xCT / SLC7A11 Recombinant Mouse Monoclonal Antibody [A7C6-R]
cat.: HA610011
Product Type: Recombinant Mouse monoclonal IgG1, primary antibodies
Species reactivity: Human, Mouse
Applications: WB, IHC-P, IF-Cell, FC
Clonality: Monoclonal
Clone number: A7C6-R
Form: Liquid
Storage condition: Store at +4℃ after thawing. Aliquot store at -20℃. Avoid repeated freeze / thaw cycles.
Storage buffer: PBS (pH7.4).
Concentration: 1ug/ul
Purification: Protein A affinity purified.
Molecular weight: Predicted band size: 55 kDa
Isotype: IgG1
Immunogen: 293 cell line overexpressing SLC7A11.
Positive control: HT-29 cell lysate, A549 cell lysate, HCT116 cell lysates, human pancreas tissue, HT-29, NIH/3T3 cell lysates.
Subcellular location: Cell membrane, Cell projection, microvillus membrane.
Recommended Dilutions:
  WB
  IHC-P
  IF-Cell
  FC

1:500-1:5,000
1:200
1:100-1:200
1:1,000
Uniprot #: SwissProt: Q9UPY5 Human | Q9WTR6 Mouse
Alternative names: Amino acid transport system xc xCT Amino acid transport system xc- Calcium channel blocker resistance protein CCBR1 Calcium channel blocker resistance protein CCBR1 CCBR1 Cysteine/glutamate transporter Cystine/glutamate transporter OTTHUMP00000164578 SLC7A11 Solute carrier family 7 (anionic amino acid transporter light chain, xc- system), member 11 solute carrier family 7 Solute carrier family 7 member 11 Solute carrier family 7, (cationic amino acid transporter, y+ system) member 11 SYSTEM Xc(-) TRANSPORTER-RELATED PROTEIN xCT XCT_HUMAN
Images
HA610011_1.jpg Fig1: Western blot analysis of xCT / SLC7A11 on different lysates with Mouse anti-xCT / SLC7A11 antibody (HA610011) at 1/500 dilution.

Lane 1: HT-29 cell lysate
Lane 2: A549 cell lysate

Lysates/proteins at 10 µg/Lane.

Predicted band size: 55 kDa
Observed band size: 55 kDa

Exposure time: 30 seconds;

10% SDS-PAGE gel.

Proteins were transferred to a PVDF membrane and blocked with 5% NFDM/TBST for 1 hour at room temperature. The primary antibody (HA610011) at 1/500 dilution was used in 5% NFDM/TBST at room temperature for 2 hours. Goat Anti-Mouse IgG - HRP Secondary Antibody (HA1006) at 1:100,000 dilution was used for 1 hour at room temperature.
HA610011_2.jpg Fig2: Western blot analysis of xCT / SLC7A11 on HCT116 cell lysates with Mouse anti-xCT / SLC7A11 antibody (HA610011) at 1/5,000 dilution.

Lysates/proteins at 10 µg/Lane.

Predicted band size: 55 kDa
Observed band size: 55 kDa

Exposure time: 1 minute;

12% SDS-PAGE gel.

Proteins were transferred to a PVDF membrane and blocked with 5% NFDM/TBST for 1 hour at room temperature. The primary antibody (HA610011) at 1/5,000 dilution was used in 5% NFDM/TBST at room temperature for 2 hours. Goat Anti-Mouse IgG - HRP Secondary Antibody (HA1006) at 1:100,000 dilution was used for 1 hour at room temperature.
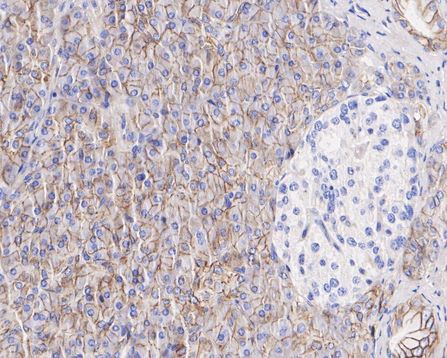
HA610011_3.jpg Fig3: Immunohistochemical analysis of paraffin-embedded human pancreas tissue with Mouse anti-xCT / SLC7A11 antibody (HA610011) at 1/200 dilution.

The section was pre-treated using heat mediated antigen retrieval with Tris-EDTA buffer (pH 9.0) for 20 minutes. The tissues were blocked in 1% BSA for 20 minutes at room temperature, washed with ddH2O and PBS, and then probed with the primary antibody (HA610011) at 1/200 dilution for 1 hour at room temperature. The detection was performed using an HRP conjugated compact polymer system. DAB was used as the chromogen. Tissues were counterstained with hematoxylin and mounted with DPX.
HA610011_4.jpg Fig4: Immunocytochemistry analysis of HT-29 cells labeling xCT / SLC7A11 with Mouse anti-xCT / SLC7A11 antibody (HA610011) at 1/100 dilution.

Cells were fixed in 4% paraformaldehyde for 20 minutes at room temperature, permeabilized with 0.1% Triton X-100 in PBS for 5 minutes at room temperature, then blocked with 1% BSA in 10% negative goat serum for 1 hour at room temperature. Cells were then incubated with Mouse anti-xCT / SLC7A11 antibody (HA610011) at 1/100 dilution in 1% BSA in PBST overnight at 4 ℃. Goat Anti-Mouse IgG H&L (iFluor™ 488, HA1125) was used as the secondary antibody at 1/1,000 dilution. PBS instead of the primary antibody was used as the secondary antibody only control. Nuclear DNA was labelled in blue with DAPI.

beta Tubulin (ET1602-4, red) was stained at 1/100 dilution overnight at +4℃. Goat Anti-Rabbit IgG H&L (iFluor™ 594, HA1122) was used as the secondary antibody at 1/1,000 dilution.
HA610011_5.jpg Fig5: Flow cytometric analysis of HT-29 cells labeling xCT / SLC7A11.

Cells were washed twice with cold PBS and resuspend. Then stained with the primary antibody (HA610011, 1/1,000) (red) compared with Mouse IgG1 Isotype Control (green). After incubation of the primary antibody at +4℃ for 30 minutes, the cells were stained with a iFluor™ 488 conjugate-Goat anti-Mouse IgG Secondary antibody (HA1125) at 1/1,000 dilution for 30 minutes at +4℃. Unlabelled sample was used as a control (cells without incubation with primary antibody; black).
HA610011_6.jpg Fig6: Western blot analysis of xCT / SLC7A11 on NIH/3T3 cell lysates with Mouse anti-xCT / SLC7A11 antibody (HA610011) at 1/500 dilution.

Lysates/proteins at 10 µg/Lane.

Predicted band size: 55 kDa
Observed band size: 55 kDa

Exposure time: 1 minute;

8% SDS-PAGE gel.

Proteins were transferred to a PVDF membrane and blocked with 5% NFDM/TBST for 1 hour at room temperature. The primary antibody (HA610011) at 1/500 dilution was used in 5% NFDM/TBST at room temperature for 2 hours. Goat Anti-Mouse IgG - HRP Secondary Antibody (HA1006) at 1:150,000 dilution was used for 1 hour at room temperature.
Note: All products are “FOR RESEARCH USE ONLY AND ARE NOT INTENDED FOR DIAGNOSTIC OR THERAPEUTIC USE”.