for 1 hour at room temperature. The detection was performed using an HRP conjugated compact polymer system. DAB was used as the chromogen. Tissues were counterstained with hematoxylin and mounted with DPX.
Note: All products are “FOR RESEARCH USE ONLY AND ARE NOT INTENDED FOR DIAGNOSTIC OR THERAPEUTIC USE”.