FHL1 Recombinant Rabbit Monoclonal Antibody [JE40-35]
cat.: HA720075
Product Type: Recombinant Rabbit monoclonal IgG, primary antibodies
Species reactivity: Human, Mouse, Rat
Applications: WB, IHC-P
Clonality: Monoclonal
Clone number: JE40-35
Form: Liquid
Storage condition: Shipped at 4℃. Store at +4℃ short term (1-2 weeks). It is recommended to aliquot into single-use upon delivery. Store at -20℃ long term.
Storage buffer: 1*TBS (pH7.4), 0.05% BSA, 40% Glycerol. Preservative: 0.05% Sodium Azide.
Concentration: 1ug/ul
Purification: Protein A affinity purified.
Molecular weight: Predicted band size: 36 kDa
Isotype: IgG
Immunogen: Synthetic peptide within human FHL1 aa 6-55/323.
Positive control: Human kidney tissue, mouse kidney tissue, rat kidney tissue, Jurkat cell lysate, Rat testis tissue lysate.
Subcellular location: Cytoplasm, Nucleus.
Recommended Dilutions:
  WB
  IHC-P

1:500-1:1,000
1:200
Uniprot #: SwissProt: Q13642 Human | P97447 Mouse | Q9WUH4 Rat
Alternative names: bA535K18.1 FHL 1 FHL 1B FHL-1 FHL1 FHL1 protein FHL1_HUMAN FHL1A FHL1B FLH1A Four and a half LIM domains 1 Four and a half LIM domains protein 1 Four and a half Lin11 Isl 1 and Mec 3 domains 1 four-and-a-half Lin11 Isl-1 and Mec-3 KYO T KYOT, mouse, homolog of LIM protein SLIMMER MGC111107 RAM14-1 RBMX1A RBMX1B RBP associated molecule 14-1 RP11-535K18.1 Skeletal muscle LIM protein 1 Skeletal muscle LIM-protein 1 SLIM 1 SLIM SLIM-1 SLIM1 SLIMMER XMPMA
Images
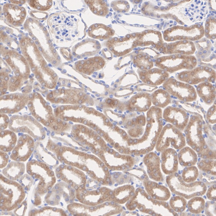
HA720075_1.jpg Fig1: Immunohistochemical analysis of paraffin-embedded human kidney tissue with Rabbit anti-FHL1 antibody (HA720075) at 1/200 dilution.

The section was pre-treated using heat mediated antigen retrieval with Tris-EDTA buffer (pH 9.0) for 20 minutes. The tissues were blocked in 1% BSA for 20 minutes at room temperature, washed with ddH2O and PBS, and then probed with the primary antibody (HA720075) at 1/200 dilution for 1 hour at room temperature. The detection was performed using an HRP conjugated compact polymer system. DAB was used as the chromogen. Tissues were counterstained with hematoxylin and mounted with DPX.
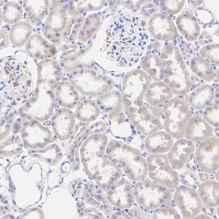
HA720075_2.jpg Fig2: Immunohistochemical analysis of paraffin-embedded mouse kidney tissue with Rabbit anti-FHL1 antibody (HA720075) at 1/200 dilution.

The section was pre-treated using heat mediated antigen retrieval with Tris-EDTA buffer (pH 9.0) for 20 minutes. The tissues were blocked in 1% BSA for 20 minutes at room temperature, washed with ddH2O and PBS, and then probed with the primary antibody (HA720075) at 1/200 dilution for 1 hour at room temperature. The detection was performed using an HRP conjugated compact polymer system. DAB was used as the chromogen. Tissues were counterstained with hematoxylin and mounted with DPX.
HA720075_3.jpg Fig3: Immunohistochemical analysis of paraffin-embedded rat kidney tissue with Rabbit anti-FHL1 antibody (HA720075) at 1/200 dilution.

The section was pre-treated using heat mediated antigen retrieval with Tris-EDTA buffer (pH 9.0) for 20 minutes. The tissues were blocked in 1% BSA for 20 minutes at room temperature, washed with ddH2O and PBS, and then probed with the primary antibody (HA720075) at 1/200 dilution for 1 hour at room temperature. The detection was performed using an HRP conjugated compact polymer system. DAB was used as the chromogen. Tissues were counterstained with hematoxylin and mounted with DPX.
HA720075_4.jpg Fig4: Western blot analysis of FHL1 on different lysates. Proteins were transferred to a PVDF membrane and blocked with 5% NFDM/TBST for 1 hour at room temperature. The primary antibody (HA720075, 1/500) was used in 5% NFDM/TBST at room temperature for 2 hours. Goat Anti-Rabbit IgG - HRP Secondary Antibody (HA1001) at 1:200,000 dilution was used for 1 hour at room temperature.
Positive control:
Lane 1: Jurkat cell lysate
Lane 2: Rat testis tissue lysate
Note: All products are “FOR RESEARCH USE ONLY AND ARE NOT INTENDED FOR DIAGNOSTIC OR THERAPEUTIC USE”.