Vimentin Recombinant Antibody - Rat IgG1 (Chimeric)
cat.: HA601564
Product Type: Recombinant Chimeric Antibody IgG1, primary antibodies
Species reactivity: Human, Mouse, Rat
Applications: IHC-P, IF-Cell, mIHC
Clone number: PDH0-01
Form: Liquid
Storage condition: Shipped at 4℃. Store at +4℃ short term (1-2 weeks). It is recommended to aliquot into single-use upon delivery. Store at -20℃ long term.
Storage buffer: 1*PBS (pH7.4), 0.1% BSA, 40% Glycerol, 0.2% Proclean 950.
Purification: Protein A affinity purified.
Molecular weight: Predicted band size: 54 kDa
Isotype: IgG1
Immunogen: Synthetic peptide within C-terminal human Vimentin.
Positive control: Human lung tissue.
Subcellular location: Cytoplasm.
Recommended Dilutions:
  IHC-P
  IF-Cell
  mIHC

1:2000
1:200
1:5,000-1:8,000
Uniprot #: SwissProt: P08670 Human
Alternative names: CTRCT30 Epididymis luminal protein 113 FLJ36605 HEL113 VIM VIME_HUMAN Vimentin
Images
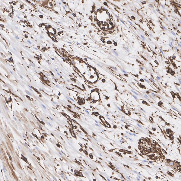
HA601564_1.jpg Fig1: Immunohistochemical analysis of paraffin-embedded human appendix tissue tissue with Rat anti-Vimentin antibody (HA601564) at 1/2,000 dilution.

The section was pre-treated using heat mediated antigen retrieval with Tris-EDTA buffer (pH 9.0) for 20 minutes. The tissues were blocked in 1% BSA for 20 minutes at room temperature, washed with ddH2O and PBS, and then probed with the primary antibody (HA601564) at 1/2,000 dilution for 1 hour at room temperature. The detection was performed using an HRP conjugated compact polymer system. DAB was used as the chromogen. Tissues were counterstained with hematoxylin and mounted with DPX.
HA601564_2.jpg Fig2: Immunocytochemistry analysis of HeLa cells labeling Vimentin with Rat anti-Vimentin antibody (HA601564) at 1/200 dilution.

Cells were fixed in 4% paraformaldehyde for 15 minutes at room temperature, permeabilized with 0.1% Triton X-100 in PBS for 15 minutes at room temperature, then blocked with 1% BSA in 10% negative goat serum for 1 hour at room temperature. Cells were then incubated with Rat anti-Vimentin antibody (HA601564) at 1/200 dilution in 1% BSA in PBST overnight at 4 ℃. Goat Anti-Rat IgG H&L (iFluor™ 488, HA1133) was used as the secondary antibody at 1/1,000 dilution. PBS instead of the primary antibody was used as the secondary antibody only control. Nuclear DNA was labelled in blue with DAPI.

Beta tubulin ( ET1602-4, red) was stained at 1/100 dilution overnight at +4℃. Goat Anti-Rabbit IgG H&L (iFluor™ 594, HA1122) was used as the secondary antibody at 1/1,000 dilution.
Note: All products are “FOR RESEARCH USE ONLY AND ARE NOT INTENDED FOR DIAGNOSTIC OR THERAPEUTIC USE”.