IQGAP2 Recombinant Rabbit Monoclonal Antibody [JE64-54]
cat.: HA721041
Product Type: Recombinant Rabbit monoclonal IgG, primary antibodies
Species reactivity: Human
Applications: WB, IHC-P
Clonality: Monoclonal
Clone number: JE64-54
Form: Liquid
Storage condition: Shipped at 4℃. Store at +4℃ short term (1-2 weeks). It is recommended to aliquot into single-use upon delivery. Store at -20℃ long term.
Storage buffer: 1*TBS (pH7.4), 0.05% BSA, 40% Glycerol. Preservative: 0.05% Sodium Azide.
Concentration: 1ug/ul
Purification: Protein A affinity purified.
Molecular weight: Predicted band size: 181 kDa
Isotype: IgG
Immunogen: Recombinant protein within human IQGAP2 aa 1,301-1,500/1,575.
Positive control: Human placenta tissue lysates, human gallbladder tissue, human prostate tissue.
Subcellular location: Actin cytoskeleton, microtubule, cytosol, extracellular exosome, plasma membrane, cell surface, cytoplasm, filopodium, lamellipodium, microvillus, secretory granule membrane
Recommended Dilutions:
  WB
  IHC-P

1:1,000-1:2,000
1:100
Uniprot #: SwissProt: Q13576 Human
Alternative names: IQ motif containing GTPase activating protein 2 IQGA2_HUMAN Iqgap2 Ras GTPase activating-like protein Ras GTPase-activating-like protein IQGAP2
Images
HA721041_1.jpg Fig1: Western blot analysis of IQGAP2 on human placenta tissue lysates with Rabbit anti-IQGAP2 antibody (HA721041) at 1/1,000 dilution.

Lysates/proteins at 20 µg/Lane.

Predicted band size: 181 kDa
Observed band size: 181 kDa

Exposure time: 2 minutes;

6% SDS-PAGE gel.

Proteins were transferred to a PVDF membrane and blocked with 5% NFDM/TBST for 1 hour at room temperature. The primary antibody (HA721041) at 1/1,000 dilution was used in 5% NFDM/TBST at room temperature for 2 hours. Goat Anti-Rabbit IgG - HRP Secondary Antibody (HA1001) at 1/50,000 dilution was used for 1 hour at room temperature.
HA721041_2.jpg Fig2: Western blot analysis of IQGAP2 on different lysates with Rabbit anti-IQGAP2 antibody (HA721041) at 1/2,000 dilution.

Lane 1: HAP1-parental cell lysate
Lane 2: HAP1-IQGAP2 KD cell lysate

Lysates/proteins at 10 µg/Lane.

Predicted band size: 181 kDa
Observed band size: 181 kDa

Exposure time: 120 seconds; ECL: K1801;

4-20% SDS-PAGE gel.

Proteins were transferred to a PVDF membrane and blocked with 5% NFDM/TBST for 1 hour at room temperature. The primary antibody (HA721041) at 1/2,000 dilution was used in K1803 at 4℃ overnight. Goat Anti-Rabbit IgG - HRP Secondary Antibody (HA1001) at 1/50,000 dilution was used for 1 hour at room temperature.
HA721041_3.jpg Fig3: Immunohistochemical analysis of paraffin-embedded human gallbladder tissue with Rabbit anti-IQGAP2 antibody (HA721041) at 1/100 dilution.

The section was pre-treated using heat mediated antigen retrieval with Tris-EDTA buffer (pH 9.0) for 20 minutes. The tissues were blocked in 1% BSA for 20 minutes at room temperature, washed with ddH2O and PBS, and then probed with the primary antibody (HA721041) at 1/100 dilution for 1 hour at room temperature. The detection was performed using an HRP conjugated compact polymer system. DAB was used as the chromogen. Tissues were counterstained with hematoxylin and mounted with DPX.
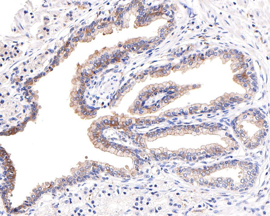
HA721041_4.jpg Fig4: Immunohistochemical analysis of paraffin-embedded human prostate tissue with Rabbit anti-IQGAP2 antibody (HA721041) at 1/100 dilution.

The section was pre-treated using heat mediated antigen retrieval with Tris-EDTA buffer (pH 9.0) for 20 minutes. The tissues were blocked in 1% BSA for 20 minutes at room temperature, washed with ddH2O and PBS, and then probed with the primary antibody (HA721041) at 1/100 dilution for 1 hour at room temperature. The detection was performed using an HRP conjugated compact polymer system. DAB was used as the chromogen. Tissues were counterstained with hematoxylin and mounted with DPX.
Note: All products are “FOR RESEARCH USE ONLY AND ARE NOT INTENDED FOR DIAGNOSTIC OR THERAPEUTIC USE”.