NeuN Recombinant Antibody [SR45-07] - Mouse IgG1 (Chimeric)
cat.: HA601482
Product Type: Recombinant Chimeric Antibody, primary antibodies
Species reactivity: Human, Mouse, Rat
Applications: IHC-Fr, IHC-P, WB
Clone number: SR45-07
Form: Liquid
Storage condition: Shipped at 4℃. Store at +4℃ short term (1-2 weeks). It is recommended to aliquot into single-use upon delivery. Store at -20℃ long term.
Storage buffer: PBS (pH7.4), 0.1% BSA, 40% Glycerol. Preservative: 0.05% Sodium Azide.
Concentration: 1ug/ul
Purification: Protein A affinity purified.
Molecular weight: Predicted band size: 34 kDa
Immunogen: Synthetic peptide within human NeuN aa 20-60.
Positive control: Human brain tissue, mouse brain tissue, rat brain tissue, Mouse brain tissue lysate, Rat brain tissue lysate.
Subcellular location: Nucleus, Cytoplasm.
Recommended Dilutions:
  IHC-Fr
  IHC-P
  WB

1:1,000
1:5,000
1:10,000
Uniprot #: SwissProt: A6NFN3 Human | Q8BIF2 Mouse
Unigene: 143966 Rat
Alternative names: FLJ56884 FLJ58356 Fox-1 homolog C fox1 homolog C Fox3 FOX3NeuN hexaribonucleotide binding protein 3 HRNBP3 NEUN neuronal nuclei Rbfox3 RFOX3_HUMAN RNA binding protein fox-1 homolog 3 RNA binding protein, fox 1 homolog (C. elegans) 3
Images
HA601482_1.jpg Fig1: Application: IHC-Fr

Species: Mouse

Site: brain

Sample: Frozen section

Antibody concentration: 1/1,000 (NeuN, HA601482, Mouse, green); 1/200 (QKI-6, HA601502, Guinea pig, red)

Antigen retrieval: Not required
HA601482_2.jpg Fig2: Immunohistochemical analysis of paraffin-embedded human brain tissue with Mouse anti-NeuN antibody (HA601482) at 1/5,000 dilution.

The section was pre-treated using heat mediated antigen retrieval with Tris-EDTA buffer (pH 9.0) for 20 minutes. The tissues were blocked in 1% BSA for 20 minutes at room temperature, washed with ddH2O and PBS, and then probed with the primary antibody (HA601482) at 1/5,000 dilution for 1 hour at room temperature. The detection was performed using an HRP conjugated compact polymer system. DAB was used as the chromogen. Tissues were counterstained with hematoxylin and mounted with DPX.
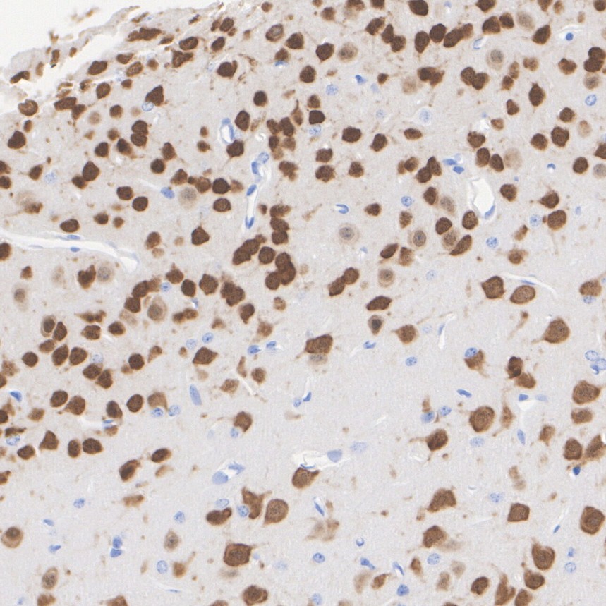
HA601482_3.jpg Fig3: Immunohistochemical analysis of paraffin-embedded mouse brain tissue with Mouse anti-NeuN antibody (HA601482) at 1/5,000 dilution.

The section was pre-treated using heat mediated antigen retrieval with Tris-EDTA buffer (pH 9.0) for 20 minutes. The tissues were blocked in 1% BSA for 20 minutes at room temperature, washed with ddH2O and PBS, and then probed with the primary antibody (HA601482) at 1/5,000 dilution for 1 hour at room temperature. The detection was performed using an HRP conjugated compact polymer system. DAB was used as the chromogen. Tissues were counterstained with hematoxylin and mounted with DPX.
HA601482_4.jpg Fig4: Immunohistochemical analysis of paraffin-embedded rat brain tissue with Mouse anti-NeuN antibody (HA601482) at 1/5,000 dilution.

The section was pre-treated using heat mediated antigen retrieval with Tris-EDTA buffer (pH 9.0) for 20 minutes. The tissues were blocked in 1% BSA for 20 minutes at room temperature, washed with ddH2O and PBS, and then probed with the primary antibody (HA601482) at 1/5,000 dilution for 1 hour at room temperature. The detection was performed using an HRP conjugated compact polymer system. DAB was used as the chromogen. Tissues were counterstained with hematoxylin and mounted with DPX.
HA601482_5.jpg Fig5: Western blot analysis of NeuN on different lysates with Mouse anti-NeuN antibody (HA601482) at 1/10,000 dilution.

Lane 1: Mouse brain tissue lysate
Lane 2: C2C12 cell lysate (negative)
Lane 3: Rat brain tissue lysate

Lysates/proteins at 15 µg/Lane.

Predicted band size: 34 kDa
Observed band size: 45/50 kDa

Exposure time: 20 seconds; ECL: K1801;

4-20% SDS-PAGE gel.

Proteins were transferred to a PVDF membrane and blocked with 5% NFDM/TBST for 1 hour at room temperature. The primary antibody (HA601482) at 1/10,000 dilution was used in primary antibody dilution (K1803) at 4℃ overnight. Goat Anti-Mouse IgG - HRP Secondary Antibody (HA1006) at 1/50,000 dilution was used for 1 hour at room temperature.
Note: All products are “FOR RESEARCH USE ONLY AND ARE NOT INTENDED FOR DIAGNOSTIC OR THERAPEUTIC USE”.