SIRT2 Recombinant Antibody [SN70-04] - Rat IgG1 (Chimeric)
cat.: HA601506
Product Type: Recombinant Chimeric Antibody, primary antibodies
Species reactivity: Mouse, Rat
Applications: IHC-Fr, IHC-P, WB
Clone number: SN70-04
Form: Liquid
Storage condition: Shipped at 4℃. Store at +4℃ short term (1-2 weeks). It is recommended to aliquot into single-use upon delivery. Store at -20℃ long term.
Storage buffer: PBS (pH7.4), 0.1% BSA, 40% Glycerol. Preservative: 0.05% Sodium Azide.
Concentration: 1ug/ul
Purification: Protein A affinity purified.
Molecular weight: Predicted band size: 43 kDa
Immunogen: Synthetic peptide within Human SIRT2 aa 335-389 / 389.
Positive control: Mouse brain (striatum) tissue, rat brain (striatum) tissue.
Subcellular location: Nucleus, Cytoplasm, Midbody, Chromosome, Cell projection, Myelin membrane.
Recommended Dilutions:
  IHC-Fr
  IHC-P
  WB

1:500
1:2,000
1:10,000
Uniprot #: SwissProt: Q8VDQ8 Mouse | Q5RJQ4 Rat
Alternative names: FLJ35621 FLJ37491 NAD dependent deacetylase sirtuin 2 NAD-dependent deacetylase sirtuin-2 NAD-dependent protein deacetylase sirtuin-2 Regulatory protein SIR2 homolog 2 Silencing information regulator 2 like Silent information regulator 2 SIR2 SIR2 like protein 2 Sir2 related protein type 2 SIR2, S. cerevisiae, homolog-loke 2 SIR2-like protein 2 SIR2L SIR2L2 SIRT2 SIRT2_HUMAN Sirtuin (silent mating type information regulation 2 homolog) 2 (S.cerevisiae) Sirtuin 2 Sirtuin type 2
Images
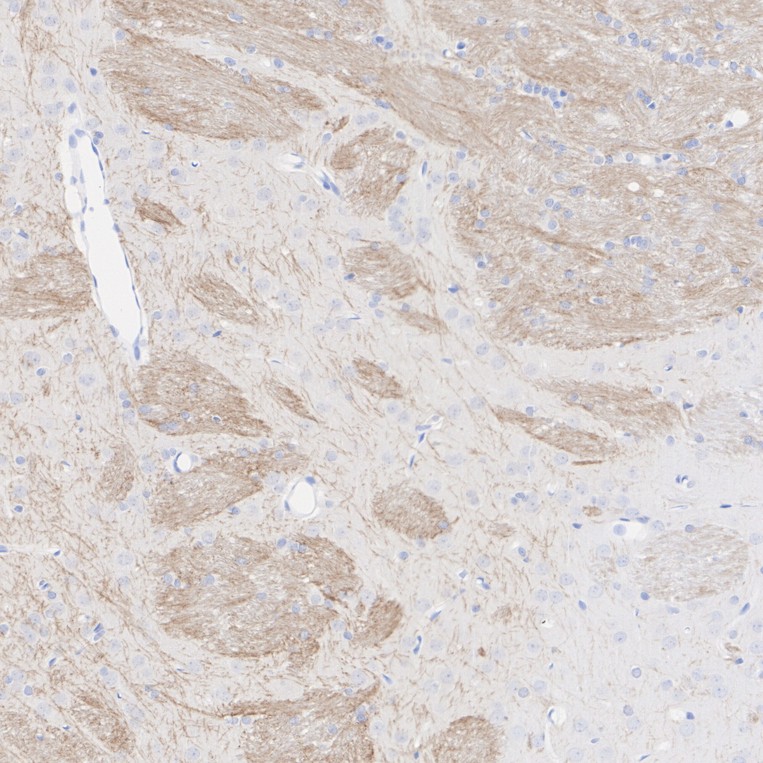
HA601506_1.jpg Fig1: Application: IHC-Fr

Species: Mouse

Site: brain (striatum)

Sample: Frozen section

Antibody concentration: 1/500

Antigen retrieval: Not required
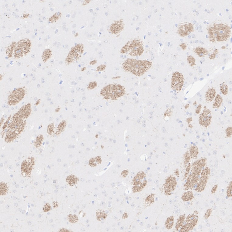
HA601506_2.jpg Fig2: Immunohistochemical analysis of paraffin-embedded mouse brain (striatum) tissue with Rat anti-SIRT2 antibody (HA601506) at 1/2,000 dilution.

The section was pre-treated using heat mediated antigen retrieval with Tris-EDTA buffer (pH 9.0) for 20 minutes. The tissues were blocked in 1% BSA for 20 minutes at room temperature, washed with ddH2O and PBS, and then probed with the primary antibody (HA601506) at 1/2,000 dilution for 1 hour at room temperature. The detection was performed using an HRP conjugated compact polymer system. DAB was used as the chromogen. Tissues were counterstained with hematoxylin and mounted with DPX.
HA601506_3.jpg Fig3: Immunohistochemical analysis of paraffin-embedded rat brain (striatum) tissue with Rat anti-SIRT2 antibody (HA601506) at 1/2,000 dilution.

The section was pre-treated using heat mediated antigen retrieval with Tris-EDTA buffer (pH 9.0) for 20 minutes. The tissues were blocked in 1% BSA for 20 minutes at room temperature, washed with ddH2O and PBS, and then probed with the primary antibody (HA601506) at 1/2,000 dilution for 1 hour at room temperature. The detection was performed using an HRP conjugated compact polymer system. DAB was used as the chromogen. Tissues were counterstained with hematoxylin and mounted with DPX.
Note: All products are “FOR RESEARCH USE ONLY AND ARE NOT INTENDED FOR DIAGNOSTIC OR THERAPEUTIC USE”.