p40-phox Recombinant Rabbit Monoclonal Antibody [JE58-57]
cat.: HA720040
Product Type: Recombinant Rabbit monoclonal IgG, primary antibodies
Species reactivity: Human, Mouse, Rat
Applications: WB, IHC-P
Clonality: Monoclonal
Clone number: JE58-57
Form: Liquid
Storage condition: Shipped at 4℃. Store at +4℃ short term (1-2 weeks). It is recommended to aliquot into single-use upon delivery. Store at -20℃ long term.
Storage buffer: 1*TBS (pH7.4), 0.05% BSA, 40% Glycerol. Preservative: 0.05% Sodium Azide.
Concentration: 1ug/ul
Purification: Protein A affinity purified.
Molecular weight: Predicted band size: 39 kDa
Isotype: IgG
Immunogen: Synthetic peptide within human p40-phox aa 290-339/339.
Positive control: RAW264.7 cell lysate, mouse spleen tissue lysate, rat spleen tissue lysate, rat lung tissue lysate, Daudi cell lysate, THP-1 cell lysate, human colon tissue, human spleen tissue, human lung tissue.
Subcellular location: Cytoplasm, cytosol, Endosome membrane, Membrane.
Recommended Dilutions:
  WB
  IHC-P

1:500-1:5,000
1:1,000
Uniprot #: SwissProt: Q15080 Human | P97369 Mouse
Entrez Gene: 500904 Rat
Alternative names: CGD3 MGC3810 NCF 4 NCF NCF-4 Ncf4 NCF4_HUMAN Neutrophil cytosol factor 4 Neutrophil cytosolic factor 4 Neutrophil NADPH oxidase factor 4 p40-phox p40phox SH3 and PX domain-containing protein 4 SH3PXD4
Images
HA720040_1.jpg Fig1: Western blot analysis of p40-phox on different lysates with Rabbit anti-p40-phox antibody (HA720040) at 1/5,000 dilution.

Lane 1: RAW264.7 cell lysate (20 µg/Lane)
Lane 2: Mouse spleen tissue lysate (40 µg/Lane)
Lane 3: Rat spleen tissue lysate (40 µg/Lane)
Lane 4: Rat lung tissue lysate (40 µg/Lane)

Predicted band size: 39 kDa
Observed band size: 39 kDa

Exposure time: 59 seconds; ECL: K1801;

4-20% SDS-PAGE gel.

Proteins were transferred to a PVDF membrane and blocked with 5% NFDM/TBST for 1 hour at room temperature. The primary antibody (HA720040) at 1/5,000 dilution was used in primary antibody dilution (K1803) at 4℃ overnight. Goat Anti-Rabbit IgG - HRP Secondary Antibody (HA1001) at 1/50,000 dilution was used for 1 hour at room temperature.
HA720040_2.jpg Fig2: Western blot analysis of p40-phox on different lysates. Proteins were transferred to a PVDF membrane and blocked with 5% BSA in PBS for 1 hour at room temperature. The primary antibody (HA720040, 1/500) was used in 5% BSA at room temperature for 2 hours. Goat Anti-Rabbit IgG - HRP Secondary Antibody (HA1001) at 1:200,000 dilution was used for 1 hour at room temperature.
Positive control:
Lane 1: Daudi cell lysate
Lane 2: THP-1 cell lysate
HA720040_3.jpg Fig3: Immunohistochemical analysis of paraffin-embedded human colon tissue using anti-p40-phox antibody. The section was pre-treated using heat mediated antigen retrieval with Tris-EDTA buffer (pH 8.0-8.4) for 20 minutes.The tissues were blocked in 5% BSA for 30 minutes at room temperature, washed with ddH2O and PBS, and then probed with the primary antibody (HA720040, 1/200) for 30 minutes at room temperature. The detection was performed using an HRP conjugated compact polymer system. DAB was used as the chromogen. Tissues were counterstained with hematoxylin and mounted with DPX.
HA720040_4.jpg Fig4: Immunohistochemical analysis of paraffin-embedded human spleen tissue using anti-p40-phox antibody. The section was pre-treated using heat mediated antigen retrieval with Tris-EDTA buffer (pH 8.0-8.4) for 20 minutes.The tissues were blocked in 5% BSA for 30 minutes at room temperature, washed with ddH2O and PBS, and then probed with the primary antibody (HA720040, 1/200) for 30 minutes at room temperature. The detection was performed using an HRP conjugated compact polymer system. DAB was used as the chromogen. Tissues were counterstained with hematoxylin and mounted with DPX.
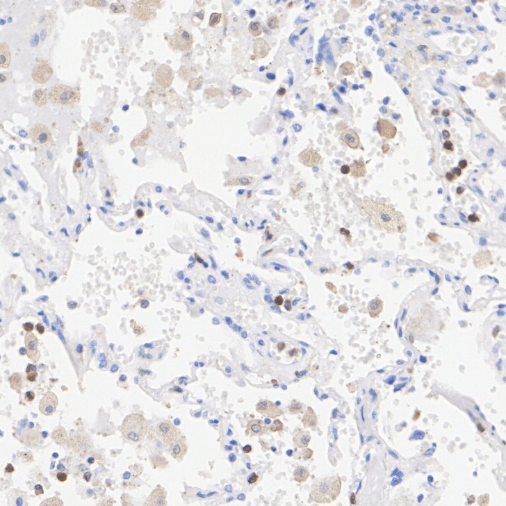
HA720040_5.jpg Fig5: Immunohistochemical analysis of paraffin-embedded human lung tissue with Rabbit anti-p40-phox antibody (HA720040) at 1/1,000 dilution.

The section was pre-treated using heat mediated antigen retrieval with Tris-EDTA buffer (pH 9.0) for 20 minutes. The tissues were blocked in 1% BSA for 20 minutes at room temperature, washed with ddH2O and PBS, and then probed with the primary antibody (HA720040) at 1/1,000 dilution for 1 hour at room temperature. The detection was performed using an HRP conjugated compact polymer system. DAB was used as the chromogen. Tissues were counterstained with hematoxylin and mounted with DPX.
Note: All products are “FOR RESEARCH USE ONLY AND ARE NOT INTENDED FOR DIAGNOSTIC OR THERAPEUTIC USE”.