CD4 Recombinant Antibody [ST0488] - Mouse IgG1 (Chimeric)
cat.: HA601557
Product Type: Recombinant Chimeric Antibody IgG, primary antibodies
Species reactivity: Human
Applications: WB, IF-Cell, IHC-P
Clone number: ST0488
Form: Liquid
Storage condition: Shipped at 4℃. Store at +4℃ short term (1-2 weeks). It is recommended to aliquot into single-use upon delivery. Store at -20℃ long term.
Storage buffer: PBS (pH7.4), 0.1% BSA, 40% Glycerol. Preservative: 0.05% Sodium Azide.
Concentration: 1ug/ul
Purification: Protein A affinity purified.
Molecular weight: Predicted band size: 51 kDa
Isotype: IgG
Immunogen: Recombinant protein within Human CD4 aa 196-416 / 458.
Positive control: THP-1 cell lysate, U-937 cell lysate, HUT 102 cell lysate, human spleen tissue, human tonsil tissue, THP-1.
Subcellular location: Cell membrane.
Recommended Dilutions:
  WB
  IF-Cell
  IHC-P

1:5,000
1:2,000
1:1,000
Uniprot #: SwissProt: P01730 Human
Alternative names: CD 4 CD4 (L3T4) CD4 CD4 antigen (p55) CD4 antigen CD4 molecule CD4 receptor CD4+ Lymphocyte deficiency, included CD4_HUMAN CD4mut L3T4 Leu3 Ly-4 Lymphocyte antigen CD4 MGC165891 OTTHUMP00000238897 p55 T cell antigen T4 T cell antigen T4/LEU3 T cell differentiation antigen L3T4 T cell OKT4 deficiency, included T cell surface antigen T4/Leu 3 T cell surface antigen T4/Leu3 T cell surface glycoprotein CD4 T-cell surface antigen T4/Leu-3 T-cell surface glycoprotein CD4 W3/25 W3/25 antigen
Images
HA601557_1.jpg Fig1: Western blot analysis of CD4 on different lysates with Mouse anti-CD4 antibody (HA601557) at 1/5,000 dilution.

Lane 1: THP-1 cell lysate
Lane 2: U-937 cell lysate
Lane 3: HUT 102 cell lysate

Lysates/proteins at 20 µg/Lane.

Predicted band size: 51 kDa
Observed band size: 55kDa

Exposure time: 59 seconds; ECL: K1801;
4-20% SDS-PAGE gel.

Proteins were transferred to a PVDF membrane and blocked with 5% NFDM/TBST for 1 hour at room temperature. The primary antibody (HA601557) at 1/5,000 dilution was used in primary antibody dilution (K1803) at 4℃ overnight. Goat Anti-Mouse IgG - HRP Secondary Antibody (HA1006) at 1/50,000 dilution was used for 1 hour at room temperature.
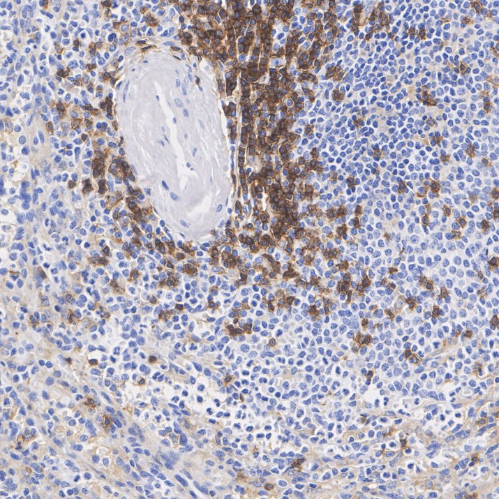
HA601557_2.jpg Fig2: Immunohistochemical analysis of paraffin-embedded human spleen tissue with Mouse anti-CD4 antibody (HA601557) at 1/1,000 dilution.

The section was pre-treated using heat mediated antigen retrieval with Tris-EDTA buffer (pH 9.0) for 20 minutes. The tissues were blocked in 1% BSA for 20 minutes at room temperature, washed with ddH2O and PBS, and then probed with the primary antibody (HA601557) at 1/1,000 dilution for 1 hour at room temperature. The detection was performed using an HRP conjugated compact polymer system. DAB was used as the chromogen. Tissues were counterstained with hematoxylin and mounted with DPX.
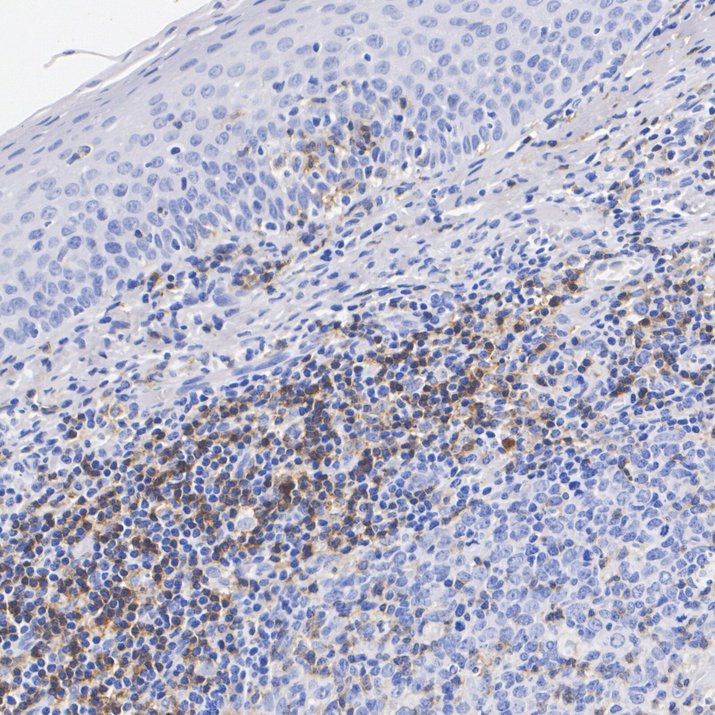
HA601557_3.jpg Fig3: Immunohistochemical analysis of paraffin-embedded human tonsil tissue with Mouse anti-CD4 antibody (HA601557) at 1/1,000 dilution.

The section was pre-treated using heat mediated antigen retrieval with Tris-EDTA buffer (pH 9.0) for 20 minutes. The tissues were blocked in 1% BSA for 20 minutes at room temperature, washed with ddH2O and PBS, and then probed with the primary antibody (HA601557) at 1/1,000 dilution for 1 hour at room temperature. The detection was performed using an HRP conjugated compact polymer system. DAB was used as the chromogen. Tissues were counterstained with hematoxylin and mounted with DPX.
HA601557_4.jpg Fig4: Immunocytochemistry analysis of THP-1 cells labeling CD4 with Mouse anti-CD4 antibody (HA601557) at 1/2,000 dilution.

Cells were fixed in 4% paraformaldehyde for 15 minutes at room temperature, permeabilized with 0.1% Triton X-100 in PBS for 15 minutes at room temperature, then blocked with 1% BSA in 10% negative goat serum for 1 hour at room temperature. Cells were then incubated with Mouse anti-CD4 antibody (HA601557) at 1/2,000 dilution in 1% BSA in PBST overnight at 4 ℃. Goat Anti-Mouse IgG H&L (iFluor™ 488, HA1125) was used as the secondary antibody at 1/1,000 dilution. PBS instead of the primary antibody was used as the secondary antibody only control. Nuclear DNA was labelled in blue with DAPI.

beta Tubulin (ET1602-4, red) was stained at 1/100 dilution overnight at +4℃. Goat Anti-Rabbit IgG H&L (iFluor™ 594, HA1122) were used as the secondary antibody at 1/1,000 dilution.
Note: All products are “FOR RESEARCH USE ONLY AND ARE NOT INTENDED FOR DIAGNOSTIC OR THERAPEUTIC USE”.