HNF-4-alpha Recombinant Rabbit Monoclonal Antibody [JE63-17]
cat.: HA721006
Product Type: Recombinant Rabbit monoclonal IgG, primary antibodies
Species reactivity: Human, Mouse, Rat
Applications: WB, IHC-P, mIHC, IF-Tissue
Clonality: Monoclonal
Clone number: JE63-17
Form: Liquid
Storage condition: Shipped at 4℃. Store at +4℃ short term (1-2 weeks). It is recommended to aliquot into single-use upon delivery. Store at -20℃ long term.
Storage buffer: 1*TBS (pH7.4), 0.05% BSA, 40% Glycerol. Preservative: 0.05% Sodium Azide.
Concentration: 1ug/ul
Purification: Protein A affinity purified.
Molecular weight: Predicted band size: 53 kDa
Isotype: IgG
Immunogen: Recombinant protein within mouse HNF-4-alpha aa 1-250/474.
Positive control: HepG2 cell lysates, mouse liver tissue lysate, rat liver tissue lysate, human liver tissue, mouse liver tissue, rat colon tissue, human colon tissue, mouse colon tissue.
Subcellular location: Nucleus.
Recommended Dilutions:
  WB
  IHC-P
  mIHC
  IF-Tissue

1:500
1:400
1:100-1:5,000
1:200
Uniprot #: SwissProt: P41235 Human | P49698 Mouse | P22449 Rat
Alternative names: FLJ39654 FRTS4 Hepatic nuclear factor 4 alpha Hepatocyte nuclear factor 4 alpha Hepatocyte nuclear factor 4 Hepatocyte nuclear factor 4-alpha HNF 4 alpha HNF 4 HNF-4-alpha HNF4 HNF4A HNF4A_HUMAN HNF4a7 HNF4a8 HNF4a9 Hnf4alpha HNF4alpha10/11/12 MODY 1 MODY MODY1 NR2A1 NR2A21 Nuclear receptor subfamily 2 group A member 1 OTTHUMP00000031060 OTTHUMP00000031062 TCF 14 TCF TCF-14 TCF14 Tcf4 Transcription factor 14, hepatic nuclear factor Transcription factor 14 Transcription factor HNF 4 Transcription factor HNF-4 Transcription factor HNF4
Images
HA721006_1.jpg Fig1: Western blot analysis of HNF-4-alpha on HepG2 cell lysates with Rabbit anti-HNF-4-alpha antibody (HA721006) at 1/500 dilution.

Lysates/proteins at 10 µg/Lane.

Predicted band size: 53 kDa
Observed band size: 53 kDa

Exposure time: 30 seconds;

10% SDS-PAGE gel.

Proteins were transferred to a PVDF membrane and blocked with 5% NFDM/TBST for 1 hour at room temperature. The primary antibody (HA721006) at 1/500 dilution was used in 5% NFDM/TBST at room temperature for 2 hours. Goat Anti-Rabbit IgG - HRP Secondary Antibody (HA1001) at 1:200,000 dilution was used for 1 hour at room temperature.
HA721006_2.jpg Fig2: Western blot analysis of HNF-4-alpha on different lysates with Rabbit anti-HNF-4-alpha antibody (HA721006) at 1/500 dilution.

Lane 1: Mouse liver tissue lysate
Lane 2: Rat liver tissue lysate

Lysates/proteins at 20 µg/Lane.

Predicted band size: 53 kDa
Observed band size: 45~55 kDa

Exposure time: 2 minutes;

10% SDS-PAGE gel.

Proteins were transferred to a PVDF membrane and blocked with 5% NFDM/TBST for 1 hour at room temperature. The primary antibody (HA721006) at 1/500 dilution was used in 5% NFDM/TBST at room temperature for 2 hours. Goat Anti-Rabbit IgG - HRP Secondary Antibody (HA1001) at 1:200,000 dilution was used for 1 hour at room temperature.
HA721006_3.jpg Fig3: Fluorescence multiplex immunohistochemical analysis of mouse liver (Formalin/PFA-fixed paraffin-embedded sections). Panel A: the merged image of anti-HNF4α (HA721006, Cyan), anti-CK19 (ET1601-6, Magenta) and anti-aSMA (ET1607-53, Yellow) on liver. HRP Conjugated UltraPolymer Goat Polyclonal Antibody HA1119/HA1120 was used as a secondary antibody. The immunostaining was performed with the Sequential Immuno-staining Kit (IRISKit™MH010101, www.luminiris.cn). The section was incubated in three rounds of staining: in the order of HA721006 (1/5,000 dilution), ET1601-6 (1/10,000 dilution) and ET1607-53 (1/10,000 dilution) for 20 mins at room temperature. Each round was followed by a separate fluorescent tyramide signal amplification system. Heat mediated antigen retrieval with Tris-EDTA buffer (pH 9.0) for 30 mins at 95℃. DAPI (blue) was used as a nuclear counter stain. Image acquisition was performed with Olympus VS200 Slide Scanner.
HA721006_4.jpg Fig4: Fluorescence multiplex immunohistochemical analysis of mouse liver (Formalin/PFA-fixed paraffin-embedded sections). Panel A: the merged image of anti-Desmin (ET1606-30, White), anti-HNF4α (HA721006, Red) and anti-GS (EM1902-39, Yellow) on liver. HRP Conjugated UltraPolymer Goat Polyclonal Antibody HA1119/HA1120 was used as a secondary antibody. The immunostaining was performed with the Sequential Immuno-staining Kit (IRISKit™MH010101, www.luminiris.cn). The section was incubated in three rounds of staining: in the order of ET1606-30 (1/800 dilution), HA721006 (1/5,000 dilution) and EM1902-39 (1/2,000 dilution) for 20 mins at room temperature. Each round was followed by a separate fluorescent tyramide signal amplification system. Heat mediated antigen retrieval with Tris-EDTA buffer (pH 9.0) for 30 mins at 95℃. DAPI (blue) was used as a nuclear counter stain. Image acquisition was performed with Zeiss Observer 7 Inverted Fluorescence Microscope.
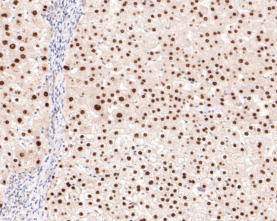
HA721006_5.jpg Fig5: Immunohistochemical analysis of paraffin-embedded human liver tissue with Rabbit anti-HNF-4-alpha antibody (HA721006) at 1/400 dilution.

The section was pre-treated using heat mediated antigen retrieval with sodium citrate buffer (pH 6.0) (high pressure) for 2 minutes. The tissues were blocked in 1% BSA for 20 minutes at room temperature, washed with ddH2O and PBS, and then probed with the primary antibody (HA721006) at 1/400 dilution for 1 hour at room temperature. The detection was performed using an HRP conjugated compact polymer system. DAB was used as the chromogen. Tissues were counterstained with hematoxylin and mounted with DPX.
HA721006_6.jpg Fig6: Fluorescence multiplex immunohistochemical analysis of mouse liver (Formalin/PFA-fixed paraffin-embedded sections). Panel A: the merged image of anti-Th (ET1611-12, Green), anti-HNF4a (HA721006, Magenta), anti-CK19 (ET1601-6, Cyan), anti-α-sma (ET1607-53, Red) and anti-β-catenin (ET1601-5, Yellow) on liver. HRP Conjugated UltraPolymer Goat Polyclonal Antibody HA1119/HA1120 was used as a secondary antibody. The immunostaining was performed with the Sequential Immuno-staining Kit (IRISKit™MH010101, www.luminiris.cn). The section was incubated in three rounds of staining: in the order of ET1611-12 (1/1,000 dilution), HA721006 (1/2,000 dilution), ET1601-6 (1/3,000 dilution), ET1607-53 (1/10,000 dilution) and ET1601-5 (1/2,000 dilution) for 20 mins at room temperature. Each round was followed by a separate fluorescent tyramide signal amplification system. Heat mediated antigen retrieval with Tris-EDTA buffer (pH 9.0) for 30 mins at 95℃. DAPI (blue) was used as a nuclear counter stain. Image acquisition was performed with Olympus VS200 Slide Scanner.
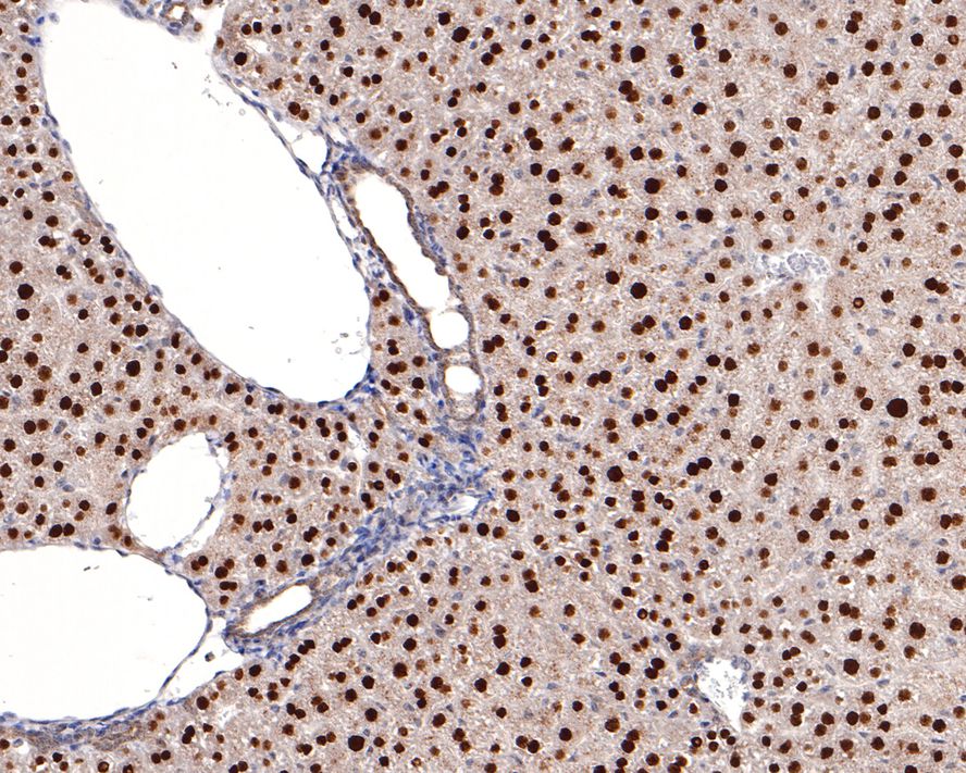
HA721006_7.jpg Fig7: Immunohistochemical analysis of paraffin-embedded mouse liver tissue with Rabbit anti-HNF-4-alpha antibody (HA721006) at 1/400 dilution.

The section was pre-treated using heat mediated antigen retrieval with sodium citrate buffer (pH 6.0) (high pressure) for 2 minutes. The tissues were blocked in 1% BSA for 20 minutes at room temperature, washed with ddH2O and PBS, and then probed with the primary antibody (HA721006) at 1/400 dilution for 1 hour at room temperature. The detection was performed using an HRP conjugated compact polymer system. DAB was used as the chromogen. Tissues were counterstained with hematoxylin and mounted with DPX.
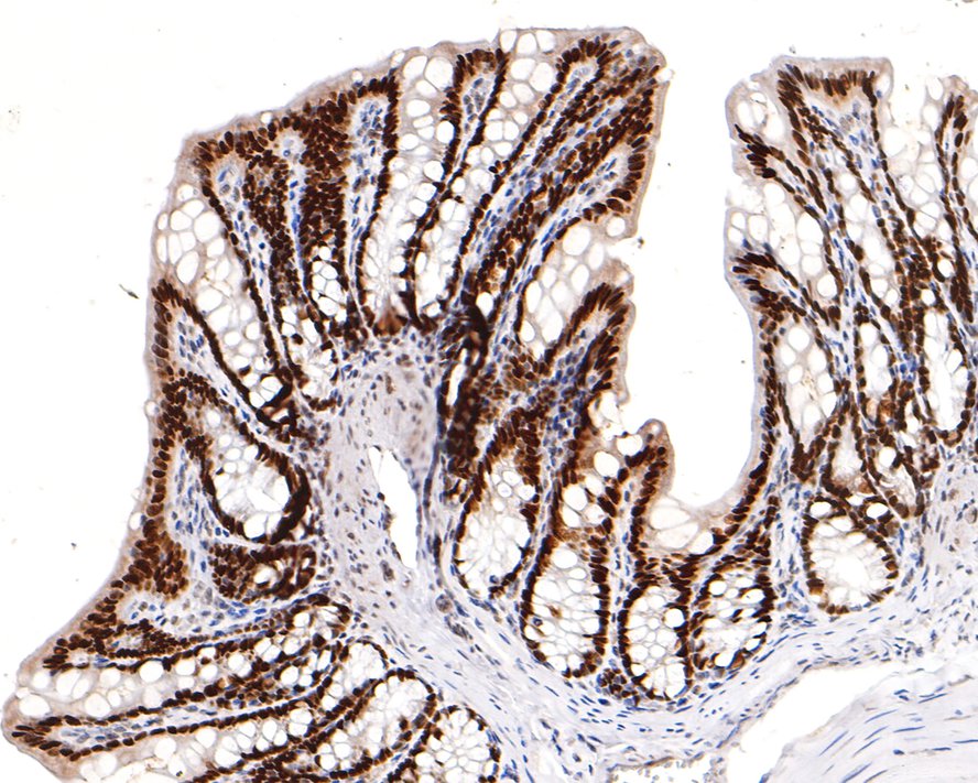
HA721006_8.jpg Fig8: Immunohistochemical analysis of paraffin-embedded rat colon tissue with Rabbit anti-HNF-4-alpha antibody (HA721006) at 1/400 dilution.

The section was pre-treated using heat mediated antigen retrieval with sodium citrate buffer (pH 6.0) (high pressure) for 2 minutes. The tissues were blocked in 1% BSA for 20 minutes at room temperature, washed with ddH2O and PBS, and then probed with the primary antibody (HA721006) at 1/400 dilution for 1 hour at room temperature. The detection was performed using an HRP conjugated compact polymer system. DAB was used as the chromogen. Tissues were counterstained with hematoxylin and mounted with DPX.
HA721006_9.jpg Fig9: Immunofluorescence analysis of paraffin-embedded human colon tissue labeling HNF-4-alpha with Rabbit anti-HNF-4-alpha antibody (HA721006) at 1/200 dilution.

The section was pre-treated using heat mediated antigen retrieval with sodium citrate buffer (pH 6.0) (high pressure) for 2 minutes. The tissues were blocked in 10% negative goat serum for 1 hour at room temperature, washed with PBS, and then probed with the primary antibody (HA721006, green) at 1/200 dilution overnight at 4 ℃, washed with PBS. Goat Anti-Rabbit IgG H&L (iFluor™ 488, HA1121) was used as the secondary antibody at 1/1,000 dilution. Nuclei were counterstained with DAPI (blue).
HA721006_10.jpg Fig10: Immunofluorescence analysis of paraffin-embedded mouse colon tissue labeling HNF-4-alpha with Rabbit anti-HNF-4-alpha antibody (HA721006) at 1/200 dilution.

The section was pre-treated using heat mediated antigen retrieval with sodium citrate buffer (pH 6.0) (high pressure) for 2 minutes. The tissues were blocked in 10% negative goat serum for 1 hour at room temperature, washed with PBS, and then probed with the primary antibody (HA721006, green) at 1/200 dilution overnight at 4 ℃, washed with PBS. Goat Anti-Rabbit IgG H&L (iFluor™ 488, HA1121) was used as the secondary antibody at 1/1,000 dilution. Nuclei were counterstained with DAPI (blue).
HA721006_11.jpg Fig11: Immunofluorescence analysis of paraffin-embedded rat colon tissue labeling HNF-4-alpha with Rabbit anti-HNF-4-alpha antibody (HA721006) at 1/200 dilution.

The section was pre-treated using heat mediated antigen retrieval with sodium citrate buffer (pH 6.0) (high pressure) for 2 minutes. The tissues were blocked in 10% negative goat serum for 1 hour at room temperature, washed with PBS, and then probed with the primary antibody (HA721006, green) at 1/200 dilution overnight at 4 ℃, washed with PBS. Goat Anti-Rabbit IgG H&L (iFluor™ 488, HA1121) was used as the secondary antibody at 1/1,000 dilution. Nuclei were counterstained with DAPI (blue).
Note: All products are “FOR RESEARCH USE ONLY AND ARE NOT INTENDED FOR DIAGNOSTIC OR THERAPEUTIC USE”.