Cathepsin D Recombinant Mouse Monoclonal Antibody [13F4-R]
cat.: HA610002
Product Type: Recombinant Mouse monoclonal IgG1, primary antibodies
Species reactivity: Human
Applications: WB, IHC-P
Clonality: Monoclonal
Clone number: 13F4-R
Form: Liquid
Storage condition: Store at +4℃ after thawing. Aliquot store at -20℃. Avoid repeated freeze / thaw cycles.
Storage buffer: PBS (pH7.4).
Concentration: 1ug/ul
Purification: Protein A affinity purified.
Molecular weight: Predicted band size: 45 kDa
Isotype: IgG1
Immunogen: Recombinant protein within Human Cathepsin D aa 1-432.
Positive control: MCF7 cell lysate, U-937 cell lysate, SK-Br-3 cell lysate, HepG2 cell lysate, A431 cell lysate, Human liver tissue lysate, human liver tissue, human liver cancer tissue, human breast cancer tissue.
Subcellular location: Lysosome. Melanosome. Secreted, extracellular space.
Recommended Dilutions:
  WB
  IHC-P

1:1,000
1:2,000-1:5,000
Uniprot #: SwissProt: P07339 Human
Alternative names: CatD CATD_HUMAN Cathepsin D Cathepsin D heavy chain CD Ceroid lipofuscinosis neuronal 10 CLN10 CPSD ctsd Epididymis secretory sperm binding protein Li 130P HEL S 130P Lysosomal aspartyl peptidase Lysosomal aspartyl protease MGC2311
Images
HA610002_1.jpg Fig1: Western blot analysis of Cathepsin D on different lysates with Mouse anti-Cathepsin D antibody (HA610002) at 1/1,000 dilution.

Lane 1: MCF7 cell lysate (20 µg/Lane)
Lane 2: U-937 cell lysate (20 µg/Lane)
Lane 3: SK-Br-3 cell lysate (20 µg/Lane)
Lane 4: HepG2 cell lysate (20 µg/Lane)
Lane 5: A431 cell lysate (20 µg/Lane)
Lane 6: Human liver tissue lysate (40 µg/Lane)

Predicted band size: 45 kDa
Observed band size: 45/28 kDa

Exposure time: 25 seconds; ECL: K1801;

4-20% SDS-PAGE gel.

Proteins were transferred to a PVDF membrane and blocked with 5% NFDM/TBST for 1 hour at room temperature. The primary antibody (EM1901-03) at 1/1,000 dilution was used in 5% NFDM/TBST at 4℃ overnight. Goat Anti-Mouse IgG - HRP Secondary Antibody (HA1006) at 1/50,000 dilution was used for 1 hour at room temperature.
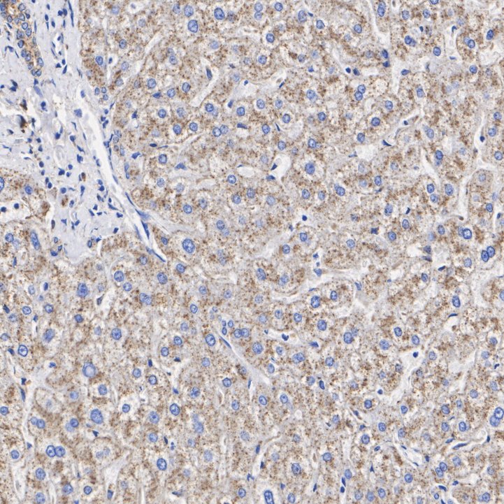
HA610002_2.jpg Fig2: Immunohistochemical analysis of paraffin-embedded human liver tissue with Mouse anti-Cathepsin D antibody (HA610002) at 1/5,000 dilution.

The section was pre-treated using heat mediated antigen retrieval with Tris-EDTA buffer (pH 9.0) for 20 minutes. The tissues were blocked in 1% BSA for 20 minutes at room temperature, washed with ddH2O and PBS, and then probed with the primary antibody (EM1901-03) at 1/5,000 dilution for 1 hour at room temperature. The detection was performed using an HRP conjugated compact polymer system. DAB was used as the chromogen. Tissues were counterstained with hematoxylin and mounted with DPX.
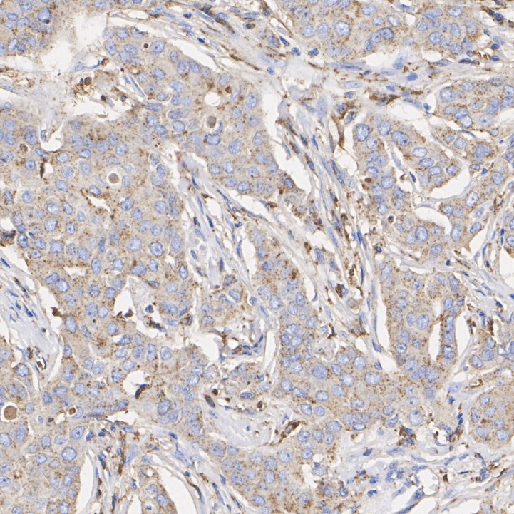
HA610002_3.jpg Fig3: Immunohistochemical analysis of paraffin-embedded human liver cancer tissue with Mouse anti-Cathepsin D antibody (HA610002) at 1/2,000 dilution.

The section was pre-treated using heat mediated antigen retrieval with Tris-EDTA buffer (pH 9.0) for 20 minutes. The tissues were blocked in 1% BSA for 20 minutes at room temperature, washed with ddH2O and PBS, and then probed with the primary antibody (EM1901-03) at 1/2,000 dilution for 1 hour at room temperature. The detection was performed using an HRP conjugated compact polymer system. DAB was used as the chromogen. Tissues were counterstained with hematoxylin and mounted with DPX.
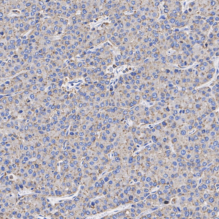
HA610002_4.jpg Fig4: Immunohistochemical analysis of paraffin-embedded human breast cancer tissue with Mouse anti-Cathepsin D antibody (HA610002) at 1/5,000 dilution.

The section was pre-treated using heat mediated antigen retrieval with Tris-EDTA buffer (pH 9.0) for 20 minutes. The tissues were blocked in 1% BSA for 20 minutes at room temperature, washed with ddH2O and PBS, and then probed with the primary antibody (EM1901-03) at 1/5,000 dilution for 1 hour at room temperature. The detection was performed using an HRP conjugated compact polymer system. DAB was used as the chromogen. Tissues were counterstained with hematoxylin and mounted with DPX.
Note: All products are “FOR RESEARCH USE ONLY AND ARE NOT INTENDED FOR DIAGNOSTIC OR THERAPEUTIC USE”.