NDUFB4 Recombinant Rabbit Monoclonal Antibody [JE65-30]
cat.: HA721112
Product Type: Recombinant Rabbit monoclonal IgG, primary antibodies
Species reactivity: Human, Mouse, Rat
Applications: WB, IHC-P
Clonality: Monoclonal
Clone number: JE65-30
Form: Liquid
Storage condition: Shipped at 4℃. Store at +4℃ short term (1-2 weeks). It is recommended to aliquot into single-use upon delivery. Store at -20℃ long term.
Storage buffer: 1*TBS (pH7.4), 0.05% BSA, 40% Glycerol. Preservative: 0.05% Sodium Azide.
Concentration: 1ug/ul
Purification: Protein A affinity purified.
Molecular weight: Predicted band size: 15 kDa
Isotype: IgG
Immunogen: Recombinant protein within human NDUFB4 aa 1-129/129.
Positive control: K-562 cell lysate, MCF7 cell lysate, Neuro-2a cell lysate, Mouse brain tissue lysate, Rat brain tissue lysate, mouse heart tissue lysates, Rat heart tissue lysate, Rat kidney tissue lysate, human kidney tissue.
Subcellular location: Mitochondrion inner membrane.
Recommended Dilutions:
  WB
  IHC-P

1:1,000-1:2,000
1:1,000
Uniprot #: SwissProt: O95168 Human | Q9CQC7 Mouse
Entrez Gene: 288088 Rat
Alternative names: B15 CI-B15 Complex I B15 subunit Complex I-B15 NADH dehydrogenase (ubiquinone) 1 beta subcomplex 4 15kDa NADH dehydrogenase [ubiquinone] 1 beta subcomplex subunit 4 NADH ubiquinone oxidoreductase B15 subunit NADH-ubiquinone oxidoreductase B15 subunit NDUB4_HUMAN NDUFB4
Images
HA721112_1.jpg Fig1: Western blot analysis of NDUFB4 on different lysates with Rabbit anti-NDUFB4 antibody (HA721112) at 1/2,000 dilution.

Lane 1: K-562 cell lysate
Lane 2: MCF7 cell lysate
Lane 3: Neuro-2a cell lysate
Lane 4: Mouse brain tissue lysate
Lane 5: Rat brain tissue lysate

Lysates/proteins at 20 µg/Lane.

Predicted band size: 15 kDa
Observed band size: 15 kDa

Exposure time: 30 seconds; ECL: K1801;

4-20% SDS-PAGE gel.

Proteins were transferred to a PVDF membrane and blocked with 5% NFDM/TBST for 1 hour at room temperature. The primary antibody (HA721112) at 1/2,000 dilution was used in 5% NFDM/TBST at 4℃ overnight. Goat Anti-Rabbit IgG - HRP Secondary Antibody (HA1001) at 1/50,000 dilution was used for 1 hour at room temperature.
HA721112_2.jpg Fig2: Western blot analysis of NDUFB4 on different lysates with Rabbit anti-NDUFB4 antibody (HA721112) at 1/1,000 dilution.

Lane 1: HAP1-parental cell lysate
Lane 2: HAP1-NDUFB4 KD cell lysate

Lysates/proteins at 10 µg/Lane.

Predicted band size: 15 kDa
Observed band size: 15 kDa

Exposure time: 20 seconds; ECL: K1801;

4-20% SDS-PAGE gel.

Proteins were transferred to a PVDF membrane and blocked with 5% NFDM/TBST for 1 hour at room temperature. The primary antibody (HA721112) at 1/1,000 dilution was used in K1803 at 4℃ overnight. Goat Anti-Rabbit IgG - HRP Secondary Antibody (HA1001) at 1/50,000 dilution was used for 1 hour at room temperature.
HA721112_3.jpg Fig3: Western blot analysis of NDUFB4 on mouse heart tissue lysates with Rabbit anti-NDUFB4 antibody (HA721112) at 1/1,000 dilution.

Lysates/proteins at 20 µg/Lane.

Predicted band size: 15 kDa
Observed band size: 15 kDa

Exposure time: 2 minutes;

15% SDS-PAGE gel.

Proteins were transferred to a PVDF membrane and blocked with 5% NFDM/TBST for 1 hour at room temperature. The primary antibody (HA721112) at 1/1,000 dilution was used in 5% NFDM/TBST at room temperature for 2 hours. Goat Anti-Rabbit IgG - HRP Secondary Antibody (HA1001) at 1/50,000 dilution was used for 1 hour at room temperature.
HA721112_4.jpg Fig4: Western blot analysis of NDUFB4 on different lysates with Rabbit anti-NDUFB4 antibody (HA721112) at 1/1,000 dilution.

Lane 1: Rat heart tissue lysate
Lane 2: Rat kidney tissue lysate
Lane 3: Rat brain tissue lysate

Lysates/proteins at 20 µg/Lane.

Predicted band size: 15 kDa
Observed band size: 15 kDa

Exposure time: 2 minutes;

15% SDS-PAGE gel.

Proteins were transferred to a PVDF membrane and blocked with 5% NFDM/TBST for 1 hour at room temperature. The primary antibody (HA721112) at 1/1,000 dilution was used in 5% NFDM/TBST at room temperature for 2 hours. Goat Anti-Rabbit IgG - HRP Secondary Antibody (HA1001) at 1/50,000 dilution was used for 1 hour at room temperature.
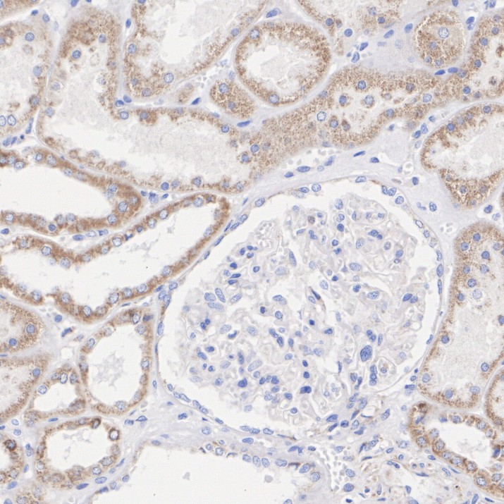
HA721112_5.jpg Fig5: Immunohistochemical analysis of paraffin-embedded human kidney tissue with Rabbit anti-NDUFB4 antibody (HA721112) at 1/1,000 dilution.

The section was pre-treated using heat mediated antigen retrieval with Tris-EDTA buffer (pH 9.0) for 20 minutes. The tissues were blocked in 1% BSA for 20 minutes at room temperature, washed with ddH2O and PBS, and then probed with the primary antibody (HA721112) at 1/1,000 dilution for 1 hour at room temperature. The detection was performed using an HRP conjugated compact polymer system. DAB was used as the chromogen. Tissues were counterstained with hematoxylin and mounted with DPX.
Note: All products are “FOR RESEARCH USE ONLY AND ARE NOT INTENDED FOR DIAGNOSTIC OR THERAPEUTIC USE”.