KIAA0100 Recombinant Mouse Monoclonal Antibody [A0-F3-R]
cat.: HA610189
Product Type: Recombinant Mouse monoclonal IgG1, primary antibodies
Species reactivity: Human
Applications: WB, IF-Cell, IHC-P
Clonality: Monoclonal
Clone number: A0-F3-R
Form: Liquid
Storage condition: Store at +4℃ after thawing. Aliquot store at -20℃. Avoid repeated freeze / thaw cycles.
Storage buffer: 1*PBS (pH7.4).
Concentration: 1ug/ul
Purification: Protein A affinity purified.
Molecular weight: Predicted band size: 254 kDa
Isotype: IgG1
Immunogen: Recombinant protein within Human KIAA0100 aa 1,947-2,235 / 2,235.
Positive control: MDA-MB-231 cell lysate, SK-Br-3 cell lysate, MCF7 cell lysate, HeLa cell lysate, A431 cell lysate, PC-3M cell lysate, LNCaP cell lysate, HeLa, human breast cancer tissue, human kidney tissue, human pancreas tissue.
Subcellular location: Cell membrane, Endoplasmic reticulum membrane, Mitochondrion membrane.
Recommended Dilutions:
  WB
  IF-Cell
  IHC-P

1:1,000
1:100
1:2,000
Uniprot #: SwissProt: Q14667 Human
Alternative names: Antigen MLAA-22 BCOX BCOX1 Breast cancer-overexpressed gene 1 protein CT101 DKFZp686M0843 K0100_HUMAN KIAA0100 MGC111488 MGC134981 UPF0378 protein KIAA0100
Images
HA610189_1.jpg Fig1: Western blot analysis of KIAA0100 on different lysates with Mouse anti-KIAA0100 antibody (HA610189) at 1/1,000 dilution.

Lane 1: MDA-MB-231 cell lysate
Lane 2: SK-Br-3 cell lysate
Lane 3: MCF7 cell lysate
Lane 4: HeLa cell lysate
Lane 5: A431 cell lysate
Lane 6: PC-3M cell lysate
Lane 7: LNCaP cell lysate

Lysates/proteins at 20 µg/Lane.

Predicted band size: 254 kDa
Observed band size: 55 kDa

Exposure time: 1 minute 2 seconds; ECL: K1801;

4-20% SDS-PAGE gel.

Proteins were transferred to a PVDF membrane and blocked with 5% NFDM/TBST for 1 hour at room temperature. The primary antibody (HA610189) at 1/1,000 dilution was used in 5% NFDM/TBST at 4℃ overnight. Goat Anti-Mouse IgG - HRP Secondary Antibody (HA1006) at 1/50,000 dilution was used for 1 hour at room temperature.
HA610189_2.jpg Fig2: Immunocytochemistry analysis of HeLa cells labeling KIAA0100 with Mouse anti-KIAA0100 antibody (HA610189) at 1/100 dilution.

Cells were fixed in 100% precooled methanol for 5 minutes at room temperature, then blocked with 1% BSA in 10% negative goat serum for 1 hour at room temperature. Cells were then incubated with Mouse anti-KIAA0100 antibody (HA610189) at 1/100 dilution in 1% BSA in PBST overnight at 4 ℃. Goat Anti-Mouse IgG H&L (iFluor™ 488, HA1125) was used as the secondary antibody at 1/1,000 dilution. PBS instead of the primary antibody was used as the secondary antibody only control. Nuclear DNA was labelled in blue with DAPI.
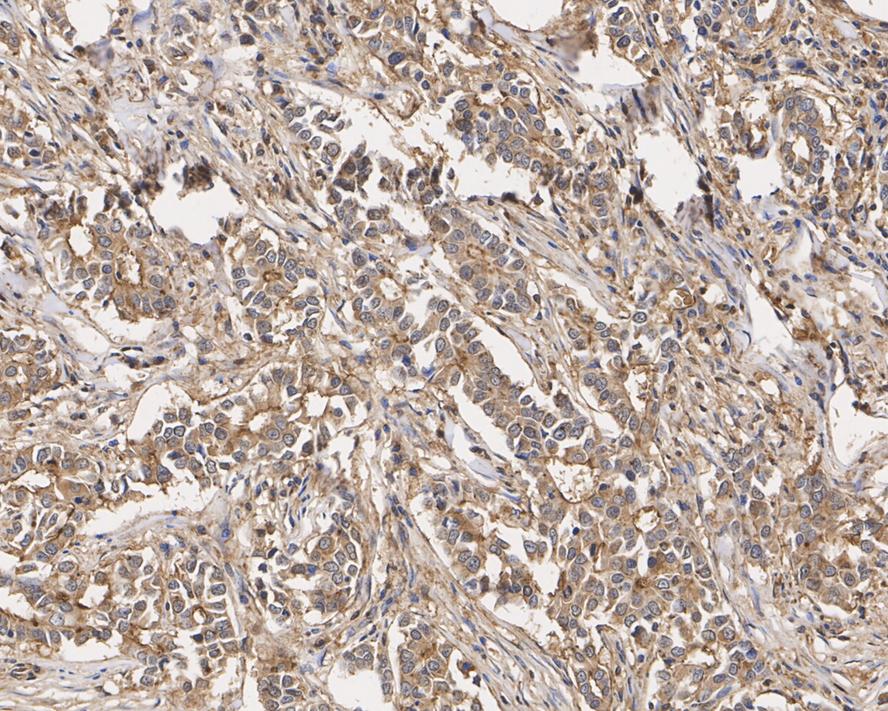
HA610189_3.jpg Fig3: Immunohistochemical analysis of paraffin-embedded human breast cancer tissue with Mouse anti-KIAA0100 antibody (HA610189) at 1/2,000 dilution.

The section was pre-treated using heat mediated antigen retrieval with Tris-EDTA buffer (pH 9.0) for 20 minutes. The tissues were blocked in 1% BSA for 20 minutes at room temperature, washed with ddH2O and PBS, and then probed with the primary antibody (HA610189) at 1/2,000 dilution for 1 hour at room temperature. The detection was performed using an HRP conjugated compact polymer system. DAB was used as the chromogen. Tissues were counterstained with hematoxylin and mounted with DPX.
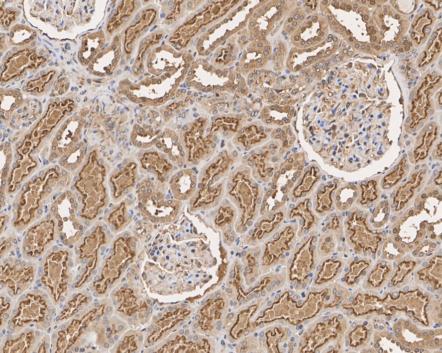
HA610189_4.jpg Fig4: Immunohistochemical analysis of paraffin-embedded human kidney tissue with Mouse anti-KIAA0100 antibody (HA610189) at 1/2,000 dilution.

The section was pre-treated using heat mediated antigen retrieval with Tris-EDTA buffer (pH 9.0) for 20 minutes. The tissues were blocked in 1% BSA for 20 minutes at room temperature, washed with ddH2O and PBS, and then probed with the primary antibody (HA610189) at 1/2,000 dilution for 1 hour at room temperature. The detection was performed using an HRP conjugated compact polymer system. DAB was used as the chromogen. Tissues were counterstained with hematoxylin and mounted with DPX.
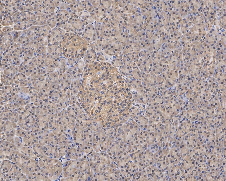
HA610189_5.jpg Fig5: Immunohistochemical analysis of paraffin-embedded human pancreas tissue with Mouse anti-KIAA0100 antibody (HA610189) at 1/2,000 dilution.

The section was pre-treated using heat mediated antigen retrieval with Tris-EDTA buffer (pH 9.0) for 20 minutes. The tissues were blocked in 1% BSA for 20 minutes at room temperature, washed with ddH2O and PBS, and then probed with the primary antibody (HA610189) at 1/2,000 dilution for 1 hour at room temperature. The detection was performed using an HRP conjugated compact polymer system. DAB was used as the chromogen. Tissues were counterstained with hematoxylin and mounted with DPX.
Note: All products are “FOR RESEARCH USE ONLY AND ARE NOT INTENDED FOR DIAGNOSTIC OR THERAPEUTIC USE”.