CD163 Recombinant Antibody [JA51-30] - Rat IgG1 (Chimeric)
cat.: HA601549
Product Type: Recombinant Chimeric Antibody, primary antibodies
Species reactivity: Human
Applications: IHC-P, mIHC
Clone number: JA51-30
Form: Liquid
Storage condition: Shipped at 4℃. Store at +4℃ short term (1-2 weeks). It is recommended to aliquot into single-use upon delivery. Store at -20℃ long term.
Storage buffer: PBS (pH7.4), 0.1% BSA, 40% Glycerol. Preservative: 0.05% Sodium Azide.
Concentration: 1ug/ul
Purification: Protein A affinity purified.
Molecular weight: Predicted band size: 125 kDa
Immunogen: Recombinant protein within Human CD163 aa 1012-1149 / 1156.
Positive control: Human liver tissue, human placenta tissue, human spleen tissue, human tonsil tissue.
Subcellular location: Cell membrane; Secreted.
Recommended Dilutions:
  IHC-P
  mIHC

1:1,000
1:200
Uniprot #: SwissProt: Q86VB7 Human
Alternative names: C163A_HUMAN CD 163 CD163 CD163 antigen CD163 molecule Hemoglobin scavenger receptor M130 M130 antigen precursor Macrophage associated antigen MM130 OTTHUMP00000238617 OTTHUMP00000238618 OTTHUMP00000238619 OTTHUMP00000238620 SCARI1 Scavenger receptor cysteine rich type 1 protein M130 sCD163 Soluble CD163
Images
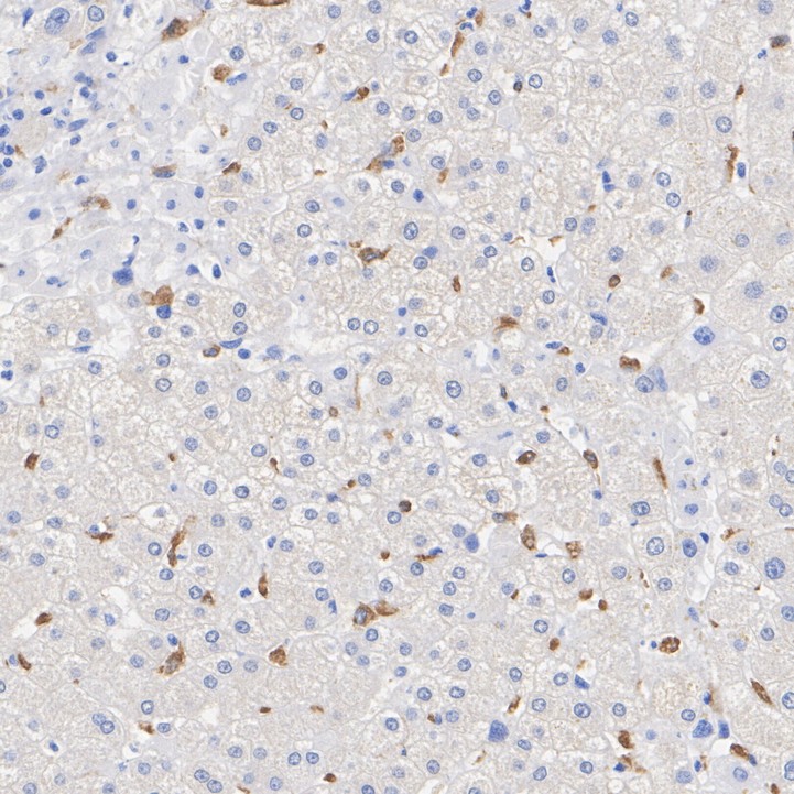
HA601549_1.jpg Fig1: Immunohistochemical analysis of paraffin-embedded human liver tissue with Rat anti-CD163 antibody (HA601549) at 1/1,000 dilution.

The section was pre-treated using heat mediated antigen retrieval with Tris-EDTA buffer (pH 9.0) for 20 minutes. The tissues were blocked in 1% BSA for 20 minutes at room temperature, washed with ddH2O and PBS, and then probed with the primary antibody (HA601549) at 1/1,000 dilution for 1 hour at room temperature. The detection was performed using an HRP conjugated compact polymer system. DAB was used as the chromogen. Tissues were counterstained with hematoxylin and mounted with DPX.
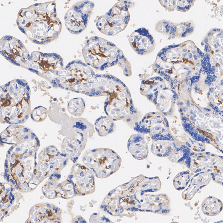
HA601549_2.jpg Fig2: Immunohistochemical analysis of paraffin-embedded human placenta tissue with Rat anti-CD163 antibody (HA601549) at 1/1,000 dilution.

The section was pre-treated using heat mediated antigen retrieval with Tris-EDTA buffer (pH 9.0) for 20 minutes. The tissues were blocked in 1% BSA for 20 minutes at room temperature, washed with ddH2O and PBS, and then probed with the primary antibody (HA601549) at 1/1,000 dilution for 1 hour at room temperature. The detection was performed using an HRP conjugated compact polymer system. DAB was used as the chromogen. Tissues were counterstained with hematoxylin and mounted with DPX.
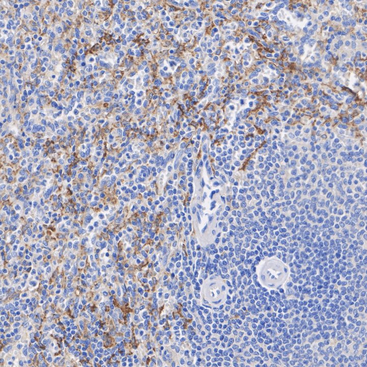
HA601549_3.jpg Fig3: Immunohistochemical analysis of paraffin-embedded human spleen tissue with Rat anti-CD163 antibody (HA601549) at 1/1,000 dilution.

The section was pre-treated using heat mediated antigen retrieval with Tris-EDTA buffer (pH 9.0) for 20 minutes. The tissues were blocked in 1% BSA for 20 minutes at room temperature, washed with ddH2O and PBS, and then probed with the primary antibody (HA601549) at 1/1,000 dilution for 1 hour at room temperature. The detection was performed using an HRP conjugated compact polymer system. DAB was used as the chromogen. Tissues were counterstained with hematoxylin and mounted with DPX.
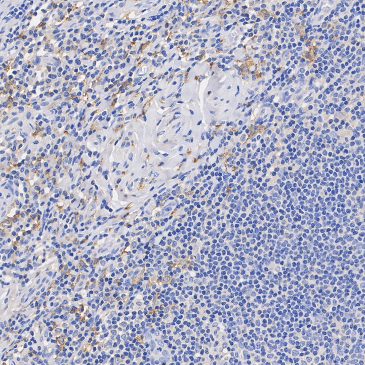
HA601549_4.jpg Fig4: Immunohistochemical analysis of paraffin-embedded human tonsil tissue with Rat anti-CD163 antibody (HA601549) at 1/1,000 dilution.

The section was pre-treated using heat mediated antigen retrieval with Tris-EDTA buffer (pH 9.0) for 20 minutes. The tissues were blocked in 1% BSA for 20 minutes at room temperature, washed with ddH2O and PBS, and then probed with the primary antibody (HA601549) at 1/1,000 dilution for 1 hour at room temperature. The detection was performed using an HRP conjugated compact polymer system. DAB was used as the chromogen. Tissues were counterstained with hematoxylin and mounted with DPX.
Note: All products are “FOR RESEARCH USE ONLY AND ARE NOT INTENDED FOR DIAGNOSTIC OR THERAPEUTIC USE”.