NOP10 Recombinant Rabbit Monoclonal Antibody [JE61-51]
cat.: HA720060
Product Type: Recombinant Rabbit monoclonal IgG, primary antibodies
Species reactivity: Human, Mouse
Applications: WB, IHC-P
Clonality: Monoclonal
Clone number: JE61-51
Form: Liquid
Storage condition: Shipped at 4℃. Store at +4℃ short term (1-2 weeks). It is recommended to aliquot into single-use upon delivery. Store at -20℃ long term.
Storage buffer: 1*TBS (pH7.4), 0.05% BSA, 40% Glycerol. Preservative: 0.05% Sodium Azide.
Concentration: 1ug/ul
Purification: Protein A affinity purified.
Molecular weight: 8 kDa
Isotype: IgG
Immunogen: Recombinant protein within human NOP10 aa aa 1-64/64.
Positive control: Jurkat cell lysates, human colon carcinoma tissue, human kidney tissue, mouse colon tissue.
Subcellular location: Nucleolus, Cajal body.
Recommended Dilutions:
  WB
  IHC-P

1:500-1:2,000
1:50-1:200
Uniprot #: SwissProt: Q9NPE3 Human | Q9CQS2 Mouse
Alternative names: DKCB1 H/ACA ribonucleoprotein complex subunit 3 homolog of yeast Nop10p MGC70651 NOLA3 NOP10 NOP10 ribonucleoprotein homolog (yeast) NOP10_HUMAN NOP10P Nucleolar protein 10 Nucleolar protein family A member 3 nucleolar protein family A, member 3 (H/ACA small nucleolar RNPs) snoRNP protein NOP10
Images
HA720060_1.jpg Fig1: Western blot analysis of NOP10 on Jurkat cell lysates. Proteins were transferred to a PVDF membrane and blocked with 5% NFDM/TBST for 1 hour at room temperature. The primary antibody (HA720060, 1/500) was used in 5% NFDM/TBST at room temperature for 2 hours. Goat Anti-Rabbit IgG - HRP Secondary Antibody (HA1001) at 1:200,000 dilution was used for 1 hour at room temperature.
HA720060_2.jpg Fig2: Immunohistochemical analysis of paraffin-embedded human colon carcinoma tissue using anti-NOP10 antibody. The section was pre-treated using heat mediated antigen retrieval with sodium citrate buffer (pH 6.0) for 20 minutes. The tissues were blocked in 5% BSA for 30 minutes at room temperature, washed with ddH2O and PBS, and then probed with the primary antibody (HA720060, 1/200) for 30 minutes at room temperature. The detection was performed using an HRP conjugated compact polymer system. DAB was used as the chromogen. Tissues were counterstained with hematoxylin and mounted with DPX.
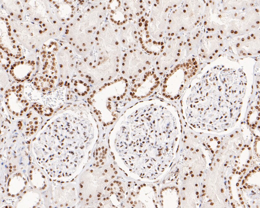
HA720060_3.jpg Fig3: Immunohistochemical analysis of paraffin-embedded human kidney tissue using anti-NOP10 antibody. The section was pre-treated using heat mediated antigen retrieval with sodium citrate buffer (pH 6.0) for 20 minutes. The tissues were blocked in 5% BSA for 30 minutes at room temperature, washed with ddH2O and PBS, and then probed with the primary antibody (HA720060, 1/200) for 30 minutes at room temperature. The detection was performed using an HRP conjugated compact polymer system. DAB was used as the chromogen. Tissues were counterstained with hematoxylin and mounted with DPX.
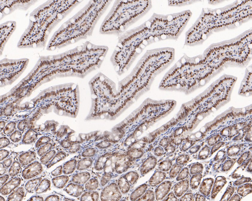
HA720060_4.jpg Fig4: Immunohistochemical analysis of paraffin-embedded mouse colon tissue using anti-NOP10 antibody. The section was pre-treated using heat mediated antigen retrieval with sodium citrate buffer (pH 6.0) for 20 minutes. The tissues were blocked in 5% BSA for 30 minutes at room temperature, washed with ddH2O and PBS, and then probed with the primary antibody (HA720060, 1/200) for 30 minutes at room temperature. The detection was performed using an HRP conjugated compact polymer system. DAB was used as the chromogen. Tissues were counterstained with hematoxylin and mounted with DPX.
Note: All products are “FOR RESEARCH USE ONLY AND ARE NOT INTENDED FOR DIAGNOSTIC OR THERAPEUTIC USE”.