CHD3 Recombinant Rabbit Monoclonal Antibody [JE57-05]
cat.: HA720011
Product Type: Recombinant Rabbit monoclonal IgG, primary antibodies
Species reactivity: Human, Mouse, Rat
Applications: WB, IHC-P, IF-Cell, FC
Clonality: Monoclonal
Clone number: JE57-05
Form: Liquid
Storage condition: Shipped at 4℃. Store at +4℃ short term (1-2 weeks). It is recommended to aliquot into single-use upon delivery. Store at -20℃ long term.
Storage buffer: 1*TBS (pH7.4), 0.05% BSA, 40% Glycerol. Preservative: 0.05% Sodium Azide.
Concentration: 1ug/ul
Purification: Protein A affinity purified.
Molecular weight: Predicted band size: 227 kDa.
Isotype: IgG
Immunogen: Recombinant protein within human CHD3 aa 1,850-2,000.
Positive control: SiHa cell lysate, HeLa cell lysate, Jurkat cell lysate, NIH/3T3 cell lysate, C6 cell lysate, human thyroid tissue, human breast carcinoma tissue, human fallopian tube tissue, human uterus tissue, mouse brain tissue, rat brain tissue, C6.
Subcellular location: Nucleus, PML body, Cytoplasm, cytoskeleton, microtubule organizing center, centrosome.
Recommended Dilutions:
  WB
  IHC-P
  IF-Cell
  FC

1:5,000
1:200-1:4,000
1:100
1:1,000
Uniprot #: SwissProt: Q12873 Human
Entrez Gene: 216848 Mouse | 303241 Rat
Alternative names: 226 2600010P09Rik AF020312 ATP dependent helicase CHD3 ATP-dependent helicase Chd3 CHD-3 Chd3 CHD3_HUMAN Chd7 Chromodomain-helicase-DNA-binding protein 3 hZFH MGC40857 Mi 2 autoantigen 240 kDa protein Mi 2a Mi-2 autoantigen 240 kDa protein Mi2 ALPHA Mi2-alpha Prp7 Prp9 1 ZFH Zinc finger helicase zinc-finger helicase (Snf2-like)
Images
HA720011_1.jpg Fig1: Western blot analysis of CHD3 on different lysates with Rabbit anti-CHD3 antibody (HA720011) at 1/5,000 dilution.

Lane 1: SiHa cell lysate
Lane 2: HeLa cell lysate
Lane 3: Jurkat cell lysate
Lane 4: NIH/3T3 cell lysate
Lane 5: C6 cell lysate

Lysates/proteins at 20 µg/Lane.

Predicted band size: 227 kDa
Observed band size: 260 kDa

Exposure time: 20 seconds; ECL: K1801;

4-20% SDS-PAGE gel.

Proteins were transferred to a PVDF membrane and blocked with 5% NFDM/TBST for 1 hour at room temperature. The primary antibody (HA720011) at 1/5,000 dilution was used in primary antibody dilution (K1803) at 4℃ overnight. Goat Anti-Rabbit IgG - HRP Secondary Antibody (HA1001) at 1/50,000 dilution was used for 1 hour at room temperature.
HA720011_2.jpg Fig2: Immunohistochemical analysis of paraffin-embedded human thyroid tissue using anti-CHD3 antibody. The section was pre-treated using heat mediated antigen retrieval with sodium citrate buffer (pH 6.0) for 20 minutes. The tissues were blocked in 5% BSA for 30 minutes at room temperature, washed with ddH2O and PBS, and then probed with the primary antibody (HA720011, 1/200) for 30 minutes at room temperature. The detection was performed using an HRP conjugated compact polymer system. DAB was used as the chromogen. Tissues were counterstained with hematoxylin and mounted with DPX.
HA720011_3.jpg Fig3: Immunohistochemical analysis of paraffin-embedded human breast carcinoma tissue using anti-CHD3 antibody. The section was pre-treated using heat mediated antigen retrieval with sodium citrate buffer (pH 6.0) for 20 minutes. The tissues were blocked in 5% BSA for 30 minutes at room temperature, washed with ddH2O and PBS, and then probed with the primary antibody (HA720011, 1/50) for 30 minutes at room temperature. The detection was performed using an HRP conjugated compact polymer system. DAB was used as the chromogen. Tissues were counterstained with hematoxylin and mounted with DPX.
HA720011_4.jpg Fig4: Immunohistochemical analysis of paraffin-embedded human fallopian tube tissue using anti-CHD3 antibody. The section was pre-treated using heat mediated antigen retrieval with sodium citrate buffer (pH 6.0) for 20 minutes. The tissues were blocked in 5% BSA for 30 minutes at room temperature, washed with ddH2O and PBS, and then probed with the primary antibody (HA720011, 1/200) for 30 minutes at room temperature. The detection was performed using an HRP conjugated compact polymer system. DAB was used as the chromogen. Tissues were counterstained with hematoxylin and mounted with DPX.
HA720011_5.jpg Fig5: Immunohistochemical analysis of paraffin-embedded human uterus tissue using anti-CHD3 antibody. The section was pre-treated using heat mediated antigen retrieval with sodium citrate buffer (pH 6.0) for 20 minutes. The tissues were blocked in 5% BSA for 30 minutes at room temperature, washed with ddH2O and PBS, and then probed with the primary antibody (HA720011, 1/500) for 30 minutes at room temperature. The detection was performed using an HRP conjugated compact polymer system. DAB was used as the chromogen. Tissues were counterstained with hematoxylin and mounted with DPX.
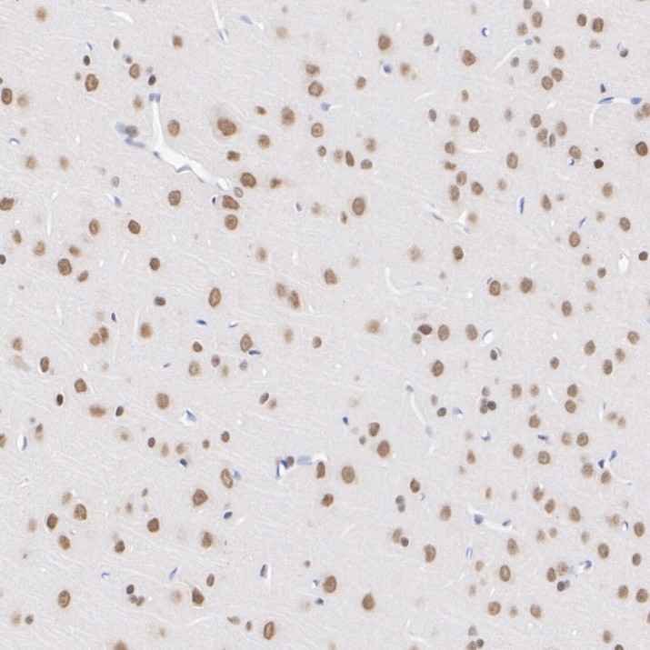
HA720011_6.jpg Fig6: Immunohistochemical analysis of paraffin-embedded mouse brain tissue with Rabbit anti-CHD3 antibody (HA720011) at 1/4,000 dilution.

The section was pre-treated using heat mediated antigen retrieval with Tris-EDTA buffer (pH 9.0) for 20 minutes. The tissues were blocked in 1% BSA for 20 minutes at room temperature, washed with ddH2O and PBS, and then probed with the primary antibody (HA720011) at 1/4,000 dilution for 1 hour at room temperature. The detection was performed using an HRP conjugated compact polymer system. DAB was used as the chromogen. Tissues were counterstained with hematoxylin and mounted with DPX.
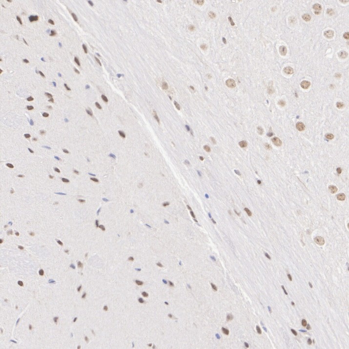
HA720011_7.jpg Fig7: Immunohistochemical analysis of paraffin-embedded rat brain tissue with Rabbit anti-CHD3 antibody (HA720011) at 1/4,000 dilution.

The section was pre-treated using heat mediated antigen retrieval with Tris-EDTA buffer (pH 9.0) for 20 minutes. The tissues were blocked in 1% BSA for 20 minutes at room temperature, washed with ddH2O and PBS, and then probed with the primary antibody (HA720011) at 1/4,000 dilution for 1 hour at room temperature. The detection was performed using an HRP conjugated compact polymer system. DAB was used as the chromogen. Tissues were counterstained with hematoxylin and mounted with DPX.
HA720011_8.jpg Fig8: Immunocytochemistry analysis of C6 cells labeling CHD3 with Rabbit anti-CHD3 antibody (HA720011) at 1/100 dilution.

Cells were fixed in 4% paraformaldehyde for 15 minutes at room temperature, permeabilized with 0.1% Triton X-100 in PBS for 15 minutes at room temperature, then blocked with 1% BSA in 10% negative goat serum for 1 hour at room temperature. Cells were then incubated with Rabbit anti-CHD3 antibody (HA720011) at 1/100 dilution in 1% BSA in PBST overnight at 4 ℃. Goat Anti-Rabbit IgG H&L (iFluor™ 488, HA1121) was used as the secondary antibody at 1/1,000 dilution. PBS instead of the primary antibody was used as the secondary antibody only control. Nuclear DNA was labelled in blue with DAPI.

Beta tubulin (HA601187, red) was stained at 1/100 dilution overnight at +4℃. Goat Anti-Mouse IgG H&L (iFluor™ 594, HA1126) was used as the secondary antibody at 1/1,000 dilution.
HA720011_9.jpg Fig9: Flow cytometric analysis of C6 cells labeling CHD3.

Cells were fixed and permeabilized. Then stained with the primary antibody (HA720011, 1/1,000) (red) compared with Rabbit IgG Isotype Control (green). After incubation of the primary antibody at +4℃ for an hour, the cells were stained with a iFluor™ 488 conjugate-Goat anti-Rabbit IgG Secondary antibody (HA1121) at 1/1,000 dilution for 30 minutes at +4℃. Unlabelled sample was used as a control (cells without incubation with primary antibody; black).
Note: All products are “FOR RESEARCH USE ONLY AND ARE NOT INTENDED FOR DIAGNOSTIC OR THERAPEUTIC USE”.