KCTD9 Recombinant Rabbit Monoclonal Antibody [JE64-67]
cat.: HA721042
Product Type: Recombinant Rabbit monoclonal IgG, primary antibodies
Species reactivity: Human
Applications: WB, IF-Cell, IHC-P, FC
Clonality: Monoclonal
Clone number: JE64-67
Form: Liquid
Storage condition: Shipped at 4℃. Store at +4℃ short term (1-2 weeks). It is recommended to aliquot into single-use upon delivery. Store at -20℃ long term.
Storage buffer: 1*TBS (pH7.4), 0.05% BSA, 40% Glycerol. Preservative: 0.05% Sodium Azide.
Concentration: 1ug/ul
Purification: Protein A affinity purified.
Molecular weight: Predicted band size: 43 kDa
Isotype: IgG
Immunogen: Synthetic peptide within human KCTD9 aa 51-100/389.
Positive control: MCF-7 cell lysate, HepG2 cell lysate, SiHa cell lysate, HepG2, MCF7, human prostate tissue, human pancreas tissue.
Subcellular location: Nucleoplasm, Intermediate filaments and Cytosol.
Recommended Dilutions:
  WB
  IF-Cell
  IHC-P
  FC

1:500
1:200-1:500
1:400
1:1,000
Uniprot #: SwissProt: Q7L273 Human
Alternative names: BTB/POZ domain containing protein KCTD9 BTBD27 FLJ20038 KCTD 9 Potassium channel tetramerisation domain containing 9
Images
HA721042_1.jpg Fig1: Western blot analysis of KCTD9 on different lysates with Rabbit anti-KCTD9 antibody (HA721042) at 1/500 dilution.

Lane 1: MCF-7 cell lysate
Lane 2: HepG2 cell lysate
Lane 3: SiHa cell lysate

Lysates/proteins at 10 µg/Lane.

Predicted band size: 43 kDa
Observed band size: 43 kDa

Exposure time: 30 seconds;
12% SDS-PAGE gel.

Proteins were transferred to a PVDF membrane and blocked with 5% NFDM/TBST for 1 hour at room temperature. The primary antibody (HA721042) at 1/500 dilution was used in 5% NFDM/TBST at room temperature for 2 hours. Goat Anti-Rabbit IgG - HRP Secondary Antibody (HA1001) at 1:300,000 dilution was used for 1 hour at room temperature.
HA721042_2.jpg Fig2: Immunocytochemistry analysis of HepG2 cells labeling KCTD9 with Rabbit anti-KCTD9 antibody (HA721042) at 1/500 dilution.

Cells were fixed in 4% paraformaldehyde for 15 minutes at room temperature, permeabilized with 0.1% Triton X-100 in PBS for 15 minutes at room temperature, then blocked with 1% BSA in 10% negative goat serum for 1 hour at room temperature. Cells were then incubated with Rabbit anti-KCTD9 antibody (HA721042) at 1/500 dilution in 1% BSA in PBST overnight at 4 ℃. Goat Anti-Rabbit IgG H&L (iFluor™ 488, HA1121) was used as the secondary antibody at 1/1,000 dilution. PBS instead of the primary antibody was used as the secondary antibody only control. Nuclear DNA was labelled in blue with DAPI.

Beta tubulin (HA601187, red) was stained at 1/100 dilution overnight at +4℃. Goat Anti-Mouse IgG H&L (iFluor™ 594, HA1126) was used as the secondary antibody at 1/1,000 dilution.
HA721042_3.jpg Fig3: Immunocytochemistry analysis of MCF7 cells labeling KCTD9 with Rabbit anti-KCTD9 antibody (HA721042) at 1/200 dilution.

Cells were fixed in 4% paraformaldehyde for 15 minutes at room temperature, permeabilized with 0.1% Triton X-100 in PBS for 15 minutes at room temperature, then blocked with 1% BSA in 10% negative goat serum for 1 hour at room temperature. Cells were then incubated with Rabbit anti-KCTD9 antibody (HA721042) at 1/200 dilution in 1% BSA in PBST overnight at 4 ℃. Goat Anti-Rabbit IgG H&L (iFluor™ 488, HA1121) was used as the secondary antibody at 1/1,000 dilution. PBS instead of the primary antibody was used as the secondary antibody only control. Nuclear DNA was labelled in blue with DAPI.

Beta tubulin (HA601187, red) was stained at 1/100 dilution overnight at +4℃. Goat Anti-Mouse IgG H&L (iFluor™ 594, HA1126) was used as the secondary antibody at 1/1,000 dilution.
HA721042_4.jpg Fig4: Immunohistochemical analysis of paraffin-embedded human prostate tissue with Rabbit anti-KCTD9 antibody (HA721042) at 1/400 dilution.

The section was pre-treated using heat mediated antigen retrieval with Tris-EDTA buffer (pH 9.0) for 20 minutes. The tissues were blocked in 1% BSA for 20 minutes at room temperature, washed with ddH2O and PBS, and then probed with the primary antibody (HA721042) at 1/400 dilution for 1 hour at room temperature. The detection was performed using an HRP conjugated compact polymer system. DAB was used as the chromogen. Tissues were counterstained with hematoxylin and mounted with DPX.
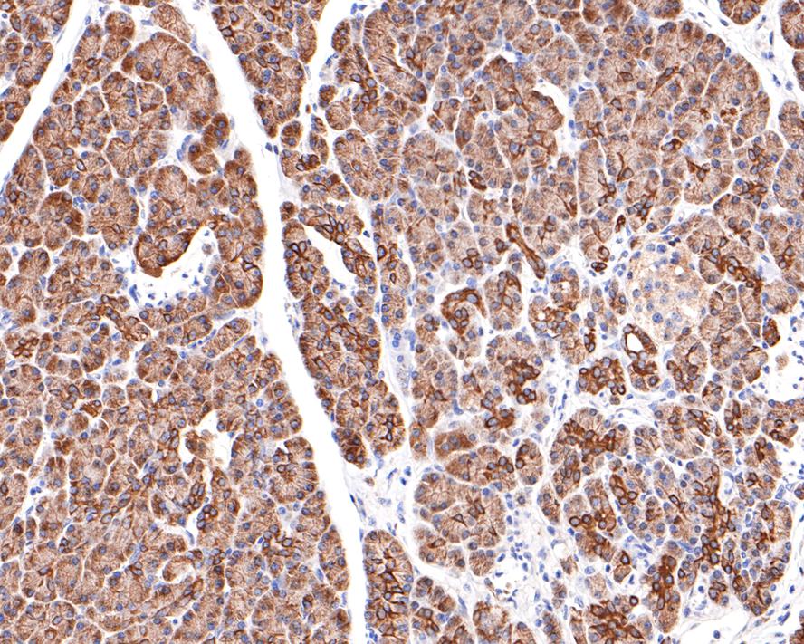
HA721042_5.jpg Fig5: Immunohistochemical analysis of paraffin-embedded human pancreas tissue with Rabbit anti-KCTD9 antibody (HA721042) at 1/400 dilution.

The section was pre-treated using heat mediated antigen retrieval with Tris-EDTA buffer (pH 9.0) for 20 minutes. The tissues were blocked in 1% BSA for 20 minutes at room temperature, washed with ddH2O and PBS, and then probed with the primary antibody (HA721042) at 1/400 dilution for 1 hour at room temperature. The detection was performed using an HRP conjugated compact polymer system. DAB was used as the chromogen. Tissues were counterstained with hematoxylin and mounted with DPX.
HA721042_6.jpg Fig6: Flow cytometric analysis of MCF7 cells labeling KCTD9.

Cells were fixed and permeabilized. Then stained with the primary antibody (HA721042, 1/1,000) (red) compared with Rabbit IgG Isotype Control (green). After incubation of the primary antibody at +4℃ for an hour, the cells were stained with a iFluor™ 488 conjugate-Goat anti-Rabbit IgG Secondary antibody (HA1121) at 1/1,000 dilution for 30 minutes at +4℃. Unlabelled sample was used as a control (cells without incubation with primary antibody; black).
Note: All products are “FOR RESEARCH USE ONLY AND ARE NOT INTENDED FOR DIAGNOSTIC OR THERAPEUTIC USE”.