TMEM43 Recombinant Rabbit Monoclonal Antibody [JE65-15]
cat.: HA721083
Product Type: Recombinant Rabbit monoclonal IgG, primary antibodies
Species reactivity: Human, Mouse, Rat
Applications: WB, IHC-P
Clonality: Monoclonal
Clone number: JE65-15
Form: Liquid
Storage condition: Shipped at 4℃. Store at +4℃ short term (1-2 weeks). It is recommended to aliquot into single-use upon delivery. Store at -20℃ long term.
Storage buffer: 1*TBS (pH7.4), 0.05% BSA, 40% Glycerol. Preservative: 0.05% Sodium Azide.
Concentration: 1ug/ul
Purification: Protein A affinity purified.
Molecular weight: Predicted band size: 45 kDa
Isotype: IgG
Immunogen: Synthetic peptide within human TMEM43 aa 91-140/400.
Positive control: SiHa cell lysate, PC-3 cell lysate, THP-1 cell lysate, rat lung tissue, human ovary tissue, human kidney tissue, mouse esophagus tissue.
Subcellular location: Endoplasmic reticulum, Nucleus inner membrane.
Recommended Dilutions:
  WB
  IHC-P

1:500
1:100-1:400
Uniprot #: SwissProt: Q9BTV4 Human | Q9DBS1 Mouse | Q5XIP9 Rat
Alternative names: ARVC5 ARVD5 EDMD7 LUMA Protein LUMA Tmem43 TMM43_HUMAN Transmembrane protein 43
Images
HA721083_1.jpg Fig1: Western blot analysis of TMEM43 on different lysates with Rabbit anti-TMEM43 antibody (HA721083) at 1/500 dilution.

Lane 1: SiHa cell lysate
Lane 2: PC-3 cell lysate
Lane 3: THP-1 cell lysate

Lysates/proteins at 10 µg/Lane.

Predicted band size: 45 kDa
Observed band size: 41 kDa

Exposure time: 2 minutes;

12% SDS-PAGE gel.

Proteins were transferred to a PVDF membrane and blocked with 5% NFDM/TBST for 1 hour at room temperature. The primary antibody (HA721083) at 1/500 dilution was used in 5% NFDM/TBST at room temperature for 2 hours. Goat Anti-Rabbit IgG - HRP Secondary Antibody (HA1001) at 1:300,000 dilution was used for 1 hour at room temperature.
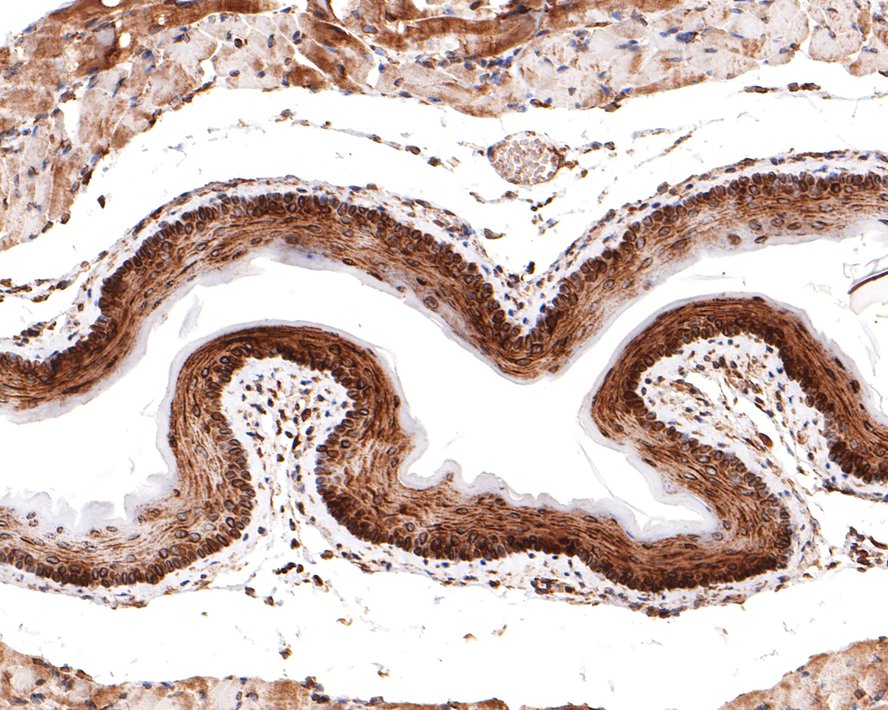
HA721083_2.jpg Fig2: Immunohistochemical analysis of paraffin-embedded rat lung tissue with Rabbit anti-TMEM43 antibody (HA721083) at 1/100 dilution.

The section was pre-treated using heat mediated antigen retrieval with sodium citrate buffer (pH 6.0) for 2 minutes. The tissues were blocked in 1% BSA for 20 minutes at room temperature, washed with ddH2O and PBS, and then probed with the primary antibody (HA721083) at 1/100 dilution for 1 hour at room temperature. The detection was performed using an HRP conjugated compact polymer system. DAB was used as the chromogen. Tissues were counterstained with hematoxylin and mounted with DPX.
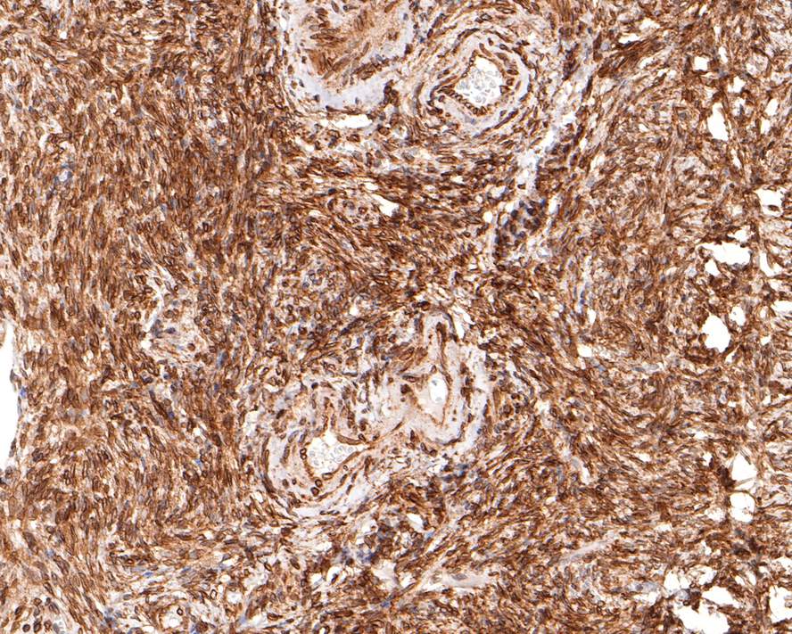
HA721083_3.jpg Fig3: Immunohistochemical analysis of paraffin-embedded human ovary tissue with Rabbit anti-TMEM43 antibody (HA721083) at 1/400 dilution.

The section was pre-treated using heat mediated antigen retrieval with sodium citrate buffer (pH 6.0) for 2 minutes. The tissues were blocked in 1% BSA for 20 minutes at room temperature, washed with ddH2O and PBS, and then probed with the primary antibody (HA721083) at 1/400 dilution for 1 hour at room temperature. The detection was performed using an HRP conjugated compact polymer system. DAB was used as the chromogen. Tissues were counterstained with hematoxylin and mounted with DPX.
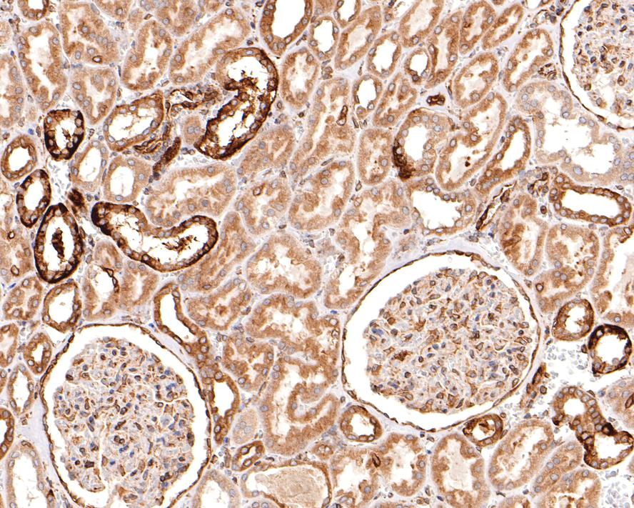
HA721083_4.jpg Fig4: Immunohistochemical analysis of paraffin-embedded human kidney tissue with Rabbit anti-TMEM43 antibody (HA721083) at 1/400 dilution.

The section was pre-treated using heat mediated antigen retrieval with sodium citrate buffer (pH 6.0) for 2 minutes. The tissues were blocked in 1% BSA for 20 minutes at room temperature, washed with ddH2O and PBS, and then probed with the primary antibody (HA721083) at 1/400 dilution for 1 hour at room temperature. The detection was performed using an HRP conjugated compact polymer system. DAB was used as the chromogen. Tissues were counterstained with hematoxylin and mounted with DPX.
HA721083_5.jpg Fig5: Immunohistochemical analysis of paraffin-embedded mouse esophagus tissue with Rabbit anti-TMEM43 antibody (HA721083) at 1/100 dilution.

The section was pre-treated using heat mediated antigen retrieval with sodium citrate buffer (pH 6.0) for 2 minutes. The tissues were blocked in 1% BSA for 20 minutes at room temperature, washed with ddH2O and PBS, and then probed with the primary antibody (HA721083) at 1/100 dilution for 1 hour at room temperature. The detection was performed using an HRP conjugated compact polymer system. DAB was used as the chromogen. Tissues were counterstained with hematoxylin and mounted with DPX.
Note: All products are “FOR RESEARCH USE ONLY AND ARE NOT INTENDED FOR DIAGNOSTIC OR THERAPEUTIC USE”.