EF-Ts Recombinant Rabbit Monoclonal Antibody [JE64-29]
cat.: HA721059
Product Type: Recombinant Rabbit monoclonal IgG, primary antibodies
Species reactivity: Human, Mouse
Applications: WB, IHC-P
Clonality: Monoclonal
Clone number: JE64-29
Form: Liquid
Storage condition: Shipped at 4℃. Store at +4℃ short term (1-2 weeks). It is recommended to aliquot into single-use upon delivery. Store at -20℃ long term.
Storage buffer: 1*TBS (pH7.4), 0.05% BSA, 40% Glycerol. Preservative: 0.05% Sodium Azide.
Concentration: 1ug/ul
Purification: Protein A affinity purified.
Molecular weight: Predicted band size: 35 kDa
Isotype: IgG
Immunogen: Recombinant protein within human EF-Ts aa 1-100/325.
Positive control: HepG2 cell lysate, Jurkat cell lysate, K562 cell lysate, Mouse liver tissue lysate, Mouse kidney tissue lysate, Hela cell lysates, human kidney tissue, mouse kidney tissue.
Subcellular location: Mitochondrion.
Recommended Dilutions:
  WB
  IHC-P

1:500
1:100-1:200
Uniprot #: SwissProt: P43897 Human | Q9CZR8 Mouse
Alternative names: COXPD 3 COXPD3 EF TS EF Tsmt EF-Ts EF-TsMt EFTS EFTS_HUMAN EFTSMT Elongation factor Ts Elongation factor Ts mitochondrial HGNC12367 mitochondrial Mitochondrial elongation factor Ts Ts translation elongation factor mitochondrial TSFM TSMT
Images
HA721059_1.jpg Fig1: Western blot analysis of EF-Ts on different lysates with Rabbit anti-EF-Ts antibody (HA721059) at 1/500 dilution.

Lane 1: HepG2 cell lysate, 10 µg/Lane
Lane 2: Jurkat cell lysate, 10 µg/Lane
Lane 3: K562 cell lysate, 10 µg/Lane
Lane 4: Mouse liver tissue lysate, 20 µg/Lane
Lane 5: Mouse kidney tissue lysate, 20 µg/Lane

Predicted band size: 35 kDa
Observed band size: 35 kDa

Exposure time: 1 minute;

12% SDS-PAGE gel.

Proteins were transferred to a PVDF membrane and blocked with 5% NFDM/TBST for 1 hour at room temperature. The primary antibody (HA721059) at 1/500 dilution was used in 5% NFDM/TBST at room temperature for 2 hours. Goat Anti-Rabbit IgG - HRP Secondary Antibody (HA1001) at 1:300,000 dilution was used for 1 hour at room temperature.
HA721059_2.jpg Fig2: Western blot analysis of EF-Ts on Hela cell lysates with Rabbit anti-EF-Ts antibody (HA721059) at 1/500 dilution.

Lysates/proteins at 10 µg/Lane.

Predicted band size: 35 kDa
Observed band size: 35 kDa

Exposure time: 1 minute;

15% SDS-PAGE gel.

Proteins were transferred to a PVDF membrane and blocked with 5% NFDM/TBST for 1 hour at room temperature. The primary antibody (HA721059) at 1/500 dilution was used in 5% NFDM/TBST at room temperature for 2 hours. Goat Anti-Rabbit IgG - HRP Secondary Antibody (HA1001) at 1:300,000 dilution was used for 1 hour at room temperature.
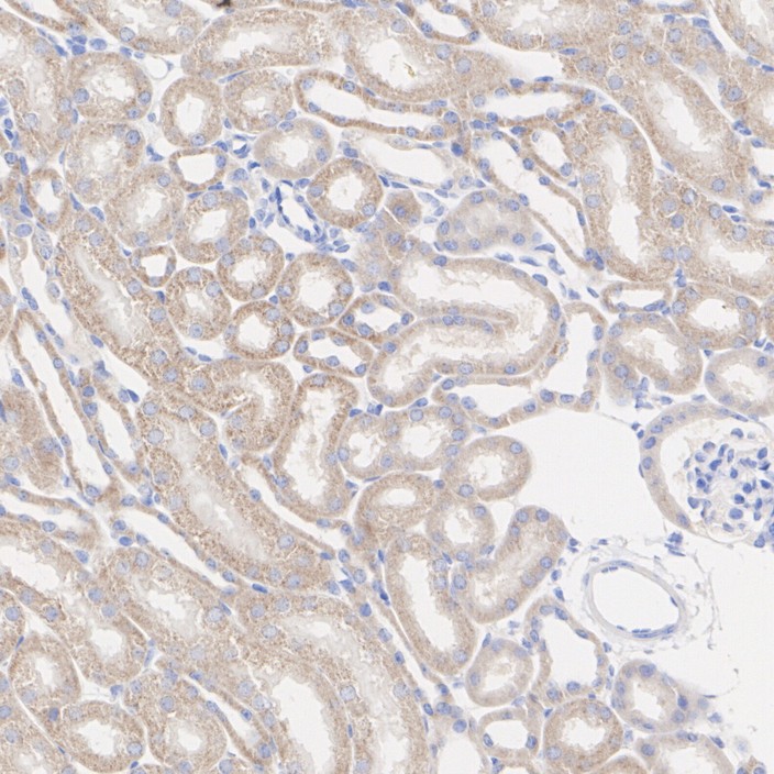
HA721059_3.jpg Fig3: Immunohistochemical analysis of paraffin-embedded human kidney tissue with Rabbit anti-EF-Ts antibody (HA721059) at 1/100 dilution.

The section was pre-treated using heat mediated antigen retrieval with Tris-EDTA buffer (pH 9.0) for 20 minutes. The tissues were blocked in 1% BSA for 20 minutes at room temperature, washed with ddH2O and PBS, and then probed with the primary antibody (HA721059) at 1/100 dilution for 1 hour at room temperature. The detection was performed using an HRP conjugated compact polymer system. DAB was used as the chromogen. Tissues were counterstained with hematoxylin and mounted with DPX.
HA721059_4.jpg Fig4: Immunohistochemical analysis of paraffin-embedded mouse kidney tissue with Rabbit anti-EF-Ts antibody (HA721059) at 1/200 dilution.

The section was pre-treated using heat mediated antigen retrieval with Tris-EDTA buffer (pH 9.0) for 20 minutes. The tissues were blocked in 1% BSA for 20 minutes at room temperature, washed with ddH2O and PBS, and then probed with the primary antibody (HA721059) at 1/200 dilution for 1 hour at room temperature. The detection was performed using an HRP conjugated compact polymer system. DAB was used as the chromogen. Tissues were counterstained with hematoxylin and mounted with DPX.
Note: All products are “FOR RESEARCH USE ONLY AND ARE NOT INTENDED FOR DIAGNOSTIC OR THERAPEUTIC USE”.