TMEM192 Recombinant Rabbit Monoclonal Antibody [JE64-89]
cat.: HA721106
Product Type: Recombinant Rabbit monoclonal IgG, primary antibodies
Species reactivity: Human, Mouse, Rat
Applications: WB, IHC-P
Clonality: Monoclonal
Clone number: JE64-89
Form: Liquid
Storage condition: Shipped at 4℃. Store at +4℃ short term (1-2 weeks). It is recommended to aliquot into single-use upon delivery. Store at -20℃ long term.
Storage buffer: 1*TBS (pH7.4), 0.05% BSA, 40% Glycerol. Preservative: 0.05% Sodium Azide.
Concentration: 1ug/ul
Purification: Protein A affinity purified.
Molecular weight: Predicted band size: 31 kDa
Isotype: IgG
Immunogen: Recombinant protein within human TMEM192 aa 1-271/271.
Positive control: HepG2 cell lysate, U-87 MG cell lysate, MCF7 cell lysate, Mouse testis tissue lysate, Rat testis tissue lysate, human prostate cancer tissue, human kidney tissue, mouse kidney tissue, rat kidney tissue.
Subcellular location: Late endosome, Lysosome membrane.
Recommended Dilutions:
  WB
  IHC-P

1:1,000-1:2,000
1:1,000
Uniprot #: SwissProt: Q8IY95 Human | Q9CXT7 Mouse | Q5U1Y0 Rat
Alternative names: FLJ38482 TM192_HUMAN TMEM192 Transmembrane protein 192
Images
HA721106_1.jpg Fig1: Western blot analysis of TMEM192 on different lysates with Rabbit anti-TMEM192 antibody (HA721106) at 1/2,000 dilution.

Lane 1: HAP1-parental cell lysate
Lane 2: HAP1-TMEM192 KD cell lysate

Lysates/proteins at 10 µg/Lane.

Predicted band size: 31 kDa
Observed band size: 31 kDa

Exposure time: 20 seconds; ECL: K1801;

4-20% SDS-PAGE gel.

Proteins were transferred to a PVDF membrane and blocked with 5% NFDM/TBST for 1 hour at room temperature. The primary antibody (HA721106) at 1/2,000 dilution was used in K1803 at 4℃ overnight. Goat Anti-Rabbit IgG - HRP Secondary Antibody (HA1001) at 1/50,000 dilution was used for 1 hour at room temperature.
HA721106_2.jpg Fig2: Western blot analysis of TMEM192 on different lysates with Rabbit anti-TMEM192 antibody (HA721106) at 1/1,000 dilution.

Lane 1: HepG2 cell lysate (10 µg/Lane)
Lane 2: U-87 MG cell lysate (10 µg/Lane)
Lane 3: MCF7 cell lysate (10 µg/Lane)
Lane 4: Mouse testis tissue lysate (20 µg/Lane)
Lane 5: Rat testis tissue lysate (20 µg/Lane)

Predicted band size: 31 kDa
Observed band size: 31 kDa

Exposure time: 25 seconds; ECL: K1801;

4-20% SDS-PAGE gel.

Proteins were transferred to a PVDF membrane and blocked with 5% NFDM/TBST for 1 hour at room temperature. The primary antibody (HA721106) at 1/1,000 dilution was used in 5% NFDM/TBST at 4℃ overnight. Goat Anti-Rabbit IgG - HRP Secondary Antibody (HA1001) at 1/50,000 dilution was used for 1 hour at room temperature.
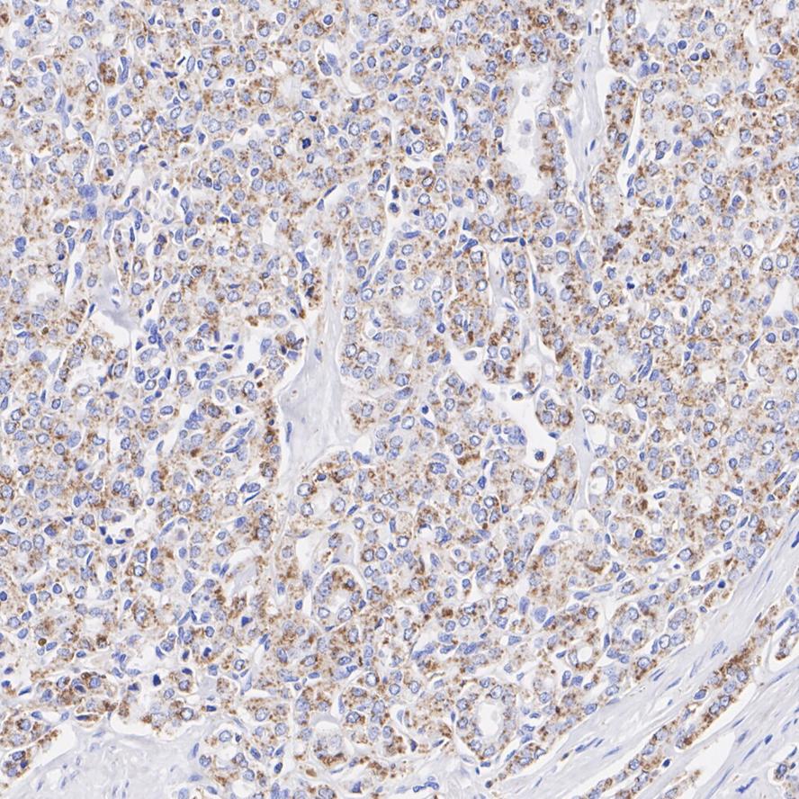
HA721106_3.jpg Fig3: Immunohistochemical analysis of paraffin-embedded human prostate cancer tissue with Rabbit anti-TMEM192 antibody (HA721106) at 1/1,000 dilution.

The section was pre-treated using heat mediated antigen retrieval with Tris-EDTA buffer (pH 9.0) for 20 minutes. The tissues were blocked in 1% BSA for 20 minutes at room temperature, washed with ddH2O and PBS, and then probed with the primary antibody (HA721106) at 1/1,000 dilution for 1 hour at room temperature. The detection was performed using an HRP conjugated compact polymer system. DAB was used as the chromogen. Tissues were counterstained with hematoxylin and mounted with DPX.
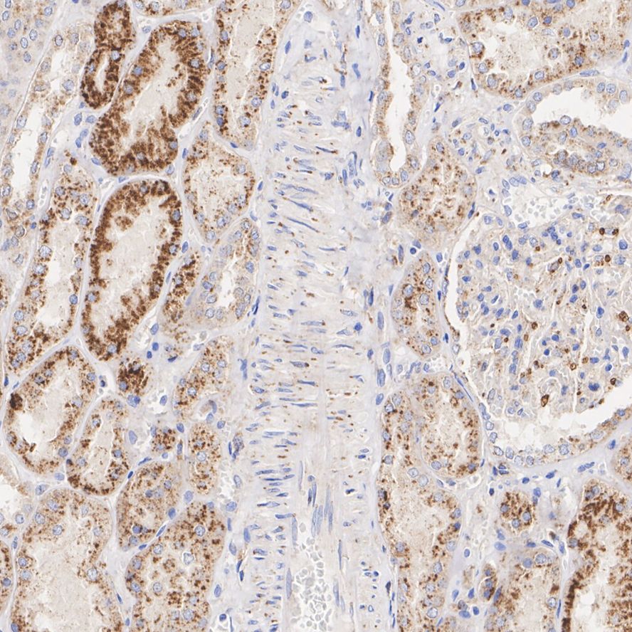
HA721106_4.jpg Fig4: Immunohistochemical analysis of paraffin-embedded human kidney tissue with Rabbit anti-TMEM192 antibody (HA721106) at 1/1,000 dilution.

The section was pre-treated using heat mediated antigen retrieval with Tris-EDTA buffer (pH 9.0) for 20 minutes. The tissues were blocked in 1% BSA for 20 minutes at room temperature, washed with ddH2O and PBS, and then probed with the primary antibody (HA721106) at 1/1,000 dilution for 1 hour at room temperature. The detection was performed using an HRP conjugated compact polymer system. DAB was used as the chromogen. Tissues were counterstained with hematoxylin and mounted with DPX.
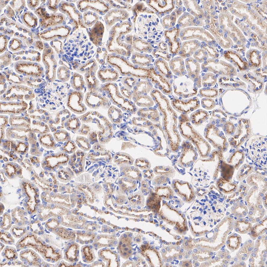
HA721106_5.jpg Fig5: Immunohistochemical analysis of paraffin-embedded mouse kidney tissue with Rabbit anti-TMEM192 antibody (HA721106) at 1/1,000 dilution.

The section was pre-treated using heat mediated antigen retrieval with Tris-EDTA buffer (pH 9.0) for 20 minutes. The tissues were blocked in 1% BSA for 20 minutes at room temperature, washed with ddH2O and PBS, and then probed with the primary antibody (HA721106) at 1/1,000 dilution for 1 hour at room temperature. The detection was performed using an HRP conjugated compact polymer system. DAB was used as the chromogen. Tissues were counterstained with hematoxylin and mounted with DPX.
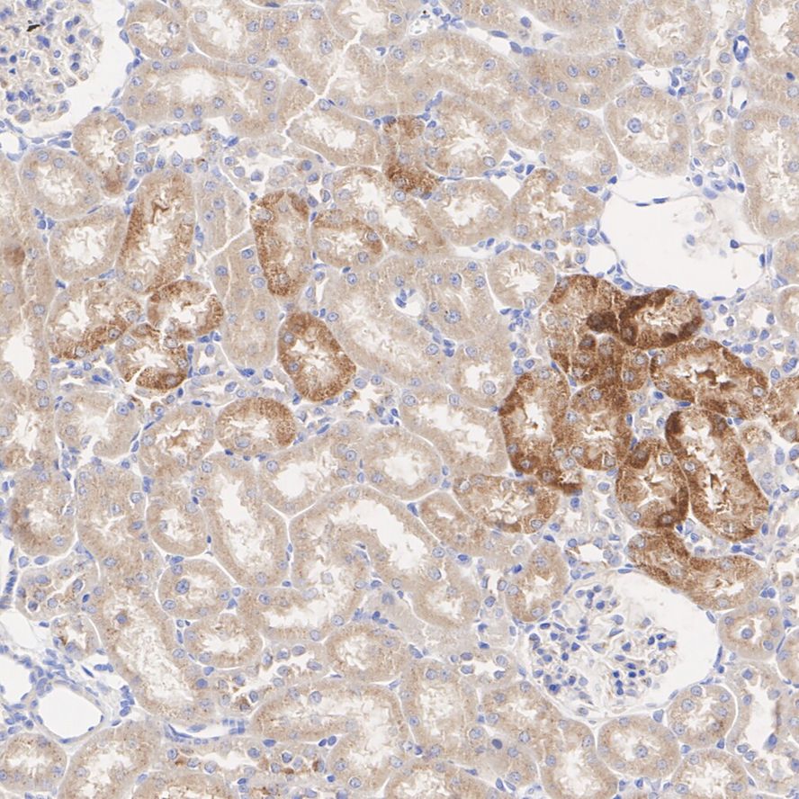
HA721106_6.jpg Fig6: Immunohistochemical analysis of paraffin-embedded rat kidney tissue with Rabbit anti-TMEM192 antibody (HA721106) at 1/1,000 dilution.

The section was pre-treated using heat mediated antigen retrieval with Tris-EDTA buffer (pH 9.0) for 20 minutes. The tissues were blocked in 1% BSA for 20 minutes at room temperature, washed with ddH2O and PBS, and then probed with the primary antibody (HA721106) at 1/1,000 dilution for 1 hour at room temperature. The detection was performed using an HRP conjugated compact polymer system. DAB was used as the chromogen. Tissues were counterstained with hematoxylin and mounted with DPX.
Note: All products are “FOR RESEARCH USE ONLY AND ARE NOT INTENDED FOR DIAGNOSTIC OR THERAPEUTIC USE”.