MRPS15 Recombinant Rabbit Monoclonal Antibody [JE62-21]
cat.: HA720106
Product Type: Recombinant Rabbit monoclonal IgG, primary antibodies
Species reactivity: Human
Applications: WB, IF-Cell, IHC-P, IP
Clonality: Monoclonal
Clone number: JE62-21
Form: Liquid
Storage condition: Shipped at 4℃. Store at +4℃ short term (1-2 weeks). It is recommended to aliquot into single-use upon delivery. Store at -20℃ long term.
Storage buffer: 1*TBS (pH7.4), 0.05% BSA, 40% Glycerol. Preservative: 0.05% Sodium Azide.
Concentration: 1ug/ul
Purification: Protein A affinity purified.
Molecular weight: Predicted band size: 30 kDa
Isotype: IgG
Immunogen: Recombinant protein within human MRPS15 aa 158-257/257.
Positive control: JAR cell lysate, HEK-293 cell lysate, HeLa cell lysate, human colon tissue, human breast carcinoma tissue, HeLa.
Subcellular location: Mitochondrion matrix.
Recommended Dilutions:
  WB
  IF-Cell
  IHC-P
  IP

1:2,000
1:50-1:100
1:400-1:1,000
1-2μg/sample
Uniprot #: SwissProt: P82914 Human
Alternative names: 28S ribosomal protein S15 28S ribosomal protein S15, mitochondrial [Precursor] DC37 FLJ11564 mitochondrial mitochondrial ribosomal protein S15 MPR S15 MRP-S15 MRPS15 RPMS15 RT15_HUMAN S15mt
Images
HA720106_1.jpg Fig1: Western blot analysis of MRPS15 on different lysates with Rabbit anti-MRPS15 antibody (HA720106) at 1/2,000 dilution.

Lane 1: JAR cell lysate
Lane 2: HEK-293 cell lysate
Lane 3: HeLa cell lysate

Lysates/proteins at 20 µg/Lane.

Predicted band size: 30 kDa
Observed band size: 23 kDa

Exposure time: 10 seconds; ECL: K1801;

4-20% SDS-PAGE gel.

Proteins were transferred to a PVDF membrane and blocked with 5% NFDM/TBST for 1 hour at room temperature. The primary antibody (HA720106) at 1/2,000 dilution was used in TBST at 4℃ overnight. Goat Anti-Rabbit IgG - HRP Secondary Antibody (HA1001) at 1/50,000 dilution was used for 1 hour at room temperature.
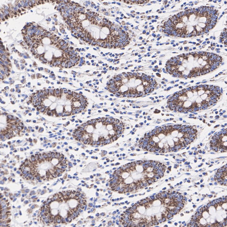
HA720106_2.jpg Fig2: Immunohistochemical analysis of paraffin-embedded human colon tissue with Rabbit anti-MRPS15 antibody (HA720106) at 1/1,000 dilution.

The section was pre-treated using heat mediated antigen retrieval with Tris-EDTA buffer (pH 9.0) for 20 minutes. The tissues were blocked in 1% BSA for 20 minutes at room temperature, washed with ddH2O and PBS, and then probed with the primary antibody (HA720106) at 1/1,000 dilution for 1 hour at room temperature. The detection was performed using an HRP conjugated compact polymer system. DAB was used as the chromogen. Tissues were counterstained with hematoxylin and mounted with DPX.
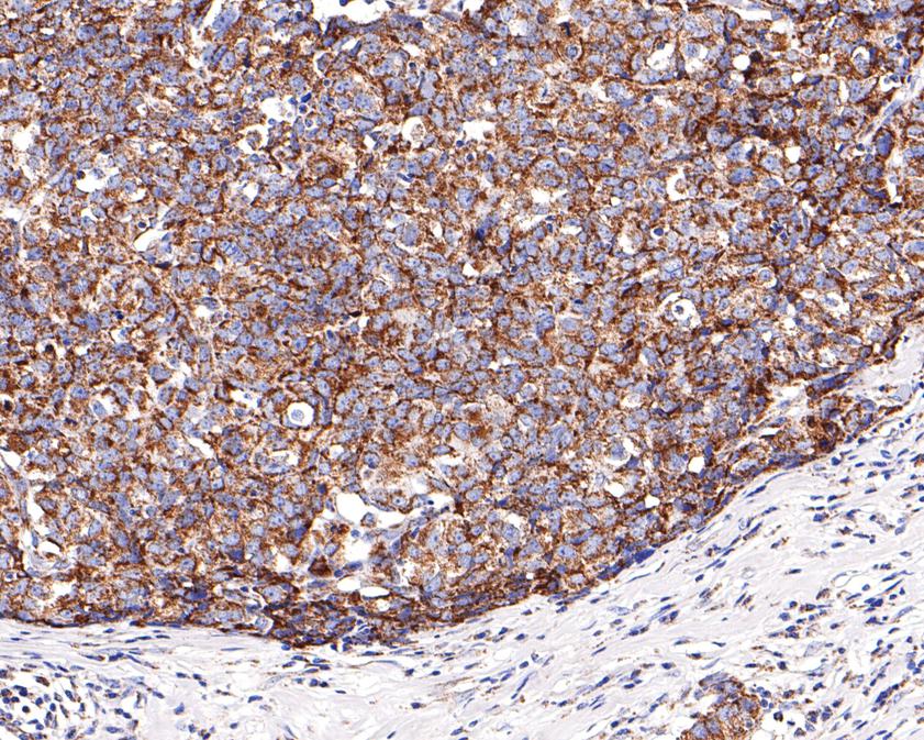
HA720106_3.jpg Fig3: Immunohistochemical analysis of paraffin-embedded human breast carcinoma tissue using anti-MRPS15 antibody. The section was pre-treated using heat mediated antigen retrieval with Tris-EDTA buffer (pH 9.0) for 20 minutes.The tissues were blocked in 1% BSA for 30 minutes at room temperature, washed with ddH2O and PBS, and then probed with the primary antibody (HA720106, 1/400) for 30 minutes at room temperature. The detection was performed using an HRP conjugated compact polymer system. DAB was used as the chromogen. Tissues were counterstained with hematoxylin and mounted with DPX.
HA720106_4.jpg Fig4: Immunocytochemistry analysis of HeLa cells labeling MRPS15 with Rabbit anti-MRPS15 antibody (HA720106) at 1/100 dilution.

Cells were fixed in 4% paraformaldehyde for 15 minutes at room temperature, permeabilized with 0.1% Triton X-100 in PBS for 15 minutes at room temperature, then blocked with 1% BSA in 10% negative goat serum for 1 hour at room temperature. Cells were then incubated with Rabbit anti-MRPS15 antibody (HA720106) at 1/100 dilution in 1% BSA in PBST overnight at 4 ℃. Goat Anti-Rabbit IgG H&L (iFluor™ 488, HA1121) was used as the secondary antibody at 1/1,000 dilution. PBS instead of the primary antibody was used as the secondary antibody only control. Counterstained with Mitotracker. Nuclear DNA was labelled in blue with DAPI.
HA720106_5.jpg Fig5: Immunocytochemistry analysis of HeLa cells labeling MRPS15 with Rabbit anti-MRPS15 antibody (HA720106) at 1/50 dilution.

Cells were fixed in 4% paraformaldehyde for 10 minutes at 37 ℃, permeabilized with 0.05% Triton X-100 in PBS for 20 minutes, and then blocked with 2% negative goat serum for 30 minutes at room temperature. Cells were then incubated with Rabbit anti-MRPS15 antibody (HA720106) at 1/50 dilution in 2% negative goat serum overnight at 4 ℃. Goat Anti-Rabbit IgG H&L (Alexa Fluor® 488) was used as the secondary antibody at 1/1,000 dilution. Nuclear DNA was labelled in blue with DAPI.

Beta tubulin (M1305-2, red) was stained at 1/200 dilution overnight at +4℃. Goat Anti-Mouse IgG H&L (Alexa Fluor® 647) were used as the secondary antibody at 1/1,000 dilution.
HA720106_6.jpg Fig6: MRPS15 was immunoprecipitated from 0.2 mg HeLa cell lysate with HA720106 at 2 µg/10 µl beads. Western blot was performed from the immunoprecipitate using HA720106 at 1/2,000 dilution. HRP Conjugated Anti-Rabbit IgG for IP Nano-secondary antibody at 1/5,000 dilution was used for 1 hour at room temperature.

Lane 1: HeLa cell lysate (input)
Lane 2: HA720106 IP in HeLa cell lysate
Lane 3: Rabbit IgG instead of HA720106 in HeLa cell lysate

Blocking/Dilution buffer: 5% NFDM/TBST
Exposure time: 18 seconds; ECL: K1801
Note: All products are “FOR RESEARCH USE ONLY AND ARE NOT INTENDED FOR DIAGNOSTIC OR THERAPEUTIC USE”.