Doublecortin Recombinant Antibody [JJ0959] - Mouse IgG1 (Chimeric)
cat.: HA601497
Product Type: Recombinant Chimeric Antibody, primary antibodies
Species reactivity: Human, Mouse, Rat
Applications: IHC-Fr, IHC-P, WB
Clone number: JJ0959
Form: Liquid
Storage condition: Shipped at 4℃. Store at +4℃ short term (1-2 weeks). It is recommended to aliquot into single-use upon delivery. Store at -20℃ long term.
Storage buffer: PBS (pH7.4), 0.1% BSA, 40% Glycerol. Preservative: 0.05% Sodium Azide.
Concentration: 1ug/ul
Purification: Protein A affinity purified.
Molecular weight: Predicted band size: 41 kDa
Immunogen: Synthetic peptide within Human Doublecortin aa 22-71 / 365.
Positive control: Mouse hippocampus tissue, rat hippocampus tissue, SH-SY5Y cell lysate, Mouse brain (P0) tissue lysate, Mouse brain (P60) tissue lysate.
Subcellular location: Cytoplasm, Cell projection, neuron projection.
Recommended Dilutions:
  IHC-Fr
  IHC-P
  WB

1:500
1:1,000
1:10,000
Uniprot #: SwissProt: O43602 Human | O88809 Mouse | Q9ESI7 Rat
Alternative names: DBCN Dbct DC DCX DCX_HUMAN Doublecortex Doublin FLJ51296 Lis X Lis-X Lissencephalin X Lissencephalin-X Lissencephaly X linked Lissencephaly X linked doublecortin LISX Neuronal migration protein doublecortin OTTHUMP00000023859 OTTHUMP00000023860 OTTHUMP00000216315 OTTHUMP00000216316 SCLH XLIS
Images
HA601497_1.jpg Fig1: Application: IHC-Fr

Species: Mouse

Site: hippocampus

Sample: Frozen section

Antibody concentration: 1/500

Antigen retrieval: Not required
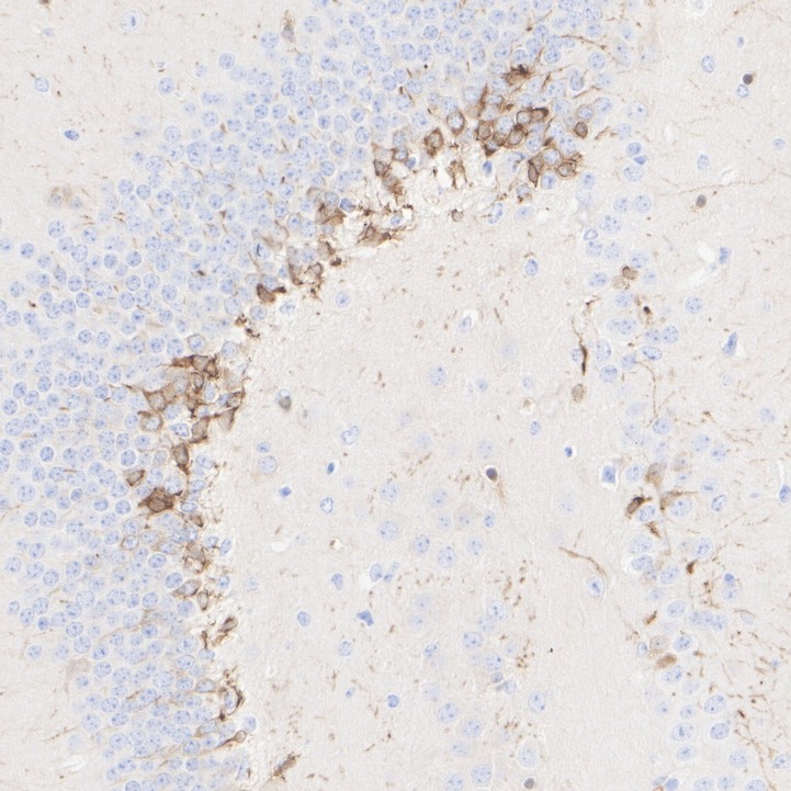
HA601497_2.jpg Fig2: Immunohistochemical analysis of paraffin-embedded mouse hippocampus tissue with Mouse anti-Doublecortin antibody (HA601497) at 1/1,000 dilution.

The section was pre-treated using heat mediated antigen retrieval with Tris-EDTA buffer (pH 9.0) for 20 minutes. The tissues were blocked in 1% BSA for 20 minutes at room temperature, washed with ddH2O and PBS, and then probed with the primary antibody (HA601497) at 1/1,000 dilution for 1 hour at room temperature. The detection was performed using an HRP conjugated compact polymer system. DAB was used as the chromogen. Tissues were counterstained with hematoxylin and mounted with DPX.
HA601497_3.jpg Fig3: Immunohistochemical analysis of paraffin-embedded rat hippocampus tissue with Mouse anti-Doublecortin antibody (HA601497) at 1/1,000 dilution.

The section was pre-treated using heat mediated antigen retrieval with Tris-EDTA buffer (pH 9.0) for 20 minutes. The tissues were blocked in 1% BSA for 20 minutes at room temperature, washed with ddH2O and PBS, and then probed with the primary antibody (HA601497) at 1/1,000 dilution for 1 hour at room temperature. The detection was performed using an HRP conjugated compact polymer system. DAB was used as the chromogen. Tissues were counterstained with hematoxylin and mounted with DPX.
HA601497_4.jpg Fig4: Western blot analysis of Doublecortin on different lysates with Mouse anti-Doublecortin antibody (HA601497) at 1/10,000 dilution.

Lane 1: SH-SY5Y cell lysate (15 µg/Lane)
Lane 2: A549 cell lysate (negative) (15 µg/Lane)
Lane 3: Mouse brain (P0) tissue lysate (20 µg/Lane)
Lane 4: Mouse brain (P60) tissue lysate (20 µg/Lane)
Lane 5: Mouse brain (P60) tissue lysate (20 µg/Lane)

Predicted band size: 41 kDa
Observed band size: 41/45 kDa

Exposure time: 14 seconds; ECL: K1801;

4-20% SDS-PAGE gel.

Proteins were transferred to a PVDF membrane and blocked with 5% NFDM/TBST for 1 hour at room temperature. The primary antibody (HA601497) at 1/10,000 dilution was used in primary antibody dilution (K1803) at 4℃ overnight. Goat Anti-Mouse IgG - HRP Secondary Antibody (HA1006) at 1/50,000 dilution was used for 1 hour at room temperature.
Note: All products are “FOR RESEARCH USE ONLY AND ARE NOT INTENDED FOR DIAGNOSTIC OR THERAPEUTIC USE”.