CD38 Recombinant Antibody [PD01-49] - Mouse IgG1 (Chimeric)
cat.: HA601554
Product Type: Recombinant Chimeric Antibody, primary antibodies
Species reactivity: Human
Applications: WB, IHC-P, FC, mIHC
Clone number: PD01-49
Form: Liquid
Storage condition: Shipped at 4℃. Store at +4℃ short term (1-2 weeks). It is recommended to aliquot into single-use upon delivery. Store at -20℃ long term.
Storage buffer: PBS (pH7.4), 0.1% BSA, 40% Glycerol. Preservative: 0.05% Sodium Azide.
Concentration: 1ug/ul
Purification: Protein A affinity purified.
Molecular weight: Predicted band size: 34 kDa
Immunogen: Synthetic peptide within human CD38 aa 250-300.
Positive control: THP-1 cell lysate, Raji cell lysate, human spleen tissue, human tonsil tissue, Raji.
Subcellular location: Membrane.
Recommended Dilutions:
  WB
  IHC-P
  FC
  mIHC

1:2,000-1:5,000
1:30,000
1:1,000
1:3,000
Uniprot #: SwissProt: P28907 Human
Alternative names: Acute lymphoblastic leukemia cells antigen CD38 ADP ribosyl cyclase 1 ADP ribosyl cyclase ADP ribosyl cyclase/cyclic ADP-ribose hydrolase ADP-ribosyl cyclase 1 ADPRC 1 ADPRC1 cADPr hydrolase 1 CD 38 CD38 CD38 antigen (p45) CD38 antigen CD38 molecule Cd38-rs1 CD38_HUMAN CD38H Cyclic ADP ribose hydrolase Cyclic ADP ribose hydrolase 1 Cyclic ADP-ribose hydrolase 1 EC 3.2.2.5 Ecto nicotinamide adenine dinucleotide glycohydrolase I-19 I19 (mouse) Lymphocyte differentiation antigen CD38 NAD(+) nucleosidase NIM-R5 antigen NIMR5 antigen (mouse) OTTHUMP00000158633 OTTHUMP00000217743 p45 T10
Images
HA601554_1.jpg Fig1: Western blot analysis of CD38 on different lysates with Mouse anti-CD38 antibody (HA601554) at 1/5,000 dilution.

Lane 1: THP-1 cell lysate
Lane 2: Raji cell lysate

Lysates/proteins at 20 µg/Lane.

Predicted band size: 34 kDa
Observed band size: 45 kDa

Exposure time: 3 minutes; ECL: K1802;

4-20% SDS-PAGE gel.

Proteins were transferred to a PVDF membrane and blocked with 5% NFDM/TBST for 1 hour at room temperature. The primary antibody (HA601554) at 1/5,000 dilution was used in primary antibody dilution (K1803) at 4℃ overnight. Goat Anti-Mouse IgG - HRP Secondary Antibody (HA1006) at 1/50,000 dilution was used for 1 hour at room temperature.
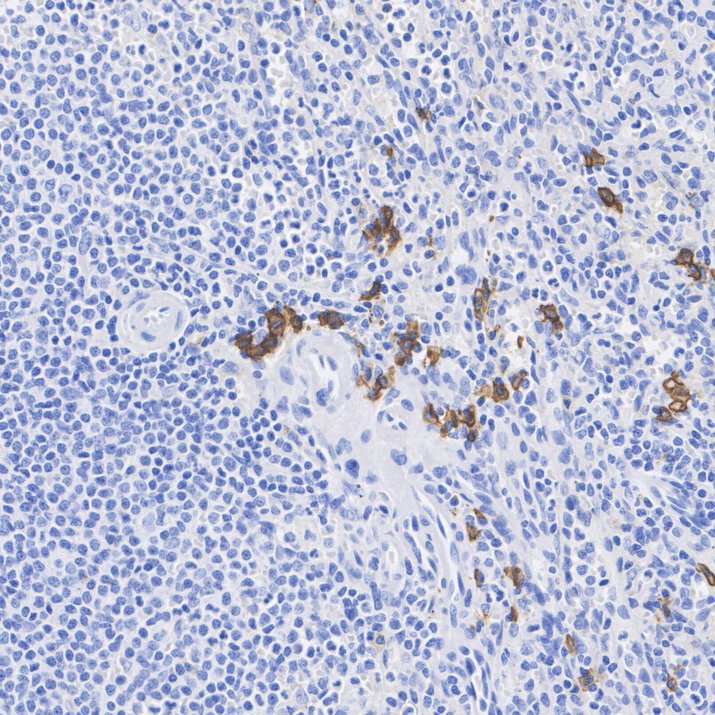
HA601554_2.jpg Fig2: Immunohistochemical analysis of paraffin-embedded human spleen tissue with Mouse anti-CD38 antibody (HA601554) at 1/30,000 dilution.

The section was pre-treated using heat mediated antigen retrieval with Tris-EDTA buffer (pH 9.0) for 20 minutes. The tissues were blocked in 1% BSA for 20 minutes at room temperature, washed with ddH2O and PBS, and then probed with the primary antibody (HA601554) at 1/30,000 dilution for 1 hour at room temperature. The detection was performed using an HRP conjugated compact polymer system. DAB was used as the chromogen. Tissues were counterstained with hematoxylin and mounted with DPX.
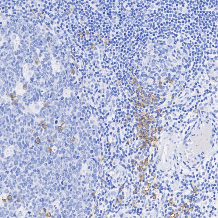
HA601554_3.jpg Fig3: Immunohistochemical analysis of paraffin-embedded human tonsil tissue with Mouse anti-CD38 antibody (HA601554) at 1/30,000 dilution.

The section was pre-treated using heat mediated antigen retrieval with Tris-EDTA buffer (pH 9.0) for 20 minutes. The tissues were blocked in 1% BSA for 20 minutes at room temperature, washed with ddH2O and PBS, and then probed with the primary antibody (HA601554) at 1/30,000 dilution for 1 hour at room temperature. The detection was performed using an HRP conjugated compact polymer system. DAB was used as the chromogen. Tissues were counterstained with hematoxylin and mounted with DPX.
HA601554_4.jpg Fig4: Flow cytometric analysis of Raji cells labeling CD38.

Cells were washed twice with cold PBS and resuspend. Then stained with the primary antibody (HA601554, 1/1,000) (red) compared with Mouse IgG Isotype Control (green). After incubation of the primary antibody at +4℃ for an hour, the cells were stained with a iFluor™ 488 conjugate-Goat anti-Mouse IgG Secondary antibody (HA1125) at 1/1,000 dilution for 30 minutes at +4℃. Unlabelled sample was used as a control (cells without incubation with primary antibody; black).
Note: All products are “FOR RESEARCH USE ONLY AND ARE NOT INTENDED FOR DIAGNOSTIC OR THERAPEUTIC USE”.