Monoamine Oxidase A / MAO-A Recombinant Mouse Monoclonal Antibody [5D1-R]
cat.: HA610191
Product Type: Recombinant Mouse monoclonal IgG1, primary antibodies
Species reactivity: Human, Mouse, Rat
Applications: WB, IHC-P
Clonality: Monoclonal
Clone number: 5D1-R
Form: Liquid
Storage condition: Store at +4℃ after thawing. Aliquot store at -20℃. Avoid repeated freeze / thaw cycles.
Storage buffer: PBS (pH7.4).
Concentration: 1ug/ul
Purification: Protein A affinity purified.
Molecular weight: Predicted band size: 60 kDa
Isotype: IgG1
Immunogen: Recombinant protein within Human MAO-A aa 222-517 / 527.
Positive control: Rat brain tissue lysate, mouse brain tissue lysate, human colon cancer tissue, human liver tissue.
Subcellular location: Mitochondrion outer membrane.
Recommended Dilutions:
  WB
  IHC-P

1:1,000
1:1,000
Uniprot #: SwissProt: P21397 Human | Q64133 Mouse | P21396 Rat
Alternative names: Amine oxidase [flavin containing] A Amine oxidase [flavin-containing] A AOFA AOFA_HUMAN EC 1.4.3.4 MAO A MAO-A maoA Monoamine oxidase A Monoamine oxidase type A
Images
HA610191_1.jpg Fig1: Western blot analysis of Monoamine Oxidase A / MAO-A on different lysates with Mouse anti-Monoamine Oxidase A / MAO-A antibody (HA610191) at 1/1,000 dilution.

Lane 1: Rat brain tissue lysate
Lane 2: Mouse brain tissue lysate

Lysates/proteins at 40 µg/Lane.

Predicted band size: 60 kDa
Observed band size: 70 kDa

Exposure time: 25 seconds; ECL: K1801;
4-20% SDS-PAGE gel.

Proteins were transferred to a PVDF membrane and blocked with 5% NFDM/TBST for 1 hour at room temperature. The primary antibody (HA610191) at 1/1,000 dilution was used in 5% NFDM/TBST at 4℃ overnight. Anti-Mouse IgG for IP Nano-secondary antibody (NBI02H) at 1/5,000 dilution was used for 1 hour at room temperature.
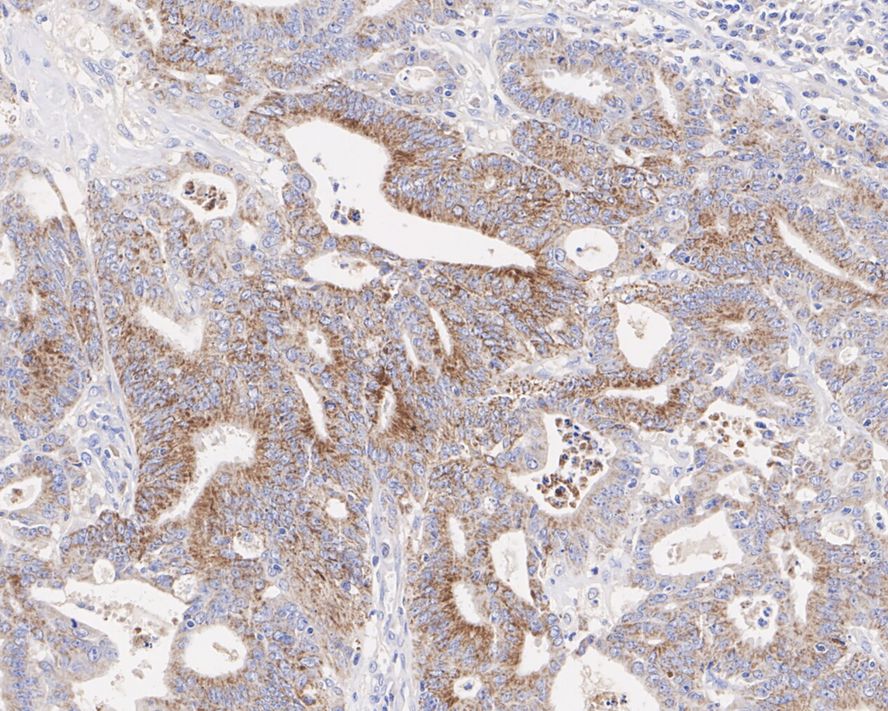
HA610191_2.jpg Fig2: Immunohistochemical analysis of paraffin-embedded human colon cancer tissue with Mouse anti-Monoamine Oxidase A / MAO-A antibody (HA610191) at 1/1,000 dilution.

The section was pre-treated using heat mediated antigen retrieval with Tris-EDTA buffer (pH 9.0) for 20 minutes. The tissues were blocked in 1% BSA for 20 minutes at room temperature, washed with ddH2O and PBS, and then probed with the primary antibody (HA610191) at 1/1,000 dilution for 1 hour at room temperature. The detection was performed using an HRP conjugated compact polymer system. DAB was used as the chromogen. Tissues were counterstained with hematoxylin and mounted with DPX.
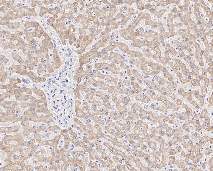
HA610191_3.jpg Fig3: Immunohistochemical analysis of paraffin-embedded human liver tissue with Mouse anti-Monoamine Oxidase A / MAO-A antibody (HA610191) at 1/1,000 dilution.

The section was pre-treated using heat mediated antigen retrieval with Tris-EDTA buffer (pH 9.0) for 20 minutes. The tissues were blocked in 1% BSA for 20 minutes at room temperature, washed with ddH2O and PBS, and then probed with the primary antibody (HA610191) at 1/1,000 dilution for 1 hour at room temperature. The detection was performed using an HRP conjugated compact polymer system. DAB was used as the chromogen. Tissues were counterstained with hematoxylin and mounted with DPX.
Note: All products are “FOR RESEARCH USE ONLY AND ARE NOT INTENDED FOR DIAGNOSTIC OR THERAPEUTIC USE”.