PCBP2 Recombinant Rabbit Monoclonal Antibody [JE65-05]
cat.: HA721109
Product Type: Recombinant Rabbit monoclonal IgG, primary antibodies
Species reactivity: Human, Mouse, Rat
Applications: WB, IHC-P, IF-Cell, FC
Clonality: Monoclonal
Clone number: JE65-05
Form: Liquid
Storage condition: Shipped at 4℃. Store at +4℃ short term (1-2 weeks). It is recommended to aliquot into single-use upon delivery. Store at -20℃ long term.
Storage buffer: 1*TBS (pH7.4), 0.05% BSA, 40% Glycerol. Preservative: 0.05% Sodium Azide.
Concentration: 1ug/ul
Purification: Protein A affinity purified.
Molecular weight: Predicted band size: 39 kDa
Isotype: IgG
Immunogen: Synthetic peptide within human PCBP2 aa 251-300/365.
Positive control: HEK-293 cell lysate, HeLa cell lysate, RAW264.7 cell lysate, Mouse brain tissue lysate, Mouse heart tissue lysate, Rat spleen tissue lysate, NIH/3T3 cell lysate, PC-12 cell lysate, C6 cell lysate, mouse brain tissue, rat brain tissue, HeLa, NIH/3T3, PC-12.
Subcellular location: Nucleus, Cytoplasm.
Recommended Dilutions:
  WB
  IHC-P
  IF-Cell
  FC

1:2,000-1:5,000
1:500
1:50
1:1,000
Uniprot #: SwissProt: Q15366 Human | Q61990 Mouse
Entrez Gene: 363005 Rat
Alternative names: Alpha CP2 Alpha-CP2 alphaCP-2 Cbp CTBP Heterogeneous nuclear ribonucleoprotein E2 Heterogenous nuclear ribonucleoprotein E2 hnRNP E2 hnRNP-E2 HNRNPE2 Hnrnpx HNRPE2 Hnrpx MGC110998 PCBP2 PCBP2_HUMAN poly(rC) binding protein 2 Poly(rC)-binding protein 2 Putative heterogeneous nuclear ribonucleoprotein X rCbinding protein 2
Images
HA721109_1.jpg Fig1: Western blot analysis of PCBP2 on different lysates with Rabbit anti-PCBP2 antibody (HA721109) at 1/2,000 dilution.

Lane 1: HEK-293 cell lysate (10 µg/Lane)
Lane 2: HeLa cell lysate (10 µg/Lane)
Lane 3: RAW264.7 cell lysate (10 µg/Lane)
Lane 4: Mouse brain tissue lysate (20 µg/Lane)
Lane 5: Mouse heart tissue lysate (20 µg/Lane)
Lane 6: Rat spleen tissue lysate (20 µg/Lane)

Predicted band size: 39 kDa
Observed band size: 39/42 kDa

Exposure time: Lane 1-3: 1 minute 34 seconds; Lane 4-6: 3 minutes; ECL: K1801;

4-20% SDS-PAGE gel.

Proteins were transferred to a PVDF membrane and blocked with 5% NFDM/TBST for 1 hour at room temperature. The primary antibody (HA721109) at 1/2,000 dilution was used in 5% NFDM/TBST at 4℃ overnight. Goat Anti-Rabbit IgG - HRP Secondary Antibody (HA1001) at 1/50,000 dilution was used for 1 hour at room temperature.
HA721109_2.jpg Fig2: Western blot analysis of PCBP2 on different lysates with Rabbit anti-PCBP2 antibody (HA721109) at 1/5,000 dilution.

Lane 1: NIH/3T3 cell lysate
Lane 2: RAW264.7 cell lysate
Lane 3: PC-12 cell lysate
Lane 4: C6 cell lysate

Lysates/proteins at 20 µg/Lane.

Predicted band size: 39 kDa
Observed band size: 39/42 kDa

Exposure time: 20 seconds; ECL: K1801;

4-20% SDS-PAGE gel.

Proteins were transferred to a PVDF membrane and blocked with 5% NFDM/TBST for 1 hour at room temperature. The primary antibody (HA721109) at 1/5,000 dilution was used in primary antibody dilution (K1803) at 4℃ overnight. Goat Anti-Rabbit IgG - HRP Secondary Antibody (HA1001) at 1/50,000 dilution was used for 1 hour at room temperature.
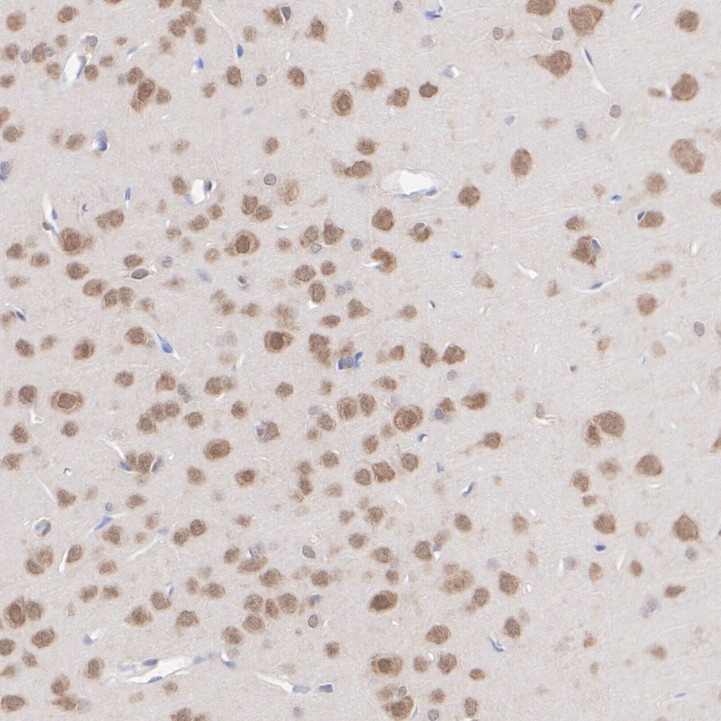
HA721109_3.jpg Fig3: Immunohistochemical analysis of paraffin-embedded mouse brain tissue with Rabbit anti-PCBP2 antibody (HA721109) at 1/500 dilution.

The section was pre-treated using heat mediated antigen retrieval with Tris-EDTA buffer (pH 9.0) for 20 minutes. The tissues were blocked in 1% BSA for 20 minutes at room temperature, washed with ddH2O and PBS, and then probed with the primary antibody (HA721109) at 1/500 dilution for 1 hour at room temperature. The detection was performed using an HRP conjugated compact polymer system. DAB was used as the chromogen. Tissues were counterstained with hematoxylin and mounted with DPX.
HA721109_4.jpg Fig4: Immunohistochemical analysis of paraffin-embedded rat brain tissue with Rabbit anti-PCBP2 antibody (HA721109) at 1/500 dilution.

The section was pre-treated using heat mediated antigen retrieval with Tris-EDTA buffer (pH 9.0) for 20 minutes. The tissues were blocked in 1% BSA for 20 minutes at room temperature, washed with ddH2O and PBS, and then probed with the primary antibody (HA721109) at 1/500 dilution for 1 hour at room temperature. The detection was performed using an HRP conjugated compact polymer system. DAB was used as the chromogen. Tissues were counterstained with hematoxylin and mounted with DPX.
HA721109_5.jpg Fig5: Immunocytochemistry analysis of HeLa cells labeling PCBP2 with Rabbit anti-PCBP2 antibody (HA721109) at 1/50 dilution.

Cells were fixed in 4% paraformaldehyde for 15 minutes at room temperature, permeabilized with 0.1% Triton X-100 in PBS for 15 minutes at room temperature, then blocked with 1% BSA in 10% negative goat serum for 1 hour at room temperature. Cells were then incubated with Rabbit anti-PCBP2 antibody (HA721109) at 1/50 dilution in 1% BSA in PBST overnight at 4 ℃. Goat Anti-Rabbit IgG H&L (iFluor™ 488, HA1121) was used as the secondary antibody at 1/1,000 dilution. PBS instead of the primary antibody was used as the secondary antibody only control. Nuclear DNA was labelled in blue with DAPI.

Beta tubulin (HA601187, red) was stained at 1/100 dilution overnight at +4℃. Goat Anti-Mouse IgG H&L (iFluor™ 594, HA1126) was used as the secondary antibody at 1/1,000 dilution.
HA721109_6.jpg Fig6: Immunocytochemistry analysis of NIH/3T3 cells labeling PCBP2 with Rabbit anti-PCBP2 antibody (HA721109) at 1/50 dilution.

Cells were fixed in 4% paraformaldehyde for 15 minutes at room temperature, permeabilized with 0.1% Triton X-100 in PBS for 15 minutes at room temperature, then blocked with 1% BSA in 10% negative goat serum for 1 hour at room temperature. Cells were then incubated with Rabbit anti-PCBP2 antibody (HA721109) at 1/50 dilution in 1% BSA in PBST overnight at 4 ℃. Goat Anti-Rabbit IgG H&L (iFluor™ 488, HA1121) was used as the secondary antibody at 1/1,000 dilution. PBS instead of the primary antibody was used as the secondary antibody only control. Nuclear DNA was labelled in blue with DAPI.

Beta tubulin (HA601187, red) was stained at 1/100 dilution overnight at +4℃. Goat Anti-Mouse IgG H&L (iFluor™ 594, HA1126) was used as the secondary antibody at 1/1,000 dilution.
HA721109_7.jpg Fig7: Immunocytochemistry analysis of PC-12 cells labeling PCBP2 with Rabbit anti-PCBP2 antibody (HA721109) at 1/50 dilution.

Cells were fixed in 4% paraformaldehyde for 15 minutes at room temperature, permeabilized with 0.1% Triton X-100 in PBS for 15 minutes at room temperature, then blocked with 1% BSA in 10% negative goat serum for 1 hour at room temperature. Cells were then incubated with Rabbit anti-PCBP2 antibody (HA721109) at 1/50 dilution in 1% BSA in PBST overnight at 4 ℃. Goat Anti-Rabbit IgG H&L (iFluor™ 488, HA1121) was used as the secondary antibody at 1/1,000 dilution. PBS instead of the primary antibody was used as the secondary antibody only control. Nuclear DNA was labelled in blue with DAPI.

Beta tubulin (HA601187, red) was stained at 1/100 dilution overnight at +4℃. Goat Anti-Mouse IgG H&L (iFluor™ 594, HA1126) was used as the secondary antibody at 1/1,000 dilution.
HA721109_8.jpg Fig8: Flow cytometric analysis of NIH/3T3 cells labeling PCBP2.

Cells were fixed and permeabilized. Then stained with the primary antibody (HA721109, 1/1,000) (red) compared with Rabbit IgG Isotype Control (green). After incubation of the primary antibody at +4℃ for an hour, the cells were stained with a iFluor™ 488 conjugate-Goat anti-Rabbit IgG Secondary antibody (HA1121) at 1/1,000 dilution for 30 minutes at +4℃. Unlabelled sample was used as a control (cells without incubation with primary antibody; black).
Note: All products are “FOR RESEARCH USE ONLY AND ARE NOT INTENDED FOR DIAGNOSTIC OR THERAPEUTIC USE”.