AK2 Recombinant Rabbit Monoclonal Antibody [JE64-27]
cat.: HA721048
Product Type: Recombinant Rabbit monoclonal IgG, primary antibodies
Species reactivity: Human, Mouse, Rat
Applications: WB, IHC-P, IF-Cell
Clonality: Monoclonal
Clone number: JE64-27
Form: Liquid
Storage condition: Shipped at 4℃. Store at +4℃ short term (1-2 weeks). It is recommended to aliquot into single-use upon delivery. Store at -20℃ long term.
Storage buffer: 1*TBS (pH7.4), 0.05% BSA, 40% Glycerol. Preservative: 0.05% Sodium Azide.
Concentration: 1ug/ul
Purification: Protein A affinity purified.
Molecular weight: Predicted band size: 26 kDa
Isotype: IgG
Immunogen: Synthetic peptide within human AK2 aa 150-200/239.
Positive control: A549 cell lysate, HL-60 cell lysate, HepG2 cell lysate, Mouse liver cell lysate, Mouse kidney cell lysate, Rat liver cell lysate, Rat kidney cell lysate, human kidney tissue, mouse kidney tissue, rat kidney tissue, A375.
Subcellular location: Mitochondrion intermembrane space.
Recommended Dilutions:
  WB
  IHC-P
  IF-Cell

1:1,000-1:5,000
1:1,000
1:50
Uniprot #: SwissProt: P54819 Human | Q9WTP6 Mouse | P29410 Rat
Alternative names: Adenylate kinase 2 adenylate kinase 2, mitochondrial Adenylate kinase isoenzyme 2 ADK2 AK 2 ak2 ATP AMP transphosphorylase ATP-AMP transphosphorylase 2 EC 2.7.4.3 KAD2_HUMAN mitochondrial
Images
HA721048_1.jpg Fig1: Western blot analysis of AK2 on different lysates with Rabbit anti-AK2 antibody at 1/1,000 dilution.

Lane 1: A549 cell lysate
Lane 2: HL-60 cell lysate
Lane 3: HepG2 cell lysate

Lysates/proteins at 10 µg/Lane.

Predicted band size: 26 kDa
Observed band size: 26 kDa

Exposure time: 2 minutes;

12 % SDS-PAGE gel.

Proteins were transferred to a PVDF membrane and blocked with 5% NFDM/TBST for 1 hour at room temperature. The primary antibody AK2 at 1/1,000 dilution was used in 5% NFDM/TBST at room temperature for 2 hours. Goat Anti-Rabbit IgG - HRP Secondary Antibody (HA1001) at 1:300,000 dilution was used for 1 hour at room temperature.
HA721048_2.jpg Fig2: Western blot analysis of AK2 on different lysates with Rabbit anti-AK2 antibody at 1/5,000 dilution.

Lane 1: Mouse liver cell lysate
Lane 2: Mouse kidney cell lysate
Lane 3: Rat liver cell lysate
Lane 4: Rat kidney cell lysate

Lysates/proteins at 20 µg/Lane.

Predicted band size: 26 kDa
Observed band size: 26 kDa

Exposure time: 2 minutes;

12 % SDS-PAGE gel.

Proteins were transferred to a PVDF membrane and blocked with 5% NFDM/TBST for 1 hour at room temperature. The primary antibody AK2 at 1/5,000 dilution was used in 5% NFDM/TBST at room temperature for 2 hours. Goat Anti-Rabbit IgG - HRP Secondary Antibody (HA1001) at 1:300,000 dilution was used for 1 hour at room temperature.
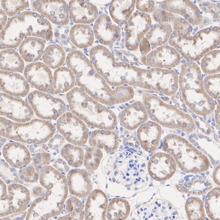
HA721048_3.jpg Fig3: Immunohistochemical analysis of paraffin-embedded human kidney tissue with Rabbit anti-AK2 antibody (HA721048) at 1/1,000 dilution.

The section was pre-treated using heat mediated antigen retrieval with Tris-EDTA buffer (pH 9.0) for 20 minutes. The tissues were blocked in 1% BSA for 20 minutes at room temperature, washed with ddH2O and PBS, and then probed with the primary antibody (HA721048) at 1/1,000 dilution for 1 hour at room temperature. The detection was performed using an HRP conjugated compact polymer system. DAB was used as the chromogen. Tissues were counterstained with hematoxylin and mounted with DPX.
HA721048_4.jpg Fig4: Immunohistochemical analysis of paraffin-embedded mouse kidney tissue with Rabbit anti-AK2 antibody (HA721048) at 1/1,000 dilution.

The section was pre-treated using heat mediated antigen retrieval with Tris-EDTA buffer (pH 9.0) for 20 minutes. The tissues were blocked in 1% BSA for 20 minutes at room temperature, washed with ddH2O and PBS, and then probed with the primary antibody (HA721048) at 1/1,000 dilution for 1 hour at room temperature. The detection was performed using an HRP conjugated compact polymer system. DAB was used as the chromogen. Tissues were counterstained with hematoxylin and mounted with DPX.
HA721048_5.jpg Fig5: Immunohistochemical analysis of paraffin-embedded rat kidney tissue with Rabbit anti-AK2 antibody (HA721048) at 1/1,000 dilution.

The section was pre-treated using heat mediated antigen retrieval with Tris-EDTA buffer (pH 9.0) for 20 minutes. The tissues were blocked in 1% BSA for 20 minutes at room temperature, washed with ddH2O and PBS, and then probed with the primary antibody (HA721048) at 1/1,000 dilution for 1 hour at room temperature. The detection was performed using an HRP conjugated compact polymer system. DAB was used as the chromogen. Tissues were counterstained with hematoxylin and mounted with DPX.
HA721048_6.jpg Fig6: Immunocytochemistry analysis of A375 cells labeling AK2 with Rabbit anti-AK2 antibody (HA721048) at 1/50 dilution.

Cells were fixed in 4% paraformaldehyde for 15 minutes at room temperature, permeabilized with 0.1% Triton X-100 in PBS for 15 minutes at room temperature, then blocked with 1% BSA in 10% negative goat serum for 1 hour at room temperature. Cells were then incubated with Rabbit anti-AK2 antibody (HA721048) at 1/50 dilution in 1% BSA in PBST overnight at 4 ℃. Goat Anti-Rabbit IgG H&L (iFluor™ 488, HA1121) was used as the secondary antibody at 1/1,000 dilution. PBS instead of the primary antibody was used as the secondary antibody only control. Nuclear DNA was labelled in blue with DAPI.

Beta tubulin (HA601187, red) was stained at 1/100 dilution overnight at +4℃. Goat Anti-Mouse IgG H&L (iFluor™ 594, HA1126) was used as the secondary antibody at 1/1,000 dilution.
Note: All products are “FOR RESEARCH USE ONLY AND ARE NOT INTENDED FOR DIAGNOSTIC OR THERAPEUTIC USE”.