TTF1 Recombinant Rabbit Monoclonal Antibody [JE61-73]
cat.: HA720067
Product Type: Recombinant Rabbit monoclonal IgG, primary antibodies
Species reactivity: Human, Mouse, Rat
Applications: IHC-P, WB, mIHC, IF-Cell, IF-Tissue, IHC-Fr
Clonality: Monoclonal
Clone number: JE61-73
Form: Liquid
Storage condition: Shipped at 4℃. Store at +4℃ short term (1-2 weeks). It is recommended to aliquot into single-use upon delivery. Store at -20℃ long term.
Storage buffer: 1*TBS (pH7.4), 0.05% BSA, 40% Glycerol. Preservative: 0.05% Sodium Azide.
Concentration: 1ug/ul
Purification: Protein A affinity purified.
Molecular weight: Predicted band size: 39 kDa
Isotype: IgG
Immunogen: Recombinant protein within human TTF1 aa 272-371/371.
Positive control: NCI-H441 cell lysate, TT cell lysate, Mouse liver tissue lysate, human thyroid cancer tissue, human thyroid tissue, human lung cancer tissue, human lung tissue, mouse lung tissue, rat lung tissue, TT.
Subcellular location: Nucleus.
Recommended Dilutions:
  IHC-P
  WB
  mIHC
  IF-Cell
  IF-Tissue
  IHC-Fr

1:1,000-1:5,000
1:4,000-1:8,000
1:4,000
1:500
1:200-1:500
1:500
Uniprot #: SwissProt: P43699 Human | P50220 Mouse | P23441 Rat
Alternative names: AV026640 BCH Benign chorea BHC Homeobox protein NK 2 homolog A Homeobox protein NK-2 homolog A Homeobox protein Nkx 2.1 Homeobox protein Nkx-2.1 Homeobox protein Nkx2.1 NK 2 NK 2 homolog A NK2 NK2 homeobox 1 NK2, drosophila, homolog of, A NK2.1, mouse, homolog of Nkx 2 1 NKX 2.1 NKX 2A NKX2 1 Nkx2-1 NKX2.1 NKX21_HUMAN NKX2A T EBP T/EBP TEBP Thyroid nuclear factor 1 Thyroid nuclear factor Thyroid specific enhancer binding protein Thyroid transcription factor 1 Tin man Tinman TITF 1 TITF1 TTF 1 TTF-1 TTF1
Images
HA720067_1.jpg Fig1: Western blot analysis of TTF1 on different lysates with Rabbit anti-TTF1 antibody (HA720067) at 1/1,000 dilution.

Lane 1: NCI-H441 cell lysate (20 µg/Lane)
Lane 2: TT cell lysate (20 µg/Lane)
Lane 3: A549 cell lysate (negative) (20 µg/Lane)
Lane 4: HeLa cell lysate (negative) (20 µg/Lane)
Lane 5: Mouse liver tissue lysate (40 µg/Lane)

Predicted band size: 39 kDa
Observed band size: 39/42 kDa

Exposure time: 25 seconds; ECL: K1801;

4-20% SDS-PAGE gel.

Proteins were transferred to a PVDF membrane and blocked with 5% NFDM/TBST for 1 hour at room temperature. The primary antibody (HA720067) at 1/1,000 dilution was used in 5% NFDM/TBST at 4℃ overnight. Goat Anti-Rabbit IgG - HRP Secondary Antibody (HA1001) at 1/50,000 dilution was used for 1 hour at room temperature.
HA720067_2.jpg Fig2: Fluorescence multiplex immunohistochemical analysis of mouse lung (Formalin/PFA-fixed paraffin-embedded sections). Panel A: the merged image of anti-TTF1 (HA720067, Red), anti-RAGE (ET1702-27, Green), anti-aSMA (ET1607-53, Cyan) and anti-Ki67 (HA721115, Yellow) on mouse lung. HRP Conjugated UltraPolymer Goat Polyclonal Antibody HA1119/HA1120 was used as a secondary antibody. The immunostaining was performed with the Sequential Immuno-staining Kit (IRISKit™MH010101, www.luminiris.cn). The section was incubated in four rounds of staining: in the order of HA720067 (1/4,000 dilution), ET1702-27 (1/3,000 dilution), ET1607-53 (1/10,000 dilution) and HA721115 (1/3,000 dilution) for 20 mins at room temperature. Each round was followed by a separate fluorescent tyramide signal amplification system. Heat mediated antigen retrieval with Tris-EDTA buffer (pH 9.0) for 30 mins at 95℃. DAPI (blue) was used as a nuclear counter stain. Image acquisition was performed with Olympus VS200 Slide Scanner.
HA720067_3.jpg Fig3: Fluorescence multiplex immunohistochemical analysis of mouse lung (Formalin/PFA-fixed paraffin-embedded sections). Panel A: the merged image of anti-Ki67 (HA721115, Green) and anti-TTF1 (HA720067, Red) on lung. HRP Conjugated UltraPolymer Goat Polyclonal Antibody HA1119/HA1120 was used as a secondary antibody. The immunostaining was performed with the Sequential Immuno-staining Kit (IRISKit™MH010101, www.luminiris.cn). The section was incubated in two rounds of staining: in the order of HA721115 (1/3,000 dilution) and HA720067 (1/4,000 dilution) for 20 mins at room temperature. Each round was followed by a separate fluorescent tyramide signal amplification system. Heat mediated antigen retrieval with Tris-EDTA buffer (pH 9.0) for 30 mins at 95℃. DAPI (blue) was used as a nuclear counter stain. Image acquisition was performed with Zeiss Observer 7 Inverted Fluorescence Microscope.
HA720067_4.jpg Fig4: Application: IHC-Fr

Species: Mouse

Site: Lung

Sample: Frozen section

Antibody concentration: 1/500

Antigen retrieval: Not required
HA720067_5.jpg Fig5: Immunohistochemical analysis of paraffin-embedded human thyroid cancer tissue with Rabbit anti-TTF1 antibody (HA720067) at 1/8,000 dilution.

The section was pre-treated using heat mediated antigen retrieval with sodium citrate buffer (pH 6.0) (high pressure) for 2 minutes. The tissues were blocked in 1% BSA for 20 minutes at room temperature, washed with ddH2O and PBS, and then probed with the primary antibody (HA720067) at 1/8,000 dilution for 1 hour at room temperature. The detection was performed using an HRP conjugated compact polymer system. DAB was used as the chromogen. Tissues were counterstained with hematoxylin and mounted with DPX.
HA720067_6.jpg Fig6: Immunohistochemical analysis of paraffin-embedded human thyroid tissue with Rabbit anti-TTF1 antibody (HA720067) at 1/4,000 dilution.

The section was pre-treated using heat mediated antigen retrieval with sodium citrate buffer (pH 6.0) (high pressure) for 2 minutes. The tissues were blocked in 1% BSA for 20 minutes at room temperature, washed with ddH2O and PBS, and then probed with the primary antibody (HA720067) at 1/4,000 dilution for 1 hour at room temperature. The detection was performed using an HRP conjugated compact polymer system. DAB was used as the chromogen. Tissues were counterstained with hematoxylin and mounted with DPX.
HA720067_7.jpg Fig7: Immunohistochemical analysis of paraffin-embedded human lung cancer tissue with Rabbit anti-TTF1 antibody (HA720067) at 1/8,000 dilution.

The section was pre-treated using heat mediated antigen retrieval with sodium citrate buffer (pH 6.0) (high pressure) for 2 minutes. The tissues were blocked in 1% BSA for 20 minutes at room temperature, washed with ddH2O and PBS, and then probed with the primary antibody (HA720067) at 1/8,000 dilution for 1 hour at room temperature. The detection was performed using an HRP conjugated compact polymer system. DAB was used as the chromogen. Tissues were counterstained with hematoxylin and mounted with DPX.
HA720067_8.jpg Fig8: Immunohistochemical analysis of paraffin-embedded mouse lung tissue with Rabbit anti-TTF1 antibody (HA720067) at 1/8,000 dilution.

The section was pre-treated using heat mediated antigen retrieval with sodium citrate buffer (pH 6.0) (high pressure) for 2 minutes. The tissues were blocked in 1% BSA for 20 minutes at room temperature, washed with ddH2O and PBS, and then probed with the primary antibody (HA720067) at 1/8,000 dilution for 1 hour at room temperature. The detection was performed using an HRP conjugated compact polymer system. DAB was used as the chromogen. Tissues were counterstained with hematoxylin and mounted with DPX.
HA720067_9.jpg Fig9: Immunohistochemical analysis of paraffin-embedded rat lung tissue with Rabbit anti-TTF1 antibody (HA720067) at 1/8,000 dilution.

The section was pre-treated using heat mediated antigen retrieval with sodium citrate buffer (pH 6.0) (high pressure) for 2 minutes. The tissues were blocked in 1% BSA for 20 minutes at room temperature, washed with ddH2O and PBS, and then probed with the primary antibody (HA720067) at 1/8,000 dilution for 1 hour at room temperature. The detection was performed using an HRP conjugated compact polymer system. DAB was used as the chromogen. Tissues were counterstained with hematoxylin and mounted with DPX.
HA720067_10.jpg Fig10: Immunohistochemical analysis of paraffin-embedded human colon cancer tissue (negative) with Rabbit anti-TTF1 antibody (HA720067) at 1/4,000 dilution.

The section was pre-treated using heat mediated antigen retrieval with sodium citrate buffer (pH 6.0) (high pressure) for 2 minutes. The tissues were blocked in 1% BSA for 20 minutes at room temperature, washed with ddH2O and PBS, and then probed with the primary antibody (HA720067) at 1/4,000 dilution for 1 hour at room temperature. The detection was performed using an HRP conjugated compact polymer system. DAB was used as the chromogen. Tissues were counterstained with hematoxylin and mounted with DPX.
HA720067_11.jpg Fig11: Immunocytochemistry analysis of TT (positive) and A549 (negative) labeling TTF1 with Rabbit anti-TTF1 antibody (HA720067) at 1/500 dilution.

Cells were fixed in 4% paraformaldehyde for 15 minutes at room temperature, permeabilized with 0.1% Triton X-100 in PBS for 15 minutes at room temperature, then blocked with 1% BSA in 10% negative goat serum for 1 hour at room temperature. Cells were then incubated with Rabbit anti-TTF1 antibody (HA720067) at 1/500 dilution in 1% BSA in PBST overnight at 4 ℃. Goat Anti-Rabbit IgG H&L (iFluor™ 488, HA1121) was used as the secondary antibody at 1/1,000 dilution. PBS instead of the primary antibody was used as the secondary antibody only control. Nuclear DNA was labelled in blue with DAPI.

Beta tubulin (HA601187, red) was stained at 1/100 dilution overnight at +4℃. Goat Anti-Mouse IgG H&L (iFluor™ 594, HA1126) was used as the secondary antibody at 1/1,000 dilution.
HA720067_12.jpg Fig12: Application: IF-Tissue

Species: Mouse

Site: lung

Sample: Paraffin-embedded section

Antibody concentration: 1/500
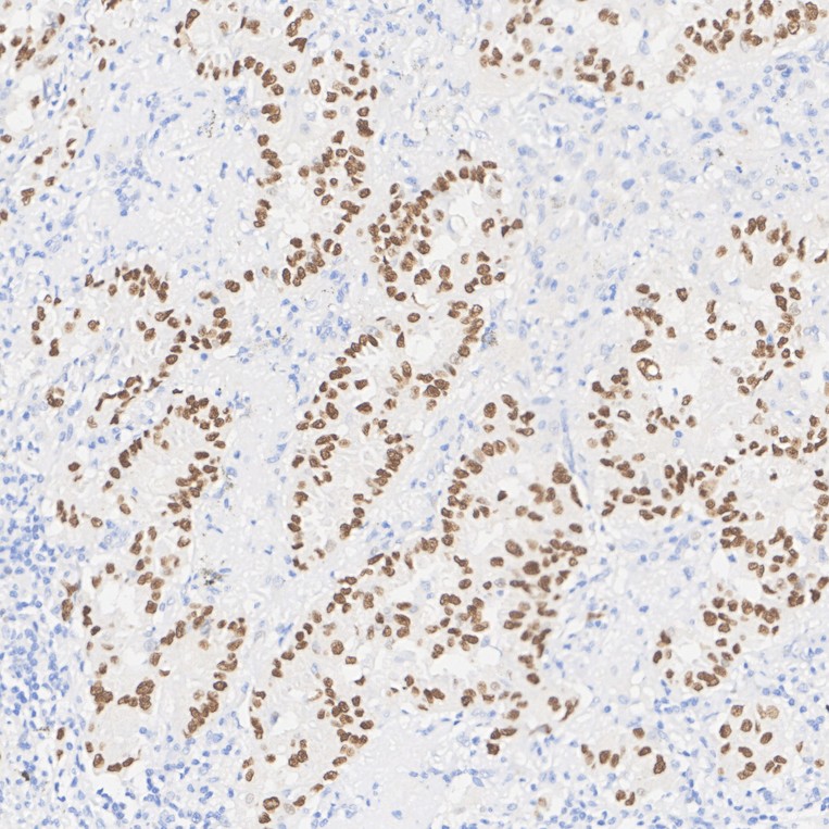
HA720067_13.jpg Fig13: Immunohistochemical analysis of paraffin-embedded human Lung adenocarcinoma tissue with Rabbit anti-TTF1 antibody (HA720067) at 1/400 dilution.

Heat mediated antigen retrieval with Tris-EDTA buffer (pH 9.0, epitope retrieval solution 2) for 20 mins. The section was incubated with HA720067 for 30 mins at room temperature. The immunostaining was performed on a Leica Biosystems BOND® RX instrument. DAB was used as the chromogen. Tissues were counterstained with hematoxylin and mounted with DPX.
Note: All products are “FOR RESEARCH USE ONLY AND ARE NOT INTENDED FOR DIAGNOSTIC OR THERAPEUTIC USE”.