Ki67 Recombinant Rabbit Monoclonal Antibody [SR00-02]
cat.: HA721115
Product Type: Recombinant Rabbit monoclonal IgG, primary antibodies
Species reactivity: Human, Mouse, Rat, Cynomolgus monkey
Applications: IHC-P, IF-Tissue, mIHC, IF-Cell, FC, IHC-Fr
Clonality: Monoclonal
Clone number: SR00-02
Form: Liquid
Storage condition: Shipped at 4℃. Store at +4℃ short term (1-2 weeks). It is recommended to aliquot into single-use upon delivery. Store at -20℃ long term.
Storage buffer: PBS (pH7.4), 0.05% BSA, 40% Glycerol. Preservative: 0.05% Sodium Azide.
Concentration: 1ug/ul
Purification: Protein A affinity purified.
Molecular weight: Predicted band size: 345-395 kDa
Isotype: IgG
Immunogen: Synthetic peptide within human Ki67 aa 1,040-1,080.
Positive control: Human tonsil tissue, human lymph nodes tissue, human cervical carcinoma tissue, human colon carcinoma tissue, mouse spleen tissue, mouse intestinal tissue, mouse ovary tissue, rat thymus tissue, human gastric cancer, HeLa.
Subcellular location: Nucleus, Chromosome.
Recommended Dilutions:
  IHC-P
  IF-Tissue
  mIHC
  IF-Cell
  FC
  IHC-Fr

1:5,000-1:15,000
1:500 (Not suitable for mouse)
1:2,000-1:3,000
1:100-1:1,000 (Not suitable for mouse)
1:500-1:1,000
1:500-1:1,000 (Not suitable for mouse)
Uniprot #: SwissProt: P46013 Human | E9PVX6 Mouse
Entrez Gene: 246042 Rat
Alternative names: Antigen identified by monoclonal Ki 67 Antigen identified by monoclonal Ki-67 Antigen KI-67 Antigen KI67 Antigen Ki67 KI67_HUMAN KIA Marker of proliferation Ki-67 MIB 1 MIB MKI67 PPP1R105 Proliferation marker protein Ki-67 Proliferation related Ki 67 antigen Protein phosphatase 1 regulatory subunit 105 RP11-380J17.2
Images
HA721115_1.jpg Fig1: Immunohistochemical analysis of paraffin-embedded human tonsil tissue with Rabbit anti-Ki67 antibody (HA721115) at 1/15,000 dilution.

The section was pre-treated using heat mediated antigen retrieval with sodium citrate buffer (pH 6.0) (high pressure) for 2 minutes. The tissues were blocked in 1% BSA for 20 minutes at room temperature, washed with ddH2O and PBS, and then probed with the primary antibody (HA721115) at 1/15,000 dilution for 1 hour at room temperature. The detection was performed using an HRP conjugated compact polymer system. DAB was used as the chromogen. Tissues were counterstained with hematoxylin and mounted with DPX.
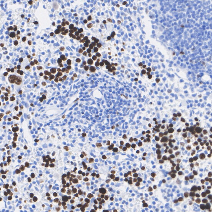
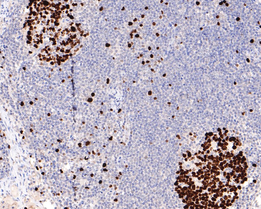
HA721115_2.jpg Fig2: Immunohistochemical analysis of paraffin-embedded human lymph nodes tissue with Rabbit anti-Ki67 antibody (HA721115) at 1/15,000 dilution.

The section was pre-treated using heat mediated antigen retrieval with sodium citrate buffer (pH 6.0) (high pressure) for 2 minutes. The tissues were blocked in 1% BSA for 20 minutes at room temperature, washed with ddH2O and PBS, and then probed with the primary antibody (HA721115) at 1/15,000 dilution for 1 hour at room temperature. The detection was performed using an HRP conjugated compact polymer system. DAB was used as the chromogen. Tissues were counterstained with hematoxylin and mounted with DPX.
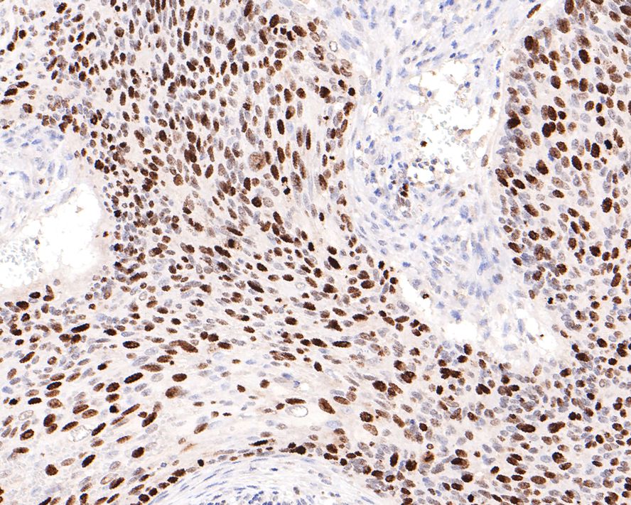
HA721115_3.jpg Fig3: Immunohistochemical analysis of paraffin-embedded human cervical carcinoma tissue with Rabbit anti-Ki67 antibody (HA721115) at 1/15,000 dilution.

The section was pre-treated using heat mediated antigen retrieval with sodium citrate buffer (pH 6.0) (high pressure) for 2 minutes. The tissues were blocked in 1% BSA for 20 minutes at room temperature, washed with ddH2O and PBS, and then probed with the primary antibody (HA721115) at 1/15,000 dilution for 1 hour at room temperature. The detection was performed using an HRP conjugated compact polymer system. DAB was used as the chromogen. Tissues were counterstained with hematoxylin and mounted with DPX.
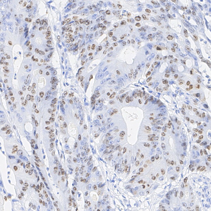
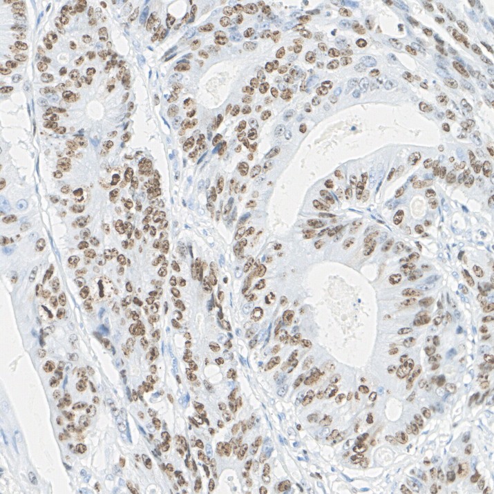
HA721115_4.jpg Fig4: Immunohistochemical analysis of paraffin-embedded human colon carcinoma tissue with Rabbit anti-Ki67 antibody (HA721115) at 1/15,000 dilution.

The section was pre-treated using heat mediated antigen retrieval with sodium citrate buffer (pH 6.0) (high pressure) for 2 minutes. The tissues were blocked in 1% BSA for 20 minutes at room temperature, washed with ddH2O and PBS, and then probed with the primary antibody (HA721115) at 1/15,000 dilution for 1 hour at room temperature. The detection was performed using an HRP conjugated compact polymer system. DAB was used as the chromogen. Tissues were counterstained with hematoxylin and mounted with DPX.
HA721115_5.jpg Fig5: Immunohistochemical analysis of paraffin-embedded mouse spleen tissue with Rabbit anti-Ki67 antibody (HA721115) at 1/15,000 dilution.

The section was pre-treated using heat mediated antigen retrieval with sodium citrate buffer (pH 6.0) (high pressure) for 2 minutes. The tissues were blocked in 1% BSA for 20 minutes at room temperature, washed with ddH2O and PBS, and then probed with the primary antibody (HA721115) at 1/15,000 dilution for 1 hour at room temperature. The detection was performed using an HRP conjugated compact polymer system. DAB was used as the chromogen. Tissues were counterstained with hematoxylin and mounted with DPX.
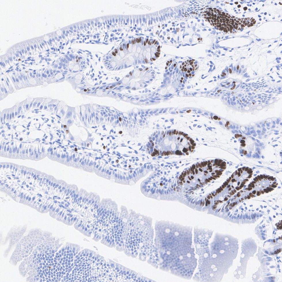
HA721115_6.jpg Fig6: Immunohistochemical analysis of paraffin-embedded mouse small intestine tissue with Rabbit anti-Ki67 antibody (HA721115) at 1/15,000 dilution.

The section was pre-treated using heat mediated antigen retrieval with sodium citrate buffer (pH 6.0) (high pressure) for 2 minutes. The tissues were blocked in 1% BSA for 20 minutes at room temperature, washed with ddH2O and PBS, and then probed with the primary antibody (HA721115) at 1/15,000 dilution for 1 hour at room temperature. The detection was performed using an HRP conjugated compact polymer system. DAB was used as the chromogen. Tissues were counterstained with hematoxylin and mounted with DPX.
HA721115_7.jpg Fig7: Immunohistochemical analysis of paraffin-embedded mouse ovary tissue with Rabbit anti-Ki67 antibody (HA721115) at 1/5,000 dilution.

The section was pre-treated using heat mediated antigen retrieval with sodium citrate buffer (pH 6.0) (high pressure) for 2 minutes. The tissues were blocked in 1% BSA for 20 minutes at room temperature, washed with ddH2O and PBS, and then probed with the primary antibody (HA721115) at 1/5,000 dilution for 1 hour at room temperature. The detection was performed using an HRP conjugated compact polymer system. DAB was used as the chromogen. Tissues were counterstained with hematoxylin and mounted with DPX.
HA721115_8.jpg Fig8: Immunohistochemical analysis of paraffin-embedded rat thymus tissue with Rabbit anti-Ki67 antibody (HA721115) at 1/8,000 dilution.

The section was pre-treated using heat mediated antigen retrieval with sodium citrate buffer (pH 6.0) (high pressure) for 2 minutes. The tissues were blocked in 1% BSA for 20 minutes at room temperature, washed with ddH2O and PBS, and then probed with the primary antibody (HA721115) at 1/8,000 dilution for 1 hour at room temperature. The detection was performed using an HRP conjugated compact polymer system. DAB was used as the chromogen. Tissues were counterstained with hematoxylin and mounted with DPX.
HA721115_9.jpg Fig9: Immunofluorescence analysis of paraffin-embedded human tonsil tissue labeling Ki67 with Rabbit anti-Ki67 antibody (HA721115) at 1/500 dilution.

The section was pre-treated using heat mediated antigen retrieval with Tris-EDTA buffer (pH 9.0) for 20 minutes. The tissues were blocked in 10% negative goat serum for 1 hour at room temperature, washed with PBS, and then probed with the primary antibody (HA721115, green) at 1/500 dilution overnight at 4 ℃, washed with PBS. Goat Anti-Rabbit IgG H&L (iFluor™ 488, HA1121) was used as the secondary antibody at 1/1,000 dilution. Nuclei were counterstained with DAPI (blue).
HA721115_10.jpg Fig10: Fluorescence multiplex immunohistochemical analysis of the human gastric cancer (Formalin/PFA-fixed paraffin-embedded sections). Panel A: the merged image of anti-Ki67 (HA721115, red), anti-CD31 (M1511-8, green), anti-CD3 (HA720082, cyan), anti-panCK (HA601138, magenta) and anti-αSMA (ET1607-53, yellow) on human gastric cancer. Panel B: anti- Ki67 stained on cells in G1, S, G2 and M phases of cell cycle. Panel C: anti-CD31 stained on the endothelial cells. Panel D: anti-CD3 stained on T cells. Panel E: anti-panCK stained on cancer cells. Panel F: anti-αSMA stained on cancer-associated fibroblasts and smooth muscle cells. HRP Conjugated UltraPolymer Goat Polyclonal Antibody HA1119/HA1120 was used as a secondary antibody. The immunostaining was performed with the Sequential Immuno-staining Kit (IRISKit™MH010101, www.luminiris.cn). The section was incubated in five rounds of staining: in the order of HA721115 (1/2,000 dilution), M1511-8 (1/1,000 dilution), HA720082 (1/500 dilution), HA601138 (1/3,000 dilution), and ET1607-53 (1/2,000 dilution) for 20 mins at room temperature. Each round was followed by a separate fluorescent tyramide signal amplification system. Heat mediated antigen retrieval with Tris-EDTA buffer (pH 9.0) for 30 mins at 95℃. DAPI (blue) was used as a nuclear counter stain. Image acquisition was performed with Olympus VS200 Slide Scanner.
HA721115_11.jpg Fig11: Fluorescence multiplex immunohistochemical analysis of mouse lung (Formalin/PFA-fixed paraffin-embedded sections). Panel A: the merged image of anti-TTF1 (HA720067, Red), anti-RAGE (ET1702-27, Green), anti-aSMA (ET1607-53, Cyan) and anti-Ki67 (HA721115, Yellow) on mouse lung. HRP Conjugated UltraPolymer Goat Polyclonal Antibody HA1119/HA1120 was used as a secondary antibody. The immunostaining was performed with the Sequential Immuno-staining Kit (IRISKit™MH010101, www.luminiris.cn). The section was incubated in four rounds of staining: in the order of HA720067 (1/4,000 dilution), ET1702-27 (1/3,000 dilution), ET1607-53 (1/10,000 dilution) and HA721115 (1/3,000 dilution) for 20 mins at room temperature. Each round was followed by a separate fluorescent tyramide signal amplification system. Heat mediated antigen retrieval with Tris-EDTA buffer (pH 9.0) for 30 mins at 95℃. DAPI (blue) was used as a nuclear counter stain. Image acquisition was performed with Olympus VS200 Slide Scanner.
HA721115_12.jpg Fig12: Immunocytochemistry analysis of HeLa cells labeling Ki67 with Rabbit anti-Ki67 antibody (HA721115) at 1/100 dilution.

Cells were fixed in 100% precooled methanol for 5 minutes at room temperature, then blocked with 1% BSA in 10% negative goat serum for 1 hour at room temperature. Cells were then incubated with Rabbit anti-Ki67 antibody (HA721115) at 1/100 dilution in 1% BSA in PBST overnight at 4 ℃. Goat Anti-Rabbit IgG H&L (iFluor™ 488, HA1121) was used as the secondary antibody at 1/1,000 dilution. PBS instead of the primary antibody was used as the secondary antibody only control. Nuclear DNA was labelled in blue with DAPI.

Beta tubulin (M1305-2, red) was stained at 1/100 dilution overnight at +4℃. Goat Anti-Mouse IgG H&L (iFluor™ 594, HA1126) was used as the secondary antibody at 1/1,000 dilution.
HA721115_13.jpg Fig13: Immunocytochemistry analysis of HeLa cells labeling Ki67 with Rabbit anti-Ki67 antibody (HA721115) at 1/250 dilution.

Cells were fixed in 4% paraformaldehyde for 20 minutes at room temperature, permeabilized with 0.1% Triton X-100 in PBS for 5 minutes at room temperature, then blocked with 1% BSA in 10% negative goat serum for 1 hour at room temperature. Cells were then incubated with Rabbit anti-Ki67 antibody (HA721115) at 1/250 dilution in 1% BSA in PBST overnight at 4 ℃. Goat Anti-Rabbit IgG H&L (iFluor™ 488, HA1121) was used as the secondary antibody at 1/1,000 dilution. PBS instead of the primary antibody was used as the secondary antibody only control. Nuclear DNA was labelled in blue with DAPI.

p16 (HA601131, red) was stained at 1/100 dilution overnight at +4℃. Goat Anti-Mouse IgG H&L (iFluor™ 594, HA1126) was used as the secondary antibody at 1/1,000 dilution.
HA721115_14.jpg Fig14: Immunocytochemistry analysis of C6 cells labeling Ki67 with Rabbit anti-Ki67 antibody (HA721115) at 1/1,000 dilution.

Cells were fixed in 4% paraformaldehyde for 20 minutes at room temperature, permeabilized with 0.1% Triton X-100 in PBS for 5 minutes at room temperature, then blocked with 1% BSA in 10% negative goat serum for 1 hour at room temperature. Cells were then incubated with Rabbit anti-Ki67 antibody (HA721115) at 1/1,000 dilution in 1% BSA in PBST overnight at 4 ℃. Goat Anti-Rabbit IgG H&L (iFluor™ 488, HA1121) was used as the secondary antibody at 1/1,000 dilution. PBS instead of the primary antibody was used as the secondary antibody only control. Nuclear DNA was labelled in blue with DAPI.

Beta tubulin (M1305-2, red) was stained at 1/100 dilution overnight at +4℃. Goat Anti-Mouse IgG H&L (iFluor™ 594, HA1126) was used as the secondary antibody at 1/1,000 dilution.
HA721115_15.jpg Fig15: Application: IHC-Fr

Species: Mouse

Site: Spleen

Sample: Frozen section

Antibody concentration: 1/500

Antigen retrieval: The section was pre-treated using heat mediated antigen retrieval with sodium citrate buffer (pH 6.0) for about 2 minutes in microwave oven.
HA721115_16.jpg Fig16: Fluorescence multiplex immunohistochemical analysis of mouse lung (Formalin/PFA-fixed paraffin-embedded sections). Panel A: the merged image of anti-Ki67 (HA721115, Green) and anti-TTF1 (HA720067, Red) on lung. HRP Conjugated UltraPolymer Goat Polyclonal Antibody HA1119/HA1120 was used as a secondary antibody. The immunostaining was performed with the Sequential Immuno-staining Kit (IRISKit™MH010101, www.luminiris.cn). The section was incubated in two rounds of staining: in the order of HA721115 (1/3,000 dilution) and HA720067 (1/4,000 dilution) for 20 mins at room temperature. Each round was followed by a separate fluorescent tyramide signal amplification system. Heat mediated antigen retrieval with Tris-EDTA buffer (pH 9.0) for 30 mins at 95℃. DAPI (blue) was used as a nuclear counter stain. Image acquisition was performed with Zeiss Observer 7 Inverted Fluorescence Microscope.
HA721115_17.jpg Fig17: Fluorescence multiplex immunohistochemical analysis of mouse spleen (Formalin/PFA-fixed paraffin-embedded sections). Panel A: the merged image of anti-PD-L1 (HA722184, Green) and anti-Ki67 (HA721115, Violet) on spleen. HRP Conjugated UltraPolymer Goat Polyclonal Antibody HA1119/HA1120 was used as a secondary antibody. The immunostaining was performed with the Sequential Immuno-staining Kit (IRISKit™MH010101, www.luminiris.cn). The section was incubated in two rounds of staining: in the order of HA722184 (1/500 dilution) and HA721115 (1/2,000 dilution) for 20 mins at room temperature. Each round was followed by a separate fluorescent tyramide signal amplification system. Heat mediated antigen retrieval with Tris-EDTA buffer (pH 9.0) for 30 mins at 95℃. DAPI (blue) was used as a nuclear counter stain. Image acquisition was performed with Olympus VS200 Slide Scanner.
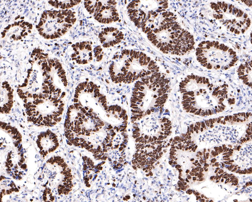
HA721115_18.jpg Fig18: Immunohistochemical analysis of paraffin embedded human colon cancer tissue using anti-Ki67 antibody (1/5,000) performed on the Ventana® BenchMark ULTRA.
HA721115_19.jpg Fig19: Immunohistochemical analysis of paraffin embedded human colon cancer tissue using anti-Ki67 antibody (1/5,000) performed on the Leica® BOND™ RX.
HA721115_20.jpg Fig20: Flow cytometric analysis of HeLa cells labeling Ki67.

Cells were fixed and permeabilized. Then stained with the primary antibody (HA721115, 1μg/mL) (red) compared with Rabbit IgG Isotype Control (green). After incubation of the primary antibody at +4℃ for an hour, the cells were stained with a iFluor™ 488 conjugate-Goat anti-Rabbit IgG Secondary antibody (HA1121) at 1/1,000 dilution for 30 minutes at +4℃. Unlabelled sample was used as a control (cells without incubation with primary antibody; black).
Note: All products are “FOR RESEARCH USE ONLY AND ARE NOT INTENDED FOR DIAGNOSTIC OR THERAPEUTIC USE”.