GALT Recombinant Rabbit Monoclonal Antibody [JE64-66]
cat.: HA721092
Product Type: Recombinant Rabbit monoclonal IgG, primary antibodies
Species reactivity: Human, Mouse, Rat
Applications: WB, IHC-P
Clonality: Monoclonal
Clone number: JE64-66
Form: Liquid
Storage condition: Shipped at 4℃. Store at +4℃ short term (1-2 weeks). It is recommended to aliquot into single-use upon delivery. Store at -20℃ long term.
Storage buffer: 1*TBS (pH7.4), 0.05% BSA, 40% Glycerol. Preservative: 0.05% Sodium Azide.
Concentration: 1ug/ul
Purification: Protein A affinity purified.
Molecular weight: Predicted band size: 43 kDa
Isotype: IgG
Immunogen: Synthetic peptide within human GALT aa 41-90/379.
Positive control: Hela cell lysate, HepG2 cell lysate, rat brain tissue lysate, mouse kidney tissue lysate, rat bladder tissue, mouse large intestine tissue, human kidney tissue.
Subcellular location: Cytosol, Golgi apparatus, cytoplasm.
Recommended Dilutions:
  WB
  IHC-P

1:1,000
1:100-1:400
Uniprot #: SwissProt: P07902 Human | Q03249 Mouse | P43424 Rat
Alternative names: Gal 1 P uridylyltransferase Gal-1-P uridylyltransferase Galactose 1 phosphate uridyl transferase Galactose 1 phosphate uridylyltransferase Galactose-1-phosphate uridylyltransferase GALT GALT_HUMAN UDP glucose hexose 1 phosphate uridylyltransferase UDP-glucose--hexose-1-phosphate uridylyltransferase
Images
HA721092_1.jpg Fig1: Western blot analysis of GALT on different lysates with Rabbit anti-GALT antibody (HA721092) at 1/500 dilution.

Lane 1: Hela cell lysate (10 µg/Lane)
Lane 2: HepG2 cell lysate (10 µg/Lane)
Lane 3: Rat brain tissue lysate (20 µg/Lane)
Lane 4: Mouse kidney tissue lysate (20 µg/Lane)

Predicted band size: 43 kDa
Observed band size: 43 kDa

Exposure time: 2 minutes;

12% SDS-PAGE gel.

Proteins were transferred to a PVDF membrane and blocked with 5% NFDM/TBST for 1 hour at room temperature. The primary antibody (HA721092) at 1/500 dilution was used in 5% NFDM/TBST at room temperature for 2 hours. Goat Anti-Rabbit IgG - HRP Secondary Antibody (HA1001) at 1:300,000 dilution was used for 1 hour at room temperature.
HA721092_2.jpg Fig2: Western blot analysis of GALT on different lysates with Rabbit anti-GALT antibody (HA721092) at 1/1,000 dilution.

Lane 1: HAP1-parental cell lysate
Lane 2: HAP1-GALT KD cell lysate

Lysates/proteins at 10 µg/Lane.

Predicted band size: 43 kDa
Observed band size: 43 kDa

Exposure time: 62 seconds; ECL: K1801;

4-20% SDS-PAGE gel.

Proteins were transferred to a PVDF membrane and blocked with 5% NFDM/TBST for 1 hour at room temperature. The primary antibody (HA721092) at 1/1,000 dilution was used in K1803 at 4℃ overnight. Goat Anti-Rabbit IgG - HRP Secondary Antibody (HA1001) at 1/50,000 dilution was used for 1 hour at room temperature.
HA721092_3.jpg Fig3: Immunohistochemical analysis of paraffin-embedded rat bladder tissue with Rabbit anti-GALT antibody (HA721092) at 1/100 dilution.

The section was pre-treated using heat mediated antigen retrieval with Tris-EDTA buffer (pH 9.0) for 20 minutes. The tissues were blocked in 1% BSA for 20 minutes at room temperature, washed with ddH2O and PBS, and then probed with the primary antibody (HA721092) at 1/100 dilution for 1 hour at room temperature. The detection was performed using an HRP conjugated compact polymer system. DAB was used as the chromogen. Tissues were counterstained with hematoxylin and mounted with DPX.
HA721092_4.jpg Fig4: Immunohistochemical analysis of paraffin-embedded mouse large intestine tissue with Rabbit anti-GALT antibody (HA721092) at 1/400 dilution.

The section was pre-treated using heat mediated antigen retrieval with Tris-EDTA buffer (pH 9.0) for 20 minutes. The tissues were blocked in 1% BSA for 20 minutes at room temperature, washed with ddH2O and PBS, and then probed with the primary antibody (HA721092) at 1/400 dilution for 1 hour at room temperature. The detection was performed using an HRP conjugated compact polymer system. DAB was used as the chromogen. Tissues were counterstained with hematoxylin and mounted with DPX.
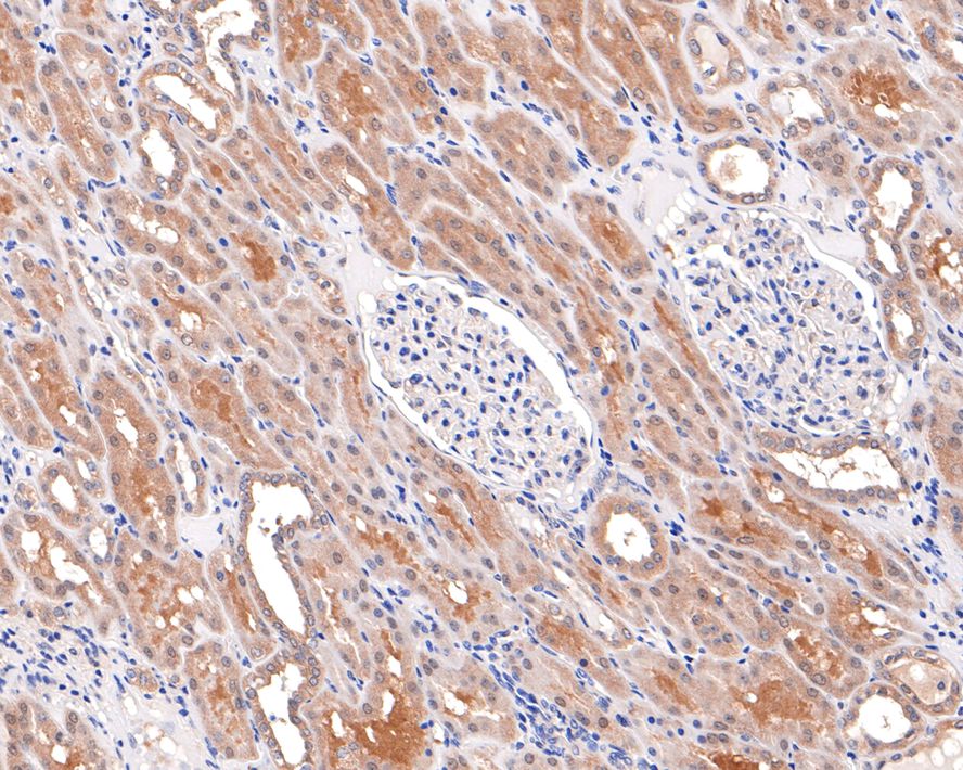
HA721092_5.jpg Fig5: Immunohistochemical analysis of paraffin-embedded human kidney tissue with Rabbit anti-GALT antibody (HA721092) at 1/400 dilution.

The section was pre-treated using heat mediated antigen retrieval with Tris-EDTA buffer (pH 9.0) for 20 minutes. The tissues were blocked in 1% BSA for 20 minutes at room temperature, washed with ddH2O and PBS, and then probed with the primary antibody (HA721092) at 1/400 dilution for 1 hour at room temperature. The detection was performed using an HRP conjugated compact polymer system. DAB was used as the chromogen. Tissues were counterstained with hematoxylin and mounted with DPX.
Note: All products are “FOR RESEARCH USE ONLY AND ARE NOT INTENDED FOR DIAGNOSTIC OR THERAPEUTIC USE”.