CDCA5 Recombinant Rabbit Monoclonal Antibody [JE59-54]
cat.: HA720045
Product Type: Recombinant Rabbit monoclonal IgG, primary antibodies
Species reactivity: Human, Mouse, Rat
Applications: WB, IF-Cell, IHC-P, FC
Clonality: Monoclonal
Clone number: JE59-54
Form: Liquid
Storage condition: Shipped at 4℃. Store at +4℃ short term (1-2 weeks). It is recommended to aliquot into single-use upon delivery. Store at -20℃ long term.
Storage buffer: 1*TBS (pH7.4), 0.05% BSA, 40% Glycerol. Preservative: 0.05% Sodium Azide.
Concentration: 1ug/ul
Purification: Protein A affinity purified.
Molecular weight: Predicted band size: 28 kDa
Isotype: IgG
Immunogen: Synthetic peptide within human CDCA5 aa 203-252/252.
Positive control: 293T cell lysate, K-562 cell lysate, NCI-H441 cell lysate, MCF7 cell lysate, 4T1 cell lysate, PC-12 cell lysate, MCF7, PC-12, human tonsil tissue, human breast cancer tissue, human colon tissue.
Subcellular location: Nucleus, Chromosome, Cytoplasm.
Recommended Dilutions:
  WB
  IF-Cell
  IHC-P
  FC

1:5,000
1:100
1:200
1:1,000
Uniprot #: SwissProt: Q96FF9 Human | Q9CPY3 Mouse
Entrez Gene: 684771 Rat
Alternative names: CDCA5 CDCA5_HUMAN Cell division cycle associated protein 5 Cell division cycle-associated protein 5 MGC16386 p35 Sororin
Images
HA720045_1.jpg Fig1: Western blot analysis of CDCA5 on different lysates with Rabbit anti-CDCA5 antibody (HA720045) at 1/5,000 dilution.

Lane 1: 293T cell lysate
Lane 2: K-562 cell lysate
Lane 3: NCI-H441 cell lysate
Lane 4: MCF7 cell lysate
Lane 5: 4T1 cell lysate
Lane 6: PC-12 cell lysate

Lysates/proteins at 20 µg/Lane.

Predicted band size: 28 kDa
Observed band size: 35 kDa

Exposure time: 1 minute 39 seconds; ECL: K1801;

4-20% SDS-PAGE gel.

Proteins were transferred to a PVDF membrane and blocked with 5% NFDM/TBST for 1 hour at room temperature. The primary antibody (HA720045) at 1/5,000 dilution was used in primary antibody dilution (K1803) at 4℃ overnight. Goat Anti-Rabbit IgG - HRP Secondary Antibody (HA1001) at 1/50,000 dilution was used for 1 hour at room temperature.
HA720045_2.jpg Fig2: Immunocytochemistry analysis of MCF7 cells labeling CDCA5 with Rabbit anti-CDCA5 antibody (HA720045) at 1/100 dilution.

Cells were fixed in 4% paraformaldehyde for 15 minutes at room temperature, permeabilized with 0.1% Triton X-100 in PBS for 15 minutes at room temperature, then blocked with 1% BSA in 10% negative goat serum for 1 hour at room temperature. Cells were then incubated with Rabbit anti-CDCA5 antibody (HA720045) at 1/100 dilution in 1% BSA in PBST overnight at 4 ℃. Goat Anti-Rabbit IgG H&L (iFluor™ 488, HA1121) was used as the secondary antibody at 1/1,000 dilution. PBS instead of the primary antibody was used as the secondary antibody only control. Nuclear DNA was labelled in blue with DAPI.

Beta tubulin (HA601187, red) was stained at 1/100 dilution overnight at +4℃. Goat Anti-Mouse IgG H&L (iFluor™ 594, HA1126) was used as the secondary antibody at 1/1,000 dilution.
HA720045_3.jpg Fig3: Immunocytochemistry analysis of PC-12 cells labeling CDCA5 with Rabbit anti-CDCA5 antibody (HA720045) at 1/100 dilution.

Cells were fixed in 4% paraformaldehyde for 15 minutes at room temperature, permeabilized with 0.1% Triton X-100 in PBS for 15 minutes at room temperature, then blocked with 1% BSA in 10% negative goat serum for 1 hour at room temperature. Cells were then incubated with Rabbit anti-CDCA5 antibody (HA720045) at 1/100 dilution in 1% BSA in PBST overnight at 4 ℃. Goat Anti-Rabbit IgG H&L (iFluor™ 488, HA1121) was used as the secondary antibody at 1/1,000 dilution. PBS instead of the primary antibody was used as the secondary antibody only control. Nuclear DNA was labelled in blue with DAPI.

Beta tubulin (HA601187, red) was stained at 1/100 dilution overnight at +4℃. Goat Anti-Mouse IgG H&L (iFluor™ 594, HA1126) was used as the secondary antibody at 1/1,000 dilution.
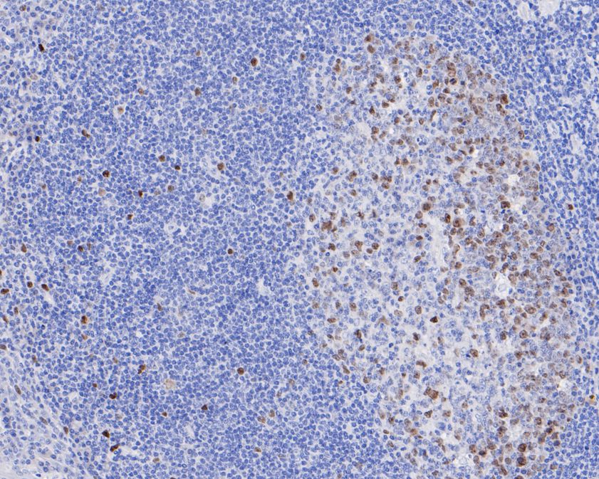
HA720045_4.jpg Fig4: Immunohistochemical analysis of paraffin-embedded human tonsil tissue using anti-CDCA5 antibody. The section was pre-treated using heat mediated antigen retrieval with sodium citrate buffer (pH 6.0) for 20 minutes. The tissues were blocked in 5% BSA for 30 minutes at room temperature, washed with ddH2O and PBS, and then probed with the primary antibody (HA720045, 1/200) for 30 minutes at room temperature. The detection was performed using an HRP conjugated compact polymer system. DAB was used as the chromogen. Tissues were counterstained with hematoxylin and mounted with DPX.
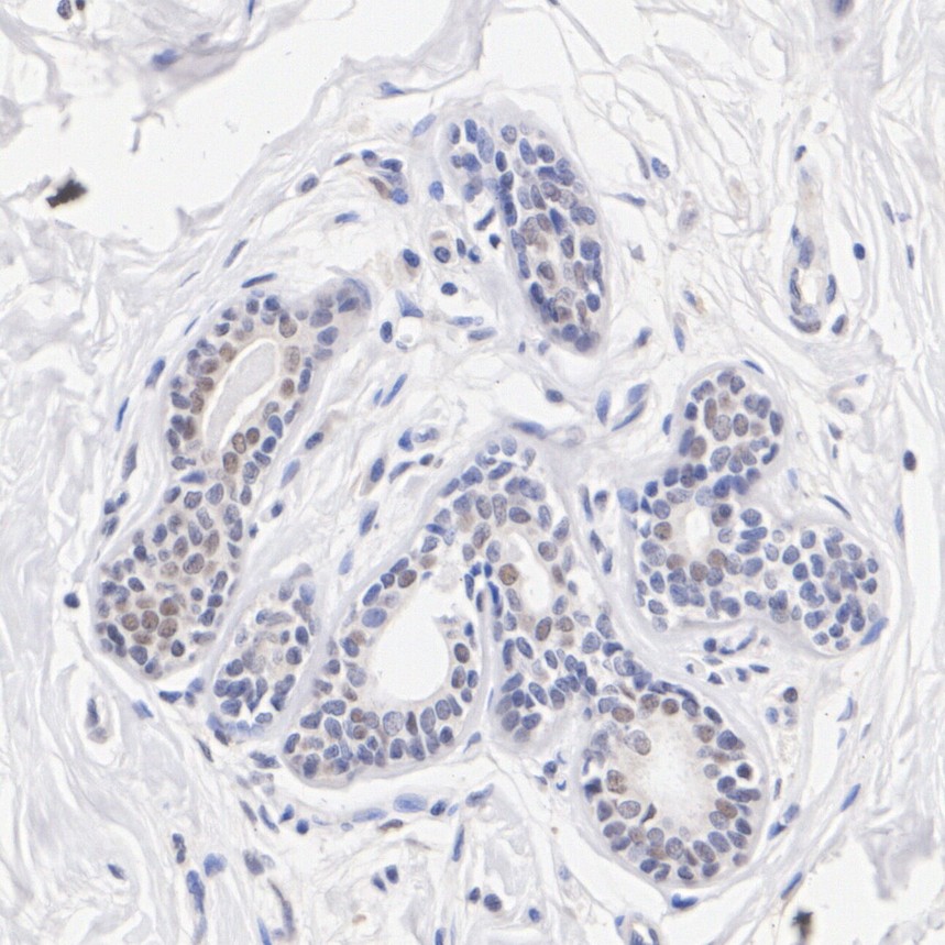
HA720045_5.jpg Fig5: Immunohistochemical analysis of paraffin-embedded human breast cancer tissue with Rabbit anti-CDCA5 antibody (HA720045) at 1/200 dilution.

The section was pre-treated using heat mediated antigen retrieval with Tris-EDTA buffer (pH 9.0) for 20 minutes. The tissues were blocked in 1% BSA for 20 minutes at room temperature, washed with ddH2O and PBS, and then probed with the primary antibody (HA720045) at 1/200 dilution for 1 hour at room temperature. The detection was performed using an HRP conjugated compact polymer system. DAB was used as the chromogen. Tissues were counterstained with hematoxylin and mounted with DPX.
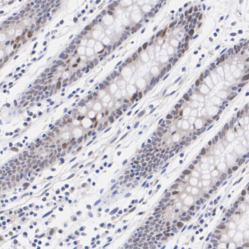
HA720045_6.jpg Fig6: Immunohistochemical analysis of paraffin-embedded human colon tissue with Rabbit anti-CDCA5 antibody (HA720045) at 1/200 dilution.

The section was pre-treated using heat mediated antigen retrieval with Tris-EDTA buffer (pH 9.0) for 20 minutes. The tissues were blocked in 1% BSA for 20 minutes at room temperature, washed with ddH2O and PBS, and then probed with the primary antibody (HA720045) at 1/200 dilution for 1 hour at room temperature. The detection was performed using an HRP conjugated compact polymer system. DAB was used as the chromogen. Tissues were counterstained with hematoxylin and mounted with DPX.
HA720045_7.jpg Fig7: Flow cytometric analysis of MCF7 cells labeling CDCA5.

Cells were fixed and permeabilized. Then stained with the primary antibody (HA720045, 1/1,000) (red) compared with Rabbit IgG Isotype Control (green). After incubation of the primary antibody at +4℃ for an hour, the cells were stained with a iFluor™ 488 conjugate-Goat anti-Rabbit IgG Secondary antibody (HA1121) at 1/1,000 dilution for 30 minutes at +4℃. Unlabelled sample was used as a control (cells without incubation with primary antibody; black).
HA720045_8.jpg Fig8: Flow cytometric analysis of PC-12 cells labeling CDCA5.

Cells were fixed and permeabilized. Then stained with the primary antibody (HA720045, 1/1,000) (red) compared with Rabbit IgG Isotype Control (green). After incubation of the primary antibody at +4℃ for an hour, the cells were stained with a iFluor™ 488 conjugate-Goat anti-Rabbit IgG Secondary antibody (HA1121) at 1/1,000 dilution for 30 minutes at +4℃. Unlabelled sample was used as a control (cells without incubation with primary antibody; black).
Note: All products are “FOR RESEARCH USE ONLY AND ARE NOT INTENDED FOR DIAGNOSTIC OR THERAPEUTIC USE”.