MGST1 Recombinant Mouse Monoclonal Antibody [14H2-R]
cat.: HA610130
Product Type: Recombinant Mouse monoclonal IgG1, primary antibodies
Species reactivity: Human, Rat
Applications: WB, IHC-P
Clonality: Monoclonal
Clone number: 14H2-R
Form: Liquid
Storage condition: Store at +4℃ after thawing. Aliquot store at -20℃. Avoid repeated freeze / thaw cycles.
Storage buffer: 1*PBS (pH7.4).
Concentration: 1ug/ul
Purification: Protein A affinity purified.
Molecular weight: Predicted band size: 18 kDa
Isotype: IgG1
Immunogen: Recombinant protein within Human MGST1 aa 1-144 / 155.
Positive control: SiHa cell lysate, HepG2 cell lysate, A549 cell lysate, U-937 cell lysate, MCF7 cell lysate, Rat liver tissue lysate, human liver tissue.
Subcellular location: Endoplasmic reticulum, Mitochondrion.
Recommended Dilutions:
  WB
  IHC-P

1:1,000
1:1,000
Uniprot #: SwissProt: P10620 Human | P08011 Rat
Alternative names: MGST1 Glutathione S transferase 12 GST12 MGST 1 MGST MGST I MGST1 MGST1_HUMAN Microsomal glutathione S-transferase 1 Microsomal GST 1 Microsomal GST-1 Microsomal GST-I
Images
HA610130_1.jpg Fig1: Western blot analysis of MGST1 on different lysates with Mouse anti-MGST1 antibody (HA610130) at 1/1,000 dilution.

Lane 1: SiHa cell lysate
Lane 2: HepG2 cell lysate
Lane 3: A549 cell lysate
Lane 4: U-937 cell lysate
Lane 5: MCF7 cell lysate

Lysates/proteins at 20 µg/Lane.

Predicted band size: 18 kDa
Observed band size: 15 kDa

Exposure time: 10 seconds; ECL: K1801;

4-20% SDS-PAGE gel.

Proteins were transferred to a PVDF membrane and blocked with 5% NFDM/TBST for 1 hour at room temperature. The primary antibody (HA610130) at 1/1,000 dilution was used in 5% NFDM/TBST at 4℃ overnight. Goat Anti-Mouse IgG - HRP Secondary Antibody (HA1006) at 1/50,000 dilution was used for 1 hour at room temperature.
HA610130_2.jpg Fig2: Western blot analysis of MGST1 on different lysates with Mouse anti-MGST1 antibody (HA610130) at 1/1,000 dilution.

Lane 1: HepG2 cell lysate (20 µg/Lane)
Lane 2: Rat liver tissue lysate (40 µg/Lane)

Predicted band size: 18 kDa
Observed band size: 15 kDa

Exposure time: 25 seconds; ECL: K1801;

4-20% SDS-PAGE gel.

Proteins were transferred to a PVDF membrane and blocked with 5% NFDM/TBST for 1 hour at room temperature. The primary antibody (HA610130) at 1/1,000 dilution was used in 5% NFDM/TBST at 4℃ overnight. Goat Anti-Mouse IgG - HRP Secondary Antibody (HA1006) at 1/50,000 dilution was used for 1 hour at room temperature.
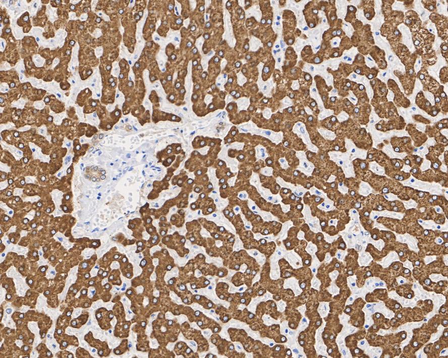
HA610130_3.jpg Fig3: Immunohistochemical analysis of paraffin-embedded human liver tissue with Mouse anti-MGST1 antibody (HA610130) at 1/1,000 dilution.

The section was pre-treated using heat mediated antigen retrieval with Tris-EDTA buffer (pH 9.0) for 20 minutes. The tissues were blocked in 1% BSA for 20 minutes at room temperature, washed with ddH2O and PBS, and then probed with the primary antibody (HA610130) at 1/1,000 dilution for 1 hour at room temperature. The detection was performed using an HRP conjugated compact polymer system. DAB was used as the chromogen. Tissues were counterstained with hematoxylin and mounted with DPX.
Note: All products are “FOR RESEARCH USE ONLY AND ARE NOT INTENDED FOR DIAGNOSTIC OR THERAPEUTIC USE”.