S100 beta Recombinant Antibody [SC57-02] - Rat IgG1 (Chimeric)
cat.: HA601552
Product Type: Recombinant Chimeric Antibody, primary antibodies
Species reactivity: Mouse, Rat
Applications: IHC-Fr, IHC-P
Clone number: SC57-02
Form: Liquid
Storage condition: Shipped at 4℃. Store at +4℃ short term (1-2 weeks). It is recommended to aliquot into single-use upon delivery. Store at -20℃ long term.
Storage buffer: PBS (pH7.4), 0.1% BSA, 40% Glycerol. Preservative: 0.05% Sodium Azide.
Concentration: 1ug/ul
Purification: Protein A affinity purified.
Molecular weight: Predicted band size: 11 kDa
Immunogen: Synthetic peptide within C-terminal human S100 beta.
Positive control: Mouse hippocampus tissue, rat hippocampus tissue.
Subcellular location: Cytoplasm, Nucleus, Secreted.
Recommended Dilutions:
  IHC-Fr
  IHC-P

1:500
1:2,000
Uniprot #: SwissProt: P50114 Mouse | P04631 Rat
Alternative names: NEF Protein S100 B Protein S100-B S 100 calcium binding protein beta chain S 100 protein beta chain S-100 protein beta chain S-100 protein subunit beta S100 S100 calcium binding protein beta (neural) S100 calcium-binding protein B S100 protein beta chain S100B S100B_HUMAN S100beta
Images
HA601552_1.jpg Fig1: Application: IHC-Fr

Species: Mouse

Site: Cerebral cortex

Sample: Frozen section

Antibody concentration: 1/500

Antigen retrieval: Not required
HA601552_2.jpg Fig2: Application: IHC-Fr

Species: Mouse

Site: Cerebral cortex

Sample: Frozen section

Antibody concentration: 1/500 (S100 beta, HA601552, Rat, red); 1/200 (SOX2, HA601499, Chicken, green)

Antigen retrieval: Not required
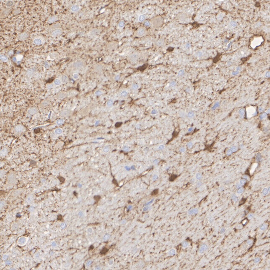
HA601552_3.jpg Fig3: Immunohistochemical analysis of paraffin-embedded mouse hippocampus tissue with Rat anti-S100 beta antibody (HA601552) at 1/2,000 dilution.

The section was pre-treated using heat mediated antigen retrieval with Tris-EDTA buffer (pH 9.0) for 20 minutes. The tissues were blocked in 1% BSA for 20 minutes at room temperature, washed with ddH2O and PBS, and then probed with the primary antibody (HA601552) at 1/2,000 dilution for 1 hour at room temperature. The detection was performed using an HRP conjugated compact polymer system. DAB was used as the chromogen. Tissues were counterstained with hematoxylin and mounted with DPX.
HA601552_4.jpg Fig4: Immunohistochemical analysis of paraffin-embedded rat hippocampus tissue with Rat anti-S100 beta antibody (HA601552) at 1/2,000 dilution.

The section was pre-treated using heat mediated antigen retrieval with Tris-EDTA buffer (pH 9.0) for 20 minutes. The tissues were blocked in 1% BSA for 20 minutes at room temperature, washed with ddH2O and PBS, and then probed with the primary antibody (HA601552) at 1/2,000 dilution for 1 hour at room temperature. The detection was performed using an HRP conjugated compact polymer system. DAB was used as the chromogen. Tissues were counterstained with hematoxylin and mounted with DPX.
Note: All products are “FOR RESEARCH USE ONLY AND ARE NOT INTENDED FOR DIAGNOSTIC OR THERAPEUTIC USE”.