ORP1 Recombinant Rabbit Monoclonal Antibody [JE60-99]
cat.: HA720053
Product Type: Recombinant Rabbit monoclonal IgG, primary antibodies
Species reactivity: Human, Mouse, Rat
Applications: WB, IHC-P
Clonality: Monoclonal
Clone number: JE60-99
Form: Liquid
Storage condition: Shipped at 4℃. Store at +4℃ short term (1-2 weeks). It is recommended to aliquot into single-use upon delivery. Store at -20℃ long term.
Storage buffer: 1*TBS (pH7.4), 0.05% BSA, 40% Glycerol. Preservative: 0.05% Sodium Azide.
Concentration: 1ug/ul
Purification: Protein A affinity purified.
Molecular weight: Predicted band size: 108 kDa
Isotype: IgG
Immunogen: Synthetic peptide within human ORP1 aa 900-950/950.
Positive control: Mouse heart tissue lysate, Rat brain tissue lysate, A549 cell lysate, PC-3 cell lysate, human testis tissue, mouse testis tissue.
Subcellular location: Late endosome.
Recommended Dilutions:
  WB
  IHC-P

1:1,000
1:1,000
Uniprot #: SwissProt: Q9BXW6 Human | Q91XL9 Mouse | Q8K4M9 Rat
Alternative names: FLJ10217 ORP 1 ORP-1 ORP1 OSBL1_HUMAN OSBP 8 OSBP L1 OSBP related protein 1 OSBP-related protein 1 OSBP8 OSBPL 1 OSBPL 1A OSBPL 1B OSBPL1 OSBPL1A OSBPL1B Oxysterol binding protein like 1A Oxysterol binding protein like 1B Oxysterol binding protein related protein 1 Oxysterol-binding protein-related protein 1
Images
HA720053_1.jpg Fig1: Western blot analysis of ORP1 on different lysates with Rabbit anti-ORP1 antibody (HA720053) at 1/1,000 dilution.

Lane 1: HAP1-parental cell lysate
Lane 2: HAP1-ORP1 KD cell lysate

Lysates/proteins at 10 µg/Lane.

Predicted band size: 108 kDa
Observed band size: 108,50 kDa

Exposure time: 21 seconds; ECL: K1801;

4-20% SDS-PAGE gel.

Proteins were transferred to a PVDF membrane and blocked with 5% NFDM/TBST for 1 hour at room temperature. The primary antibody (HA720053) at 1/1,000 dilution was used in K1803 at 4℃ overnight. Goat Anti-Rabbit IgG - HRP Secondary Antibody (HA1001) at 1/50,000 dilution was used for 1 hour at room temperature.
HA720053_2.jpg Fig2: Western blot analysis of ORP1 on different lysates. Proteins were transferred to a PVDF membrane and blocked with 5% NFDM/TBST for 1 hour at room temperature. The primary antibody (HA720053, 1/500) was used in 5% NFDM/TBST at room temperature for 2 hours. Goat Anti-Rabbit IgG - HRP Secondary Antibody (HA1001) at 1:200,000 dilution was used for 1 hour at room temperature.
Positive control:
Lane 1: Mouse heart tissue lysate
Lane 2: Rat brain tissue lysate
Lane 3: A549 cell lysate
Lane 4: PC-3 cell lysate
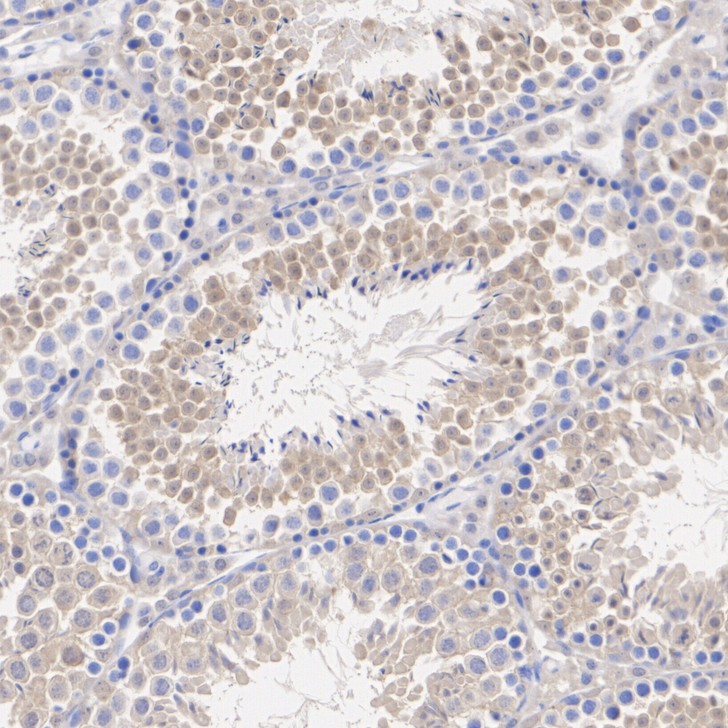
HA720053_3.jpg Fig3: Immunohistochemical analysis of paraffin-embedded human testis tissue with Rabbit anti-ORP1 antibody (HA720053) at 1/1,000 dilution.

The section was pre-treated using heat mediated antigen retrieval with Tris-EDTA buffer (pH 9.0) for 20 minutes. The tissues were blocked in 1% BSA for 20 minutes at room temperature, washed with ddH2O and PBS, and then probed with the primary antibody (HA720053) at 1/1,000 dilution for 1 hour at room temperature. The detection was performed using an HRP conjugated compact polymer system. DAB was used as the chromogen. Tissues were counterstained with hematoxylin and mounted with DPX.
HA720053_4.jpg Fig4: Immunohistochemical analysis of paraffin-embedded mouse testis tissue with Rabbit anti-ORP1 antibody (HA720053) at 1/1,000 dilution.

The section was pre-treated using heat mediated antigen retrieval with Tris-EDTA buffer (pH 9.0) for 20 minutes. The tissues were blocked in 1% BSA for 20 minutes at room temperature, washed with ddH2O and PBS, and then probed with the primary antibody (HA720053) at 1/1,000 dilution for 1 hour at room temperature. The detection was performed using an HRP conjugated compact polymer system. DAB was used as the chromogen. Tissues were counterstained with hematoxylin and mounted with DPX.
Note: All products are “FOR RESEARCH USE ONLY AND ARE NOT INTENDED FOR DIAGNOSTIC OR THERAPEUTIC USE”.